相关产品推荐更多 >

phospho-FAK (Tyr576) Rabbit pAb, BF555 conjugated(bs-13134R-BF555)-100ul
¥2980
LDLRAD2 Rabbit pAb, HRP conjugated(bs-18208R-HRP)-100ul
¥2980
phospho-CDK7 (Thr170) Rabbit pAb, BF750 conjugated(bs-10997R-BF750)-100ul
¥2980
IFNA1 Rabbit pAb, BF594 conjugated(bs-8995R-BF594)-100ul
¥2980
VAMP8 Mouse mAb(bsm-51432M)-50ul/100ul
¥1580
万千商家帮你免费找货
0 人在求购买到急需产品
- 详细信息
- 技术资料
- 应用范围:
产品信息以Bioss网站为准
- 规格:
50ul/100ul/200ul
| 规格: | 50ul | 产品价格: | ¥1180.0 |
|---|---|---|---|
| 规格: | 100ul | 产品价格: | ¥1980.0 |
| 规格: | 200ul | 产品价格: | ¥2800.0 |
| 产品编号 | bs-20280R |
| 英文名称 | phospho-PDGFRA (Tyr754) Rabbit pAb |
| 中文名称 | 磷酸化血小板源性生长因子受体-α抗体 |
| 英文别名 | PDGF Receptor alpha(phospho Tyr754); p-PDGF Receptor alpha(phospho Y754); PDGF Receptor alpha; Platelet–dirived growth factor receptor-alpha; alpha platelet derived growth factor receptor; CD 140a; CD140a; CD140a antigen; MGC74795; PDGF alpha chain; PDGF R alpha; PDGFR 2; PDGFR A; PDGFR alpha; PDGFR2; PDGFRA; Platelet derived growth factor receptor 2; Platelet derived growth factor receptor alpha; Platelet derived growth factor receptor alpha polypeptide; PGFRA_HUMAN. |
| 产品应用 | WB=1:500-2000, IHC-P=1:100-500, IHC-F=1:100-500, ICC/IF=1:100-500, IF=1:100-500 Not yet tested in other applications. |
| 交叉反应 | Human, Mouse, Rat (Dog, Cow, Horse, Sheep) |
| 抗体来源 | Rabbit |
| 免疫原 | KLH conjugated Synthesised phosphopeptide derived from human PDGF Receptor alpha around the phosphorylation site of Tyr754 |
| 亚型 | IgG |
| 性状 | Liquid |
| 纯化方法 | affinity purified by Protein A |
| 克隆类型 | Polyclonal |
| 理论分子量 | 117 kDa |
| 浓度 | 1mg/ml |
| 储存液 | Preservative: 0.02% Proclin300, Constituents: 1% BSA, 0.01M PBS, pH7.4. |
| 研究领域 | Cancer > Growth factors > PDGF Cancer > Oncoproteins/suppressors > Oncoproteins > Growth factor receptors Cardiovascular > Angiogenesis > Growth Factors Cardiovascular > Atherosclerosis > Vascular Inflammation > Inflammatory mediators Signal Transduction > Growth Factors/Hormones > PDGF Signal Transduction > Protein Phosphorylation > Tyrosine Kinases > Receptor Tyrosine Kinases |
| 亚基 | Interacts with homodimeric PDGFA, PDGFB and PDGFC, and with heterodimers formed by PDGFA and PDGFB. Monomer in the absence of bound ligand. Interaction with dimeric PDGFA, PDGFB and/or PDGFC leads to receptor dimerization, where both PDGFRA homodimers and heterodimers with PDGFRB are observed. Interacts (tyrosine phosphorylated) with SHB (via SH2 domain). Interacts (tyrosine phosphorylated) with SHF (via SH2 domain). Interacts (tyrosine phosphorylated) with SRC (via SH2 domain). Interacts (tyrosine phosphorylated) with PIK3R1. Interacts (tyrosine phosphorylated) with PLCG1 (via SH2 domain). Interacts (tyrosine phosphorylated) with CRK, GRB2 and GRB7. Interacts with human cytomegalovirus/HHV-5 envelop glycoprotein B/gB. |
| 亚细胞定位 | Cell membrane; Single-pass type I membrane protein. Note=The activated receptor is rapidly internalized and degraded. |
| 组织特异性 | Detected in platelets (at protein level). Widely expressed. Detected in brain, fibroblasts, smooth muscle, heart, and embryo. Expressed in primary and metastatic colon tumors and in normal colon tissue. |
| 翻译后修饰 | N-glycosylated. Ubiquitinated, leading to its degradation (Probable). Autophosphorylated on tyrosine residues upon ligand binding. Autophosphorylation occurs in trans, i.e. one subunit of the dimeric receptor phosphorylates tyrosine residues on the other subunit. Phosphorylation at Tyr-731 and Tyr-742 is important for interaction with PIK3R1. Phosphorylation at Tyr-720 and Tyr-754 is important for interaction with PTPN11. Phosphorylation at Tyr-762 is important for interaction with CRK. Phosphorylation at Tyr-572 and Tyr-574 is important for interaction with SRC and SRC family members. Phosphorylation at Tyr-988 and Tyr-1018 is important for interaction with PLCG1. |
| 相似性 | Belongs to the protein kinase superfamily. Tyr protein kinase family. CSF-1/PDGF receptor subfamily. Contains 5 Ig-like C2-type (immunoglobulin-like) domains. Contains 1 protein kinase domain. |
| 功能 | Tyrosine-protein kinase that acts as a cell-surface receptor for PDGFA, PDGFB and PDGFC and plays an essential role in the regulation of embryonic development, cell proliferation, survival and chemotaxis. Depending on the context, promotes or inhibits cell proliferation and cell migration. Plays an important role in the differentiation of bone marrow-derived mesenchymal stem cells. Required for normal skeleton development and cephalic closure during embryonic development. Required for normal development of the mucosa lining the gastrointestinal tract, and for recruitment of mesenchymal cells and normal development of intestinal villi. Plays a role in cell migration and chemotaxis in wound healing. Plays a role in platelet activation, secretion of agonists from platelet granules, and in thrombin-induced platelet aggregation. Binding of its cognate ligands - homodimeric PDGFA, homodimeric PDGFB, heterodimers formed by PDGFA and PDGFB or homodimeric PDGFC -leads to the activation of several signaling cascades; the response depends on the nature of the bound ligand and is modulated by the formation of heterodimers between PDGFRA and PDGFRB. Phosphorylates PIK3R1, PLCG1, and PTPN11. Activation of PLCG1 leads to the production of the cellular signaling molecules diacylglycerol and inositol 1,4,5-trisphosphate, mobilization of cytosolic Ca(2+) and the activation of protein kinase C. Phosphorylates PIK3R1, the regulatory subunit of phosphatidylinositol 3-kinase, and thereby mediates activation of the AKT1 signaling pathway. Mediates activation of HRAS and of the MAP kinases MAPK1/ERK2 and/or MAPK3/ERK1. Promotes activation of STAT family members STAT1, STAT3 and STAT5A and/or STAT5B. Receptor signaling is down-regulated by protein phosphatases that dephosphorylate the receptor and its down-stream effectors, and by rapid internalization of the activated receptor. |
| 保存条件 | Shipped at 4℃. Store at -20℃ for one year. Avoid repeated freeze/thaw cycles. |
| 注意事项 | This product as supplied is intended for research use only, not for use in human, therapeutic or diagnostic applications. |
| 背景资料 | This gene encodes a cell surface tyrosine kinase receptor for members of the platelet-derived growth factor family. These growth factors are mitogens for cells of mesenchymal origin. The identity of the growth factor bound to a receptor monomer determines whether the functional receptor is a homodimer or a heterodimer, composed of both platelet-derived growth factor receptor alpha and beta polypeptides. Studies suggest that this gene plays a role in organ development, wound healing, and tumor progression. Mutations in this gene have been associated with idiopathic hypereosinophilic syndrome, somatic and familial gastrointestinal stromal tumors, and a variety of other cancers. [provided by RefSeq, Mar 2012]. |
| 应用 | 推荐稀释比例 |
| {WB} | {1:500-2000} |
| {IHC-P} | {1:100-500} |
| {IHC-F} | {1:100-500} |
| {ICC/IF} | {1:100-500} |
| {IF} | {1:100-500} |

Tissue/cell:A549 cell; 4% Paraformaldehyde-fixed; Triton X-100 at room temperature for 20 min; Blocking buffer (normal goat serum,C-0005) at 37°C for 20 min; Antibody incubation with (Phospho-PDGFRA (Tyr754)) polyclonal Antibody, Unconjugated (bs-20280R) 1:100, 90 minutes at 37°C; followed by a FITC conjugated Goat Anti-Rabbit IgG antibody at 37°C for 90 minutes, DAPI (blue, C02-04002) was used to stain the cell nuclei.

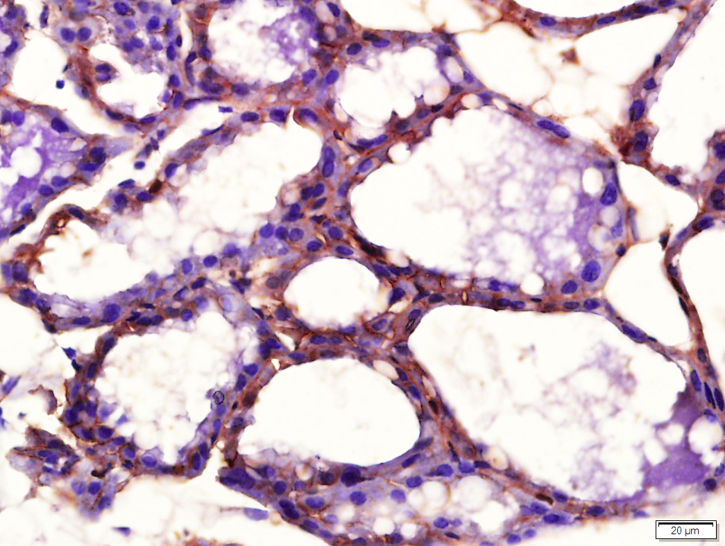
Paraformaldehyde-fixed, paraffin embedded (Rat mammary gland); Antigen retrieval by boiling in sodium citrate buffer (pH6.0) for 15min; Block endogenous peroxidase by 3% hydrogen peroxide for 20 minutes; Blocking buffer (normal goat serum) at 37°C for 30min; Antibody incubation with (Phosphorylated platelet-derived-growth-factor receptor alpha; p-PDGFRA) Polyclonal Antibody, Unconjugated (bs-20280R) at 1:400 overnight at 4°C, followed by a conjugated secondary antibody (sp-0023) for 20 minutes and DAB staining.

Paraformaldehyde-fixed, paraffin embedded (Rat mammary gland); Antigen retrieval by boiling in sodium citrate buffer (pH6.0) for 15min; Block endogenous peroxidase by 3% hydrogen peroxide for 20 minutes; Blocking buffer (normal goat serum) at 37°C for 30min; Antibody incubation with (Phosphorylated platelet-derived-growth-factor receptor alpha; p-PDGFRA) Polyclonal Antibody, Unconjugated (bs-20280R) at 1:400 overnight at 4°C, followed by a conjugated secondary antibody (sp-0023) for 20 minutes and DAB staining.

Sample: Brain (Mouse) Lysate at 40 ug
Primary: Anti-Phospho-PDGFRA(Tyr754) (bs-20280R) at 1/300 dilution
Secondary: IRDye800CW Goat Anti-Rabbit IgG at 1/20000 dilution
Predicted band size: 117 kD
Observed band size: 150 kD
Primary: Anti-Phospho-PDGFRA(Tyr754) (bs-20280R) at 1/300 dilution
Secondary: IRDye800CW Goat Anti-Rabbit IgG at 1/20000 dilution
Predicted band size: 117 kD
Observed band size: 150 kD
风险提示:丁香通仅作为第三方平台,为商家信息发布提供平台空间。用户咨询产品时请注意保护个人信息及财产安全,合理判断,谨慎选购商品,商家和用户对交易行为负责。对于医疗器械类产品,请先查证核实企业经营资质和医疗器械产品注册证情况。
技术资料暂无技术资料 索取技术资料
phospho-PDGFRA (Tyr754) Rabbit pAb(bs-20280R)-50ul/100ul/200ul
¥1180 - 2800





