相关产品推荐更多 >

phospho-c-Kit (Tyr823) Rabbit pAb, PE-Cy7 conjugated(bs-12915R-PE-Cy7)-100ul
¥2980
SULT4A1 Rabbit pAb, Biotin conjugated(bs-11763R-Bio)-100ul
¥2980
TYROBP Rabbit pAb, PerCP-Cy5.5 conjugated(bs-12630R-PerCP-Cy5.5)-100ul
¥2980
SOCS2 Rabbit pAb, AP conjugated(bs-1896R-AP)-100ul
¥2980
SAHH Rabbit pAb, AP conjugated(bs-5029R-AP)-100ul
¥2980
万千商家帮你免费找货
0 人在求购买到急需产品
- 详细信息
- 文献和实验
- 技术资料
- 应用范围:
产品信息以Bioss网站为准
- 规格:
50ul/100ul/200ul
| 规格: | 50ul | 产品价格: | ¥1180.0 |
|---|---|---|---|
| 规格: | 100ul | 产品价格: | ¥1980.0 |
| 规格: | 200ul | 产品价格: | ¥2800.0 |
| 产品编号 | bs-6616R |
| 英文名称 | GATA2 Rabbit pAb |
| 中文名称 | GATA结合蛋白2抗体 |
| 英文别名 | GATA-2; GATA 2; GATA Binding Protein 2; GATA-binding protein 2; Gata2; GATA2_HUMAN; MGC2306; NFE 1B; NFE1B. |
| 产品应用 | WB=1:500-2000, IHC-P=1:100-500, IHC-F=1:100-500, IF=1:100-500 Not yet tested in other applications. |
| 交叉反应 | Mouse, Rat (Human, Chicken, Pig, Cow, Horse, Rabbit, Sheep) |
| 抗体来源 | Rabbit |
| 免疫原 | KLH conjugated synthetic peptide derived from human GATA-2 |
| 亚型 | IgG |
| 性状 | Liquid |
| 纯化方法 | affinity purified by Protein A |
| 克隆类型 | Polyclonal |
| 理论分子量 | 53 kDa |
| 浓度 | 1mg/ml |
| 储存液 | 0.01M TBS (pH7.4) with 1% BSA, 0.02% Proclin300 and 50% Glycerol. |
| 研究领域 | Cardiovascular > Heart > Cardiogenesis > Transcription factors/regulators Developmental Biology > Lineage specification > Ectoderm Epigenetics and Nuclear Signaling > Transcription > Domain Families > Zinc Finger Stem Cells > Lineage Markers > Ectoderm |
| 亚细胞定位 | Nucleus. |
| 组织特异性 | Endothelial cells. |
| 相似性 | Contains 2 GATA-type zinc fingers. |
| 功能 | Transcriptional activator which binds to the enhancer of the T-cell receptor alpha and delta genes. Binds to the consensus sequence 5'-AGATAG-3'. |
| 保存条件 | Shipped at 4℃. Store at -20℃ for one year. Avoid repeated freeze/thaw cycles. |
| 注意事项 | This product as supplied is intended for research use only, not for use in human, therapeutic or diagnostic applications. |
| 背景资料 | Members of the GATA family share a conserved zinc finger DNA-binding domain and are capable of binding the WGATAR consensus sequence. GATA-1 is erythroid-specific and is responsible for the regulated transcription of erythroid genes. It is an essential component in the generation of the erythroid lineage. GATA-2 is expressed in embryonic brain and liver, HeLa and endothelial cells, as well as in erythroid cells. Studies with a modified GATA consensus sequence, AGATCTTA, have shown that GATA-2 and GATA-3 recognize this mutated consensus while GATA-1 has poor recognition of this sequence. This indicates broader regulatory capabilities of GATA-2 and GATA-3 than GATA-1. GATA-3 is highly expressed in T lymphocytes. GATA-4, GATA-5 and GATA-6 comprise a subfamily of transcription factors. Both GATA-4 and GATA-6 are found in heart, pancreas and ovary; lung and liver tissues exhibit GATA-6, but not GATA-4 expression. GATA-5 expression has been observed in differentiated heart and gut tissues and is present throughout the course of development in the heart. Although expression patterns of the various GATA transcription factors may overlap, it is not yet apparent how the GATA factors are able to discriminate in binding their appropriate target sites. |
| 应用 | 推荐稀释比例 |
| {WB} | {1:500-2000} |
| {IHC-P} | {1:100-500} |
| {IHC-F} | {1:100-500} |
| {IF} | {1:100-500} |


Lane 1: Mouse Heart tissue lysates
Lane 2: Mouse Liver tissue lysates
Primary: Anti-GATA2 (bs-6616R) at 1/1000 dilution
Secondary: IRDye800CW Goat Anti-Rabbit IgG at 1/20000 dilution
Predicted band size: 53 kDa
Observed band size: 55 kDa

风险提示:丁香通仅作为第三方平台,为商家信息发布提供平台空间。用户咨询产品时请注意保护个人信息及财产安全,合理判断,谨慎选购商品,商家和用户对交易行为负责。对于医疗器械类产品,请先查证核实企业经营资质和医疗器械产品注册证情况。
文献和实验[IF={{ 3.87 }}] {Ikari, Akira, et al. "Hyperosmolarity‐Induced Down‐Regulation of Claudin‐2 Mediated by Decrease in PKCβ‐Dependent GATA‐2 in MDCK Cells." Journal of Cellular Physiology (2015).} {WB} {="Dog"}
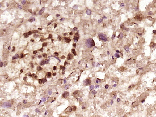
[IF={{ 3.15 }}] {Yang Zhai. et al. Construction of the optimization prognostic model based on differentially expressed immune genes of lung adenocarcinoma. Bmc Cancer. 2021 Dec;21(1):1-13} {IHC} {Human}
技术资料暂无技术资料 索取技术资料





