相关产品推荐更多 >
万千商家帮你免费找货
0 人在求购买到急需产品
- 详细信息
- 文献和实验
- 技术资料
- 应用范围:
产品信息以Bioss网站为准
- 规格:
50ul/100ul/200ul
| 规格: | 50ul | 产品价格: | ¥1180.0 |
|---|---|---|---|
| 规格: | 100ul | 产品价格: | ¥1980.0 |
| 规格: | 200ul | 产品价格: | ¥2800.0 |
| 产品编号 | bs-1987R |
| 英文名称 | MCP3 Rabbit pAb |
| 中文名称 | 单核细胞趋化蛋白3抗体 |
| 英文别名 | C-C motif chemokine 7; CCL7; CCL7_HUMAN; Chemokine CC Motif Ligand 7; FIC; MARC; MCP-3; MCP3; Monocyte chemoattractant protein 3; Monocyte chemotactic protein 3; NC28; RP23-350G1.4; SCYA6; SCYA7; Small inducible cytokine A7; Small-inducible cytokine A7. |
| 产品应用 | IHC-P=1:100-500, IHC-F=1:100-500, IF=1:100-500 Not yet tested in other applications. |
| 交叉反应 | Rat (Mouse) |
| 抗体来源 | Rabbit |
| 免疫原 | KLH conjugated synthetic peptide derived from mouse MCP-3 |
| 亚型 | IgG |
| 性状 | Liquid |
| 纯化方法 | affinity purified by Protein A |
| 克隆类型 | Polyclonal |
| 理论分子量 | 11 kDa |
| 浓度 | 1mg/ml |
| 储存液 | 0.01M TBS (pH7.4) with 1% BSA, 0.02% Proclin300 and 50% Glycerol. |
| 亚基 | Monomer. |
| 亚细胞定位 | Secreted. |
| 翻译后修饰 | O-glycosylated. |
| 相似性 | Belongs to the intercrine beta (chemokine CC) family. |
| 功能 | Chemotactic factor that attracts monocytes and eosinophils, but not neutrophils. Augments monocyte anti-tumor activity. Also induces the release of gelatinase B. This protein can bind heparin. Binds to CCR1, CCR2 and CCR3. |
| 保存条件 | Shipped at 4℃. Store at -20℃ for one year. Avoid repeated freeze/thaw cycles. |
| 注意事项 | This product as supplied is intended for research use only, not for use in human, therapeutic or diagnostic applications. |
| 背景资料 | This gene encodes monocyte chemotactic protein 3, a secreted chemokine which attracts macrophages during inflammation and metastasis. It is a member of the C-C subfamily of chemokines which are characterized by having two adjacent cysteine residues. The protein is an in vivo substrate of matrix metalloproteinase 2, an enzyme which degrades components of the extracellular matrix. This gene is part of a cluster of C-C chemokine family members on chromosome 17q. [provided by RefSeq, Jul 2008] |
| 应用 | 推荐稀释比例 |
| {IHC-P} | {1:100-500} |
| {IHC-F} | {1:100-500} |
| {IF} | {1:100-500} |

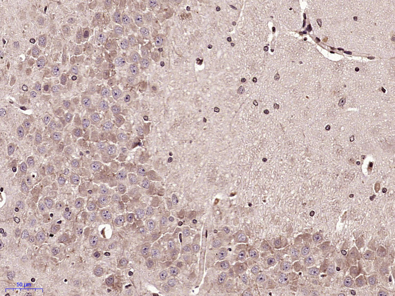
Paraformaldehyde-fixed, paraffin embedded (Rat brain); Antigen retrieval by microwave in sodium citrate buffer (pH6.0) ; Block endogenous peroxidase by 3% hydrogen peroxide for 30 minutes; Blocking buffer (3% BSA) at RT for 30min; Antibody incubation with (MCP3) Polyclonal Antibody, Unconjugated (bs-1987R) at 1:400 overnight at 4℃, followed by conjugation to the secondary antibody (labeled with HRP)and DAB staining.
风险提示:丁香通仅作为第三方平台,为商家信息发布提供平台空间。用户咨询产品时请注意保护个人信息及财产安全,合理判断,谨慎选购商品,商家和用户对交易行为负责。对于医疗器械类产品,请先查证核实企业经营资质和医疗器械产品注册证情况。
文献和实验该产品被引用文献
[IF={{ 4.932 }}] {Jianqin Xue. et al. Astrocyte-derived CCL7 promotes microglia-mediated inflammation following traumatic brain injury. Int Immunopharmacol. 2021 Oct;99:107975} {IF} {Mouse}
[IF={{ 11.1 }}] {Kaiyuan Yu. et al. Bacterial indole-3-lactic acid affects epithelium–macrophage crosstalk to regulate intestinal homeostasis. P NATL ACAD SCI USA. 2023 Oct;120(45):e2309032120} {IF,IHC} {Mouse,Human}
技术资料暂无技术资料 索取技术资料
文献支持
MCP3 Rabbit pAb(bs-1987R)-50ul/100ul/200ul
¥1180 - 2800







