相关产品推荐更多 >
万千商家帮你免费找货
0 人在求购买到急需产品
- 详细信息
- 技术资料
- 应用范围:
产品信息以Bioss网站为准
- 规格:
50ul/100ul/200ul
| 规格: | 50ul | 产品价格: | ¥1180.0 |
|---|---|---|---|
| 规格: | 100ul | 产品价格: | ¥1980.0 |
| 规格: | 200ul | 产品价格: | ¥2800.0 |
| 产品编号 | bs-13073R |
| 英文名称 | phospho-eNOS (Ser615) Rabbit pAb |
| 中文名称 | 磷酸化一氧化氮合成酶3(内皮型)抗体 |
| 英文别名 | eNOS(phospho S615); p-eNOS(phospho S615); eNOS(phospho-Ser615); cNOS; eNOS; Constitutive NOS; EC NOS; ecNOS; Endothelial nitric oxidase synthase; Endothelial nitric oxide synthase; Endothelial nitric oxide synthase 3; Endothelial NOS; Nitric oxide synthase 3(endothelial cell); Nitric oxide synthase 3; Nitric oxide synthase 3 endothelial cell; Nitric oxide synthase endothelial; nitric oxide synthase, endothelial; NOS 3; NOS III; NOS type III; NOS3; NOSIII; NOS3_HUMAN. |
| 产品应用 | IHC-P=1:100-500, IHC-F=1:100-500, IF=1:100-500 Not yet tested in other applications. |
| 交叉反应 | Human (Dog, Rabbit) |
| 抗体来源 | Rabbit |
| 免疫原 | KLH conjugated Synthesised phosphopeptide derived from human eNOS around the phosphorylation site of Ser615 |
| 亚型 | IgG |
| 性状 | Liquid |
| 纯化方法 | affinity purified by Protein A |
| 克隆类型 | Polyclonal |
| 理论分子量 | 133 kDa |
| 浓度 | 1mg/ml |
| 储存液 | 0.01M TBS (pH7.4) with 1% BSA, 0.02% Proclin300 and 50% Glycerol. |
| 研究领域 | Cancer > Cancer Metabolism > Response to hypoxia Cardiovascular > Blood > Platelets Cardiovascular > Vasculature > Vasodilation > Nitric oxide associated Cell Biology > Other Antibodies > Oxidative Stress Metabolism > Pathways and Processes > Metabolism processes > Hypoxia Metabolism > Pathways and Processes > Redox metabolism > Oxidative stress Neuroscience > Neurotransmission > Nitric Oxide > NOS |
| 亚基 | Homodimer. Interacts with NOSIP and NOSTRIN. |
| 亚细胞定位 | Cell membrane. Membrane, caveola. Cytoplasm, cytoskeleton. Golgi apparatus. Note=Specifically associates with actin cytoskeleton in the G2 phase of the cell cycle; which is favored by interaction with NOSIP and results in a reduced enzymatic activity. |
| 组织特异性 | Platelets, placenta, liver and kidney. |
| 翻译后修饰 | Phosphorylation by AMPK at Ser-1177 in the presence of Ca(2+)-calmodulin (CaM) activates activity. In absence of Ca(2+)-calmodulin, AMPK also phosphorylates Thr-495, resulting in inhibition of activity. Phosphorylation of Ser-114 by CDK5 reduces activity. |
| 相似性 | Belongs to the NOS family. Contains 1 FAD-binding FR-type domain. Contains 1 flavodoxin-like domain. |
| 功能 | Produces nitric oxide (NO) which is implicated in vascular smooth muscle relaxation through a cGMP-mediated signal transduction pathway. NO mediates vascular endothelial growth factor (VEGF)-induced angiogenesis in coronary vessels and promotes blood clotting through the activation of platelets.
Isoform eNOS13C: Lacks eNOS activity, dominant-negative form that may down-regulate eNOS activity by forming heterodimers with isoform 1. |
| 保存条件 | Shipped at 4℃. Store at -20℃ for one year. Avoid repeated freeze/thaw cycles. |
| 注意事项 | This product as supplied is intended for research use only, not for use in human, therapeutic or diagnostic applications. |
| 背景资料 | Nitric oxide synthase NOS oxidizes a guanidine nitrogen of arginine releasing nitric oxide in the form of a free radical and citrulline. Nitric oxide thus generated acts as a messenger in diverse functions including vasodilation neurotransmission, anti tumor and anti pathogenic activities. NOS is classified under three types: neuronal NOS (nNOS) or brain NOS (bNOS); inducible NOS (iNOS) or macrophage NOS (mNOS); and endothelial NOS (eNOS). |
| 应用 | 推荐稀释比例 |
| {IHC-P} | {1:100-500} |
| {IHC-F} | {1:100-500} |
| {IF} | {1:100-500} |

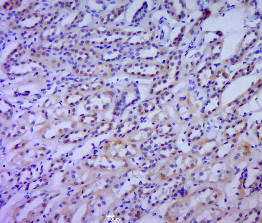
Paraformaldehyde-fixed, paraffin embedded (human kidney tissue); Antigen retrieval by boiling in sodium citrate buffer (pH6.0) for 15min; Block endogenous peroxidase by 3% hydrogen peroxide for 20 minutes; Blocking buffer (normal goat serum) at 37°C for 30min; Antibody incubation with (P-eNOS (Ser615)) Polyclonal Antibody, Unconjugated (bs-13073R) at 1:400 overnight at 4°C, followed by a conjugated secondary (sp-0023) for 20 minutes and DAB staining.
风险提示:丁香通仅作为第三方平台,为商家信息发布提供平台空间。用户咨询产品时请注意保护个人信息及财产安全,合理判断,谨慎选购商品,商家和用户对交易行为负责。对于医疗器械类产品,请先查证核实企业经营资质和医疗器械产品注册证情况。
技术资料暂无技术资料 索取技术资料
phospho-eNOS (Ser615) Rabbit pAb(bs-13073R)-50ul/100ul/200ul
¥1180 - 2800







