相关产品推荐更多 >
万千商家帮你免费找货
0 人在求购买到急需产品
- 详细信息
- 文献和实验
- 技术资料
- 应用范围:
产品信息以Bioss网站为准
- 规格:
50ul/100ul/200ul
| 规格: | 50ul | 产品价格: | ¥1180.0 |
|---|---|---|---|
| 规格: | 100ul | 产品价格: | ¥1980.0 |
| 规格: | 200ul | 产品价格: | ¥2800.0 |
| 产品编号 | bs-0604R |
| 英文名称 | Galectin 9 Rabbit pAb |
| 中文名称 | 半乳糖凝集素9抗体 |
| 英文别名 | LGALS9; 36 kDa beta-galactoside-binding lectin; Ecalectin; Gal-9; Galectin-9; galectin9; HOM HD 21; HOMHD21; HUAT; Lectin galactoside binding soluble 9; LEG9_HUMAN; LGAL S9; LGALS 9; LGALS9A; MGC117375; MGC125973; MGC125974; Tumor antigen HOM-HD-21; UAT; Urate transporter/channel; Urate transporter/channel protein; |
| 产品应用 | IHC-P=1:100-500, IHC-F=1:100-500, IF=1:100-500 Not yet tested in other applications. |
| 交叉反应 | Human, Mouse, Rat |
| 抗体来源 | Rabbit |
| 免疫原 | KLH conjugated synthetic peptide derived from mouse galectin 9 |
| 亚型 | IgG |
| 性状 | Liquid |
| 纯化方法 | affinity purified by Protein A |
| 克隆类型 | Polyclonal |
| 理论分子量 | 39 kDa |
| 浓度 | 1mg/ml |
| 储存液 | 0.01M TBS (pH7.4) with 1% BSA, 0.02% Proclin300 and 50% Glycerol. |
| 研究领域 | Cancer > Cell Death > Apoptosis > Receptors > Associated Proteins Cell Biology > Apoptosis > Receptors > Associated Proteins Cell Biology > Cell Cycle > Cell differentiation Neuroscience > Cell Adhesion Proteins > Nuclear Proteins |
| 亚基 | Homodimer. |
| 亚细胞定位 | Cytoplasm. Secreted. Note=May also be secreted by a non-classical secretory pathway. |
| 组织特异性 | Accentuated expression in liver and thymus of embryo, detected in embryonic heart, brain, lung, liver, and kidney. Highly expressed in adult thymus, small intestine, and liver, and to a lesser extent in lung, kidney, spleen, cardiac, and skeletal muscle. Barely detectable in brain and reticulocyte. The isoform Long is expressed exclusively in the small intestine. |
| 相似性 | Contains 2 galectin domains. |
| 保存条件 | Shipped at 4℃. Store at -20℃ for one year. Avoid repeated freeze/thaw cycles. |
| 注意事项 | This product as supplied is intended for research use only, not for use in human, therapeutic or diagnostic applications. |
| 背景资料 | Binds galactosides. May play a role in thymocyte-epithelial interactions relevant to the biology of the thymus. Is a ligand for HAVCR2/TIM3. Induces T-helper type 1 lymphocyte (Th1) death (By similarity). May provide the molecular basis for urate flux across cell membranes, allowing urate that is formed during purine metabolism to efflux from cells and serving as an electrogenic transporter that plays an important role in renal and gastrointestinal urate excretion. Highly selective to the anion urate. |
| 应用 | 推荐稀释比例 |
| {IHC-P} | {1:100-500} |
| {IHC-F} | {1:100-500} |
| {IF} | {1:100-500} |

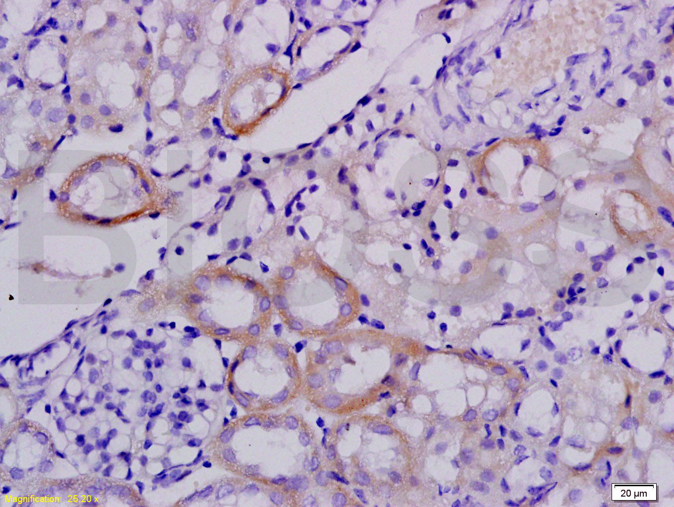
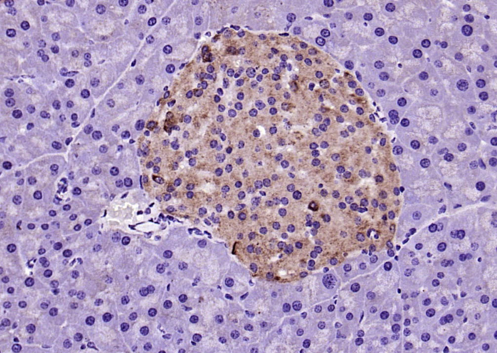
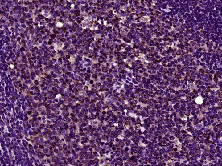
Antigen retrieval: citrate buffer ( 0.01M, pH 6.0 ), Boiling bathing for 15min; Block endogenous peroxidase by 3% Hydrogen peroxide for 30min; Blocking buffer (normal goat serum,C-0005) at 37℃ for 20 min;
Incubation: Anti-Galectin-9 Polyclonal Antibody, Unconjugated(bs-0604R) 1:200, overnight at 4°C, followed by conjugation to the secondary antibody(SP-0023) and DAB(C-0010) staining

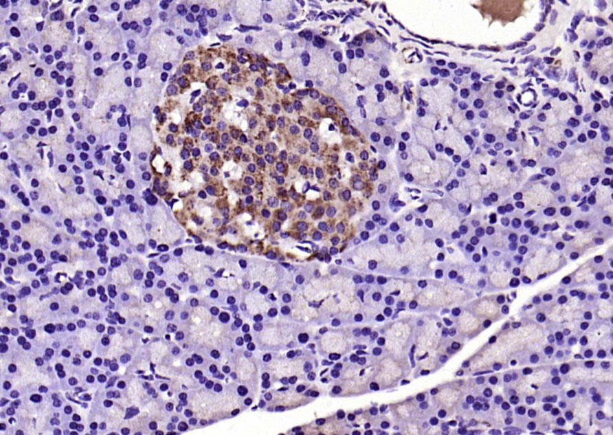
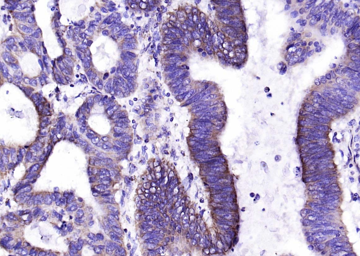
Antigen retrieval: citrate buffer ( 0.01M, pH 6.0 ), Boiling bathing for 15min; Block endogenous peroxidase by 3% Hydrogen peroxide for 30min; Blocking buffer (normal goat serum,C-0005) at 37℃ for 20 min;
Incubation: Anti-Galectin-9 Polyclonal Antibody, Unconjugated(bs-0604R) 1:200, overnight at 4°C, followed by conjugation to the secondary antibody(SP-0023) and DAB(C-0010) staining




风险提示:丁香通仅作为第三方平台,为商家信息发布提供平台空间。用户咨询产品时请注意保护个人信息及财产安全,合理判断,谨慎选购商品,商家和用户对交易行为负责。对于医疗器械类产品,请先查证核实企业经营资质和医疗器械产品注册证情况。
文献和实验[IF={{ 9.7 }}] {Peier Chen. et al. Targeted heart repair by Tβ4-loaded cardiac-resident macrophage-derived extracellular vesicles modified with monocyte membranes. ACTA BIOMATER. 2023 Aug;:} {WB} {Mouse}
[IF={{ 3.47 }}] {Zhang Y et al. Konjac glucomannan improves hyperuricemia through regulating xanthine oxidase, adenosine deaminase and urate transporters in rats. Journal of Functional Foods,2018 48, 566–575.} {WB} {Rat}
[IF={{ 2.1 }}] {Hui Zhao. et al. Expression of Tim-3/Galectin-9 pathway and CD8+T cells and related factors in patients with cystic echinococcosis. EXP PARASITOL. 2023 Nov;254:108623} {IHC} {Human}
技术资料暂无技术资料 索取技术资料








