相关产品推荐更多 >
万千商家帮你免费找货
0 人在求购买到急需产品
- 详细信息
- 技术资料
- 应用范围:
产品信息以Bioss网站为准
- 规格:
50ul/100ul/200ul
| 规格: | 50ul | 产品价格: | ¥1180.0 |
|---|---|---|---|
| 规格: | 100ul | 产品价格: | ¥1980.0 |
| 规格: | 200ul | 产品价格: | ¥2800.0 |
| 产品编号 | bs-21271R |
| 英文名称 | SLC36A2 Rabbit pAb |
| 中文名称 | 溶质载体转运蛋白家族36成员A2抗体 |
| 英文别名 | A530067G19Rik; FLJ16051; MGC119658; MGC119660; PAT2; Proton coupled amino acid transporter 2; Protomino acid transporter 2; Solute carrier family 36(protomino acid symporter) member 2; Solute carrier family 36 member 2; TRAMD1; Tramdorin 1; Tramdorin. |
| 产品应用 | IHC-P=1:100-500, IHC-F=1:100-500, IF=1:100-500 Not yet tested in other applications. |
| 交叉反应 | Mouse, Rat (Human) |
| 抗体来源 | Rabbit |
| 免疫原 | KLH conjugated synthetic peptide derived from human SLC36A2 |
| 亚型 | IgG |
| 性状 | Liquid |
| 纯化方法 | affinity purified by Protein A |
| 克隆类型 | Polyclonal |
| 理论分子量 | 53 kDa |
| 浓度 | 1mg/ml |
| 储存液 | Preservative: 0.02% Proclin300, Constituents: 1% BSA, 0.01M PBS, pH7.4. |
| 亚细胞定位 | Cell membrane; Multi-pass membrane protein. Cytoplasm. |
| 组织特异性 | Abundantly expressed in kidney and muscle. Expressed in the S1 segment of the proximal tubule close to the glomerulus. |
| 相似性 | Belongs to the amino acid/polyamine transporter 2 family. |
| 功能 | SLC36A2 belongs to the amino acid/polyamine transporter 2 family and is involved in a pH-dependent electrogenic neuronal transport and sequestration of small amino acids such as glycine, alanine and proline. It is inhibited by sarcosine. |
| 保存条件 | Shipped at 4℃. Store at -20℃ for one year. Avoid repeated freeze/thaw cycles. |
| 注意事项 | This product as supplied is intended for research use only, not for use in human, therapeutic or diagnostic applications. |
| 背景资料 | This gene encodes a pH-dependent proton-coupled amino acid transporter that belongs to the amino acid auxin permease 1 protein family. The encoded protein primarily transports small amino acids such as glycine, alanine and proline. Mutations in this gene are associated with iminoglycinuria and hyperglycinuria. [provided by RefSeq, Sep 2010] |
| 应用 | 推荐稀释比例 |
| {IHC-P} | {1:100-500} |
| {IHC-F} | {1:100-500} |
| {IF} | {1:100-500} |

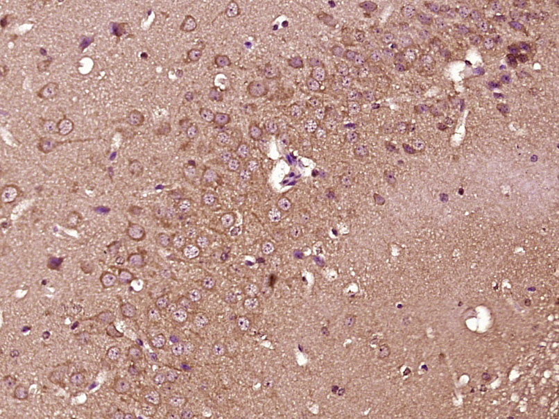
Paraformaldehyde-fixed, paraffin embedded (Mouse brain); Antigen retrieval by boiling in sodium citrate buffer (pH6.0) for 15min; Block endogenous peroxidase by 3% hydrogen peroxide for 20 minutes; Blocking buffer (normal goat serum) at 37°C for 30min; Antibody incubation with (SLC36A2) Polyclonal Antibody, Unconjugated (bs-21271R) at 1:400 overnight at 4°C, followed by operating according to SP Kit(Rabbit) (sp-0023) instructionsand DAB staining.

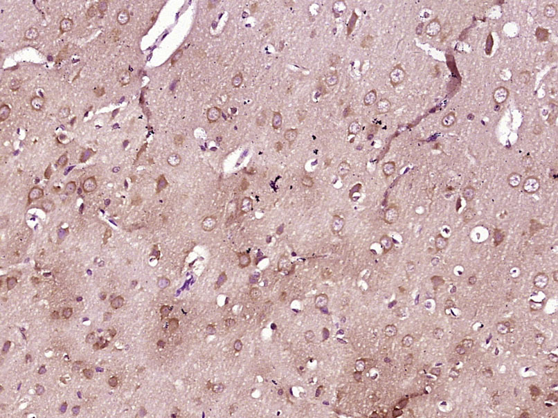
Paraformaldehyde-fixed, paraffin embedded (Rat brain); Antigen retrieval by boiling in sodium citrate buffer (pH6.0) for 15min; Block endogenous peroxidase by 3% hydrogen peroxide for 20 minutes; Blocking buffer (normal goat serum) at 37°C for 30min; Antibody incubation with (SLC36A2) Polyclonal Antibody, Unconjugated (bs-21271R) at 1:400 overnight at 4°C, followed by operating according to SP Kit(Rabbit) (sp-0023) instructionsand DAB staining.
风险提示:丁香通仅作为第三方平台,为商家信息发布提供平台空间。用户咨询产品时请注意保护个人信息及财产安全,合理判断,谨慎选购商品,商家和用户对交易行为负责。对于医疗器械类产品,请先查证核实企业经营资质和医疗器械产品注册证情况。
技术资料暂无技术资料 索取技术资料
SLC36A2 Rabbit pAb(bs-21271R)-50ul/100ul/200ul
¥1180 - 2800







