相关产品推荐更多 >
万千商家帮你免费找货
0 人在求购买到急需产品
- 详细信息
- 技术资料
- 应用范围:
产品信息以Bioss网站为准
- 规格:
50ul/100ul/200ul
| 规格: | 50ul | 产品价格: | ¥1180.0 |
|---|---|---|---|
| 规格: | 100ul | 产品价格: | ¥1980.0 |
| 规格: | 200ul | 产品价格: | ¥2800.0 |
| 产品编号 | bs-18165R |
| 英文名称 | phospho-TOB (Ser164) Rabbit pAb |
| 中文名称 | 磷酸化HER2受体转换蛋白抗体 |
| 英文别名 | TOB(phospho S164); p-TOB(phospho S164); APRO 6; APRO6; MGC104792; MGC34446; PIG 49; PIG49; Proliferation inducing gene 49; Protein Tob1; RP23 244C22.1; TOB 1; Tob 1 protein; TOB; TOB1; Tob1 protein; Transducer of ERBB 2 1; Transducer of erbB 2; Transducer of ERBB2 1; Transducer of erbB2; Trob; TROB 1; TROB1. |
| 产品应用 | IHC-P=1:100-500, IHC-F=1:100-500, IF=1:100-500 Not yet tested in other applications. |
| 交叉反应 | Mouse (Human, Rat, Chicken, Dog, Cow, Horse, Sheep) |
| 抗体来源 | Rabbit |
| 免疫原 | KLH conjugated synthesised phosphopeptide derived from human TOB1 around the phosphorylation site of Ser164 |
| 亚型 | IgG |
| 性状 | Liquid |
| 纯化方法 | affinity purified by Protein A |
| 克隆类型 | Polyclonal |
| 理论分子量 | 38 kDa |
| 浓度 | 1mg/ml |
| 储存液 | 0.01M TBS (pH7.4) with 1% BSA, 0.02% Proclin300 and 50% Glycerol. |
| 亚基 | Interacts with ERBB2. Interacts with CNOT7 and CNOT8. |
| 组织特异性 | Ubiquitous. |
| 翻译后修饰 | Phosphorylated on Ser and Thr residues. |
| 相似性 | Belongs to the BTG family. |
| 功能 | The Tob/Btg family of proteins consists of a large number of members. These proteins have a common domain in their amino terminal end and may have anti-proliferative activity in various cell types. The Tob protein was identified in a search for molecules that interact with the receptor tyrosine kinase ErbB2. Active ErbB2 has a negative effect on the anti-proliferative activity of Tob. However, Tob is phosphorylated on serine and threonine residues but not on tyrosine, suggesting that active ErbB2 activates a Ser/Thr kinase that phosphorylates Tob. Unphosphorylated Tob suppresses expression of cyclin D1. It was shown that active p90Rsk1 kinase (known to be activated by protein-tyrosine kinase receptor) phosphorylates Tob on serine and threonine residues in vitro. In addition, Erk1/Erk2 MAP kinases phosphorylate Tob in vivo and in vitro, resulting in suppression of the anti-proliferative activity of Tob. Homozygous Tob knockout mice develop greater bone mass resulting from increased numbers of osteoblasts. Furthermore, it has been shown in osteoblasts, that upon BMP2 (bone morphogenetic protein) activation, Tob associates with receptor regulated Smads (Smad 1, 5, and 8). Thus, osteoblast proliferation and differentiation is negatively regulated by Tob protein through the Smad proteins. |
| 保存条件 | Shipped at 4℃. Store at -20℃ for one year. Avoid repeated freeze/thaw cycles. |
| 注意事项 | This product as supplied is intended for research use only, not for use in human, therapeutic or diagnostic applications. |
| 背景资料 | This gene encodes a member of the transducer of erbB-2 /B-cell translocation gene protein family. Members of this family are anti-proliferative factors that have the potential to regulate cell growth. The encoded protein may function as a tumor suppressor. Alternate splicing results in multiple transcript variants. [provided by RefSeq, Aug 2011] |
| 应用 | 推荐稀释比例 |
| {IHC-P} | {1:100-500} |
| {IHC-F} | {1:100-500} |
| {IF} | {1:100-500} |

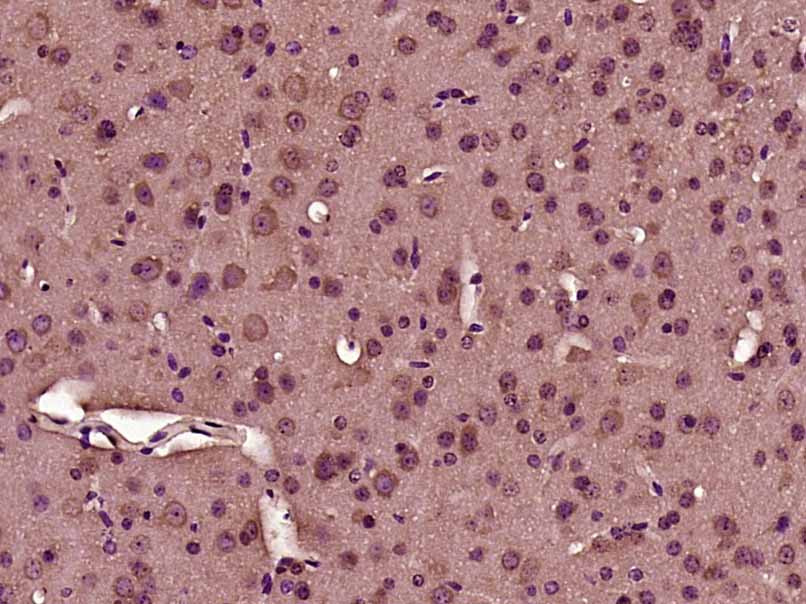
Paraformaldehyde-fixed, paraffin embedded (Mouse brain); Antigen retrieval by boiling in sodium citrate buffer (pH6.0) for 15min; Block endogenous peroxidase by 3% hydrogen peroxide for 20 minutes; Blocking buffer (normal goat serum) at 37°C for 30min; Antibody incubation with (phospho-TOB (Ser164)) Polyclonal Antibody, Unconjugated (bs-18165R) at 1:400 overnight at 4°C, followed by operating according to SP Kit(Rabbit) (sp-0023) instructionsand DAB staining.
风险提示:丁香通仅作为第三方平台,为商家信息发布提供平台空间。用户咨询产品时请注意保护个人信息及财产安全,合理判断,谨慎选购商品,商家和用户对交易行为负责。对于医疗器械类产品,请先查证核实企业经营资质和医疗器械产品注册证情况。
技术资料暂无技术资料 索取技术资料
phospho-TOB (Ser164) Rabbit pAb(bs-18165R)-50ul/100ul/200ul
¥1180 - 2800








