相关产品推荐更多 >

Factor D Rabbit pAb, BF594 conjugated(bs-13130R-BF594)-100ul
¥2980
SMAD5 Rabbit pAb, Biotin conjugated(bs-13890R-Bio)-100ul
¥2980
C21orf58 Rabbit pAb(bs-9978R)-50ul/100ul/200ul
¥1180
phospho-PDGFRA (Tyr754) Rabbit pAb, BF555 conjugated(bs-20280R-BF555)-100ul
¥2980
phospho-Smad3 (Thr179) Rabbit pAb, BF680 conjugated(bs-19452R-BF680)-100ul
¥2980
万千商家帮你免费找货
0 人在求购买到急需产品
- 详细信息
- 文献和实验
- 技术资料
- 应用范围:
产品信息以Bioss网站为准
- 规格:
50ul/100ul/200ul
| 规格: | 50ul | 产品价格: | ¥1180.0 |
|---|---|---|---|
| 规格: | 100ul | 产品价格: | ¥1980.0 |
| 规格: | 200ul | 产品价格: | ¥2800.0 |
| 产品编号 | bs-21578R |
| 英文名称 | GCNF Rabbit pAb |
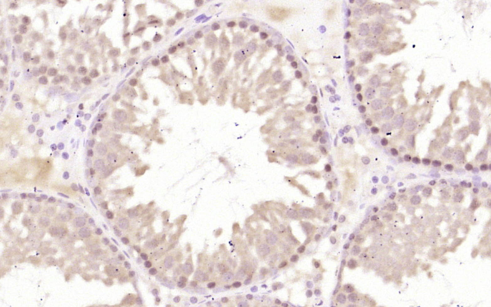
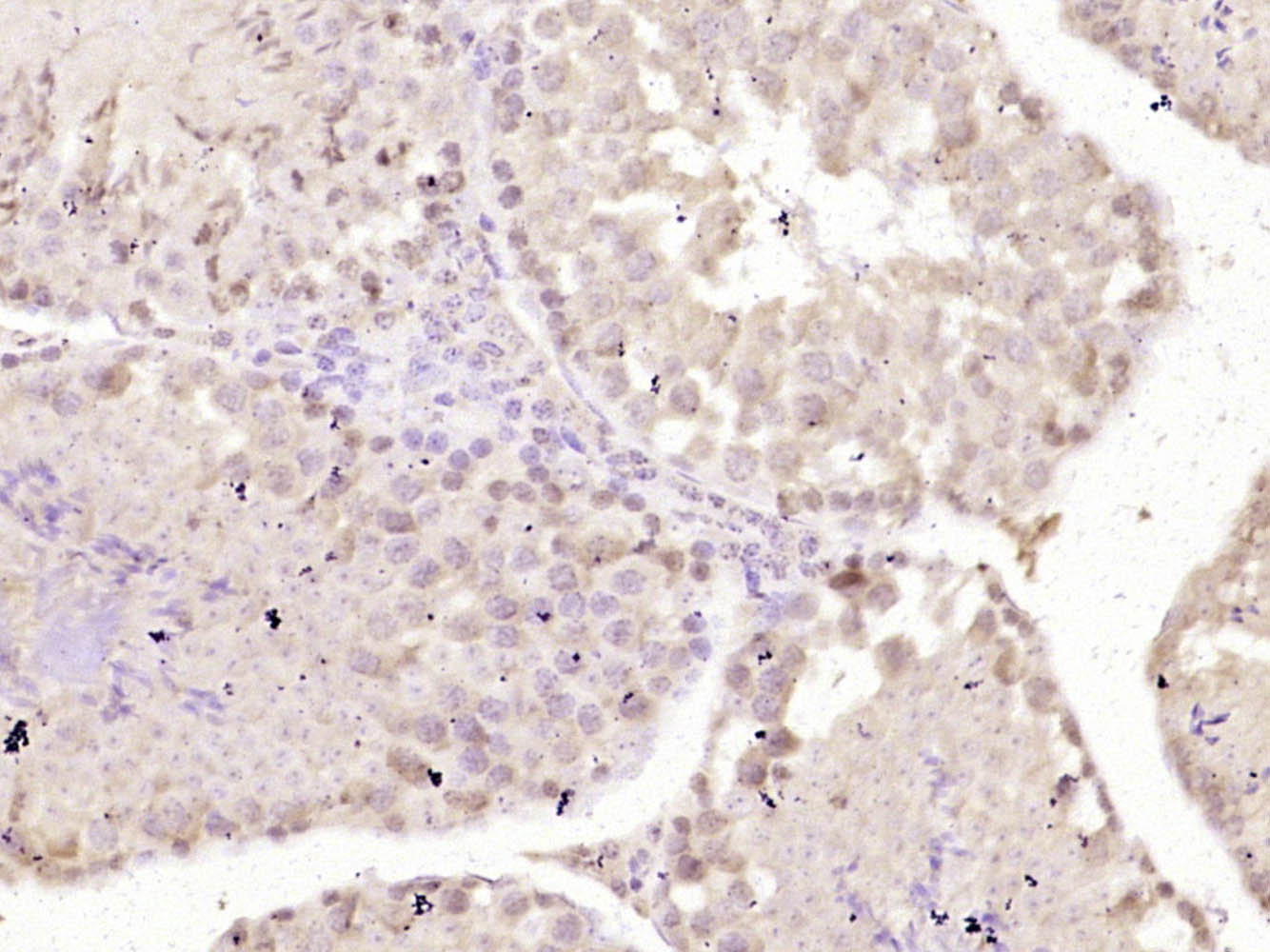
| 中文名称 | 生殖细胞核因子GCNF/维甲酸受体相关睾丸受体抗体 |
| 英文别名 | GCNF 1; GCNF; GCNF1; Germ cell nuclear factor; hGCNF; hRTR; NR 61; NR61; NR6A1; NR6A1_HUMAN; Nuclear receptor subfamily 6 group A member 1; Orphan nuclear receptor NR6A1; Retinoic acid receptor related testis associated receptor; Retinoid receptor related testis specific receptor; Retinoid receptor-related testis-specific receptor; RTR. |
| 产品应用 | IHC-P=1:100-500, IHC-F=1:100-500, IF=1:100-500 Not yet tested in other applications. |
| 交叉反应 | Mouse, Rat (Human, Chicken, Dog, Pig, Cow, Horse, Rabbit, Sheep) |
| 抗体来源 | Rabbit |
| 免疫原 | KLH conjugated synthetic peptide derived from human GCNF |
| 亚型 | IgG |
| 性状 | Liquid |
| 纯化方法 | affinity purified by Protein A |
| 克隆类型 | Polyclonal |
| 理论分子量 | 54 kDa |
| 浓度 | 1mg/ml |
| 储存液 | 0.01M TBS (pH7.4) with 1% BSA, 0.02% Proclin300 and 50% Glycerol. |
| 亚基 | Homodimer. Interacts with UIMC1 |
| 亚细胞定位 | Nucleus. |
| 组织特异性 | Shows highest expression in the germ cells of the adult testis. |
| 相似性 | Belongs to the nuclear hormone receptor family. NR6 subfamily. Contains 1 nuclear receptor DNA-binding domain. |
| 功能 | Orphan nuclear receptor. Binds to a response element containing the sequence 5'-TCAAGGTCA-3'. May be involved in the regulation of gene expression in germ cell development during gametogenesis. |
| 保存条件 | Shipped at 4℃. Store at -20℃ for one year. Avoid repeated freeze/thaw cycles. |
| 注意事项 | This product as supplied is intended for research use only, not for use in human, therapeutic or diagnostic applications. |
| 背景资料 | Germ cell nuclear factor (GCNF) is an orphan member of the nuclear receptor gene superfamily that influences neurogenesis and germ cell development. GCNF can homodimerize and bind DNA. GCNF regulates paracrine interaction between the oocyte and somatic cells by regulating the expression of BMP-15 and GDF-9, to affect female fertility. GCNF is present in spermatocytes and round spermatids of adult male mouse testis; northern blot and ribonuclease protection assays have shown GCNF is predominant in the testis. The gene expresses three alternatively spliced transcript variants. |
| 应用 | 推荐稀释比例 |
| {IHC-P} | {1:100-500} |
| {IHC-F} | {1:100-500} |
| {IF} | {1:100-500} |


风险提示:丁香通仅作为第三方平台,为商家信息发布提供平台空间。用户咨询产品时请注意保护个人信息及财产安全,合理判断,谨慎选购商品,商家和用户对交易行为负责。对于医疗器械类产品,请先查证核实企业经营资质和医疗器械产品注册证情况。
文献和实验= NAL), appears to form upon oxidative cyclization of the nonfluorescent 2:1 lysine-HNE Michael adduct-Schiff base cross-link (Scheme 1). Polyclonal antibody (PAb) to the NAL-HNE fluorophore was raised in rabbit and found to be highly specific
GE Healthcare Benzamidine Sepharose™ 6B is p-aminobenzamidine covalently attached to Sepharose 6B by the epoxy coupling method. p-Aminobenzamidine (PAB), is a synthetic inhibitor of trypsin-like serine protease. Trypsin and trypsin
Nucleic Acid Programmable Protein Arrays: Versatile Tools for Array‐Based Functional Protein Studies
.g., Sigma) 50 mg/ml bis‐sulfosuccinimdylsuberate (BS3 ;Pierce, cat. no. PI 21580) in dimethylsulfoxide (DMSO) 5 mg/ml
技术资料暂无技术资料 索取技术资料






