相关产品推荐更多 >

CD105 Recombinant Rabbit mAb(bsm-61042R)-50ul/100ul/25ul
¥800
Anti-human PDCD1 / PD-1 / CD279 (Nofazinlimab Biosimilar)(BIO0646SM)-1mg/5mg/20mg
¥3200
IGSF9 Rabbit pAb(bs-9199R)-50ul/100ul/200ul
¥1180
CASPR Rabbit pAb, BF594 conjugated(bs-11128R-BF594)-100ul
¥2980
Integrin alpha 4 Rabbit pAb, HRP conjugated(bs-22181R-HRP)-100ul
¥2980
万千商家帮你免费找货
0 人在求购买到急需产品
- 详细信息
- 文献和实验
- 技术资料
- 应用范围:
产品信息以Bioss网站为准
- 规格:
50ul/100ul/200ul
| 规格: | 50ul | 产品价格: | ¥1180.0 |
|---|---|---|---|
| 规格: | 100ul | 产品价格: | ¥1980.0 |
| 规格: | 200ul | 产品价格: | ¥2800.0 |
| 产品编号 | bs-23431R |
| 英文名称 | ASNS Rabbit pAb |
| 中文名称 | 天冬酰胺合成酶 |
| 英文别名 | Asparagine synthetase; ASNS_HUMAN; Asparagine synthetase [glutamine-hydrolyzing]; TS11; EC:6.3.5.4; Cell cycle control protein TS11; Glutamine-dependent asparagine synthetase; ASNSD; |
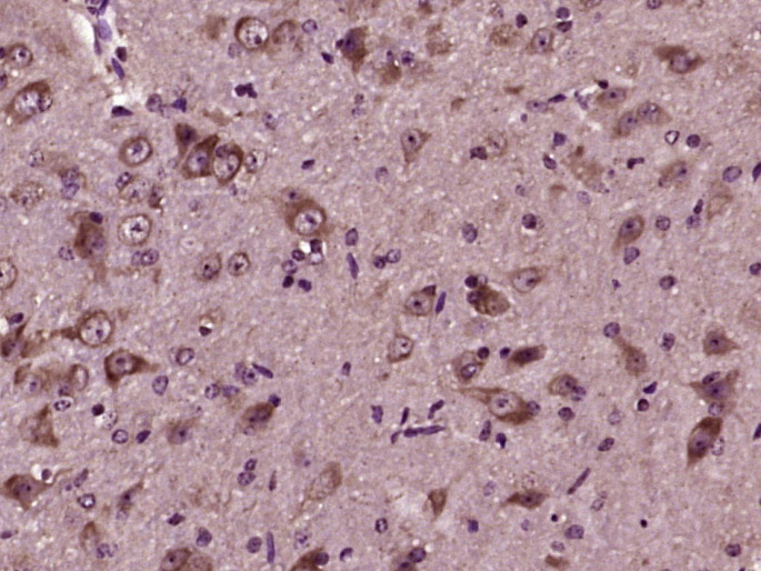
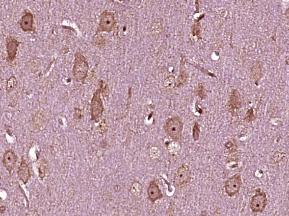
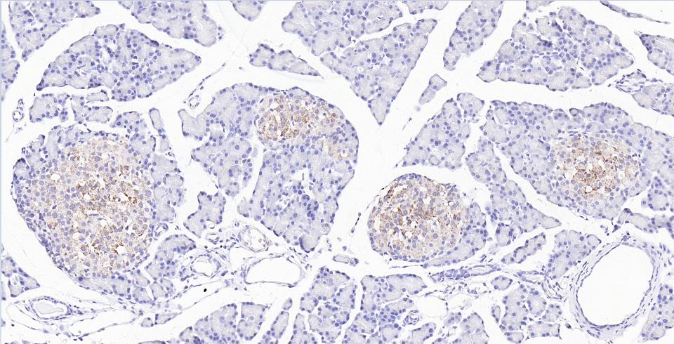
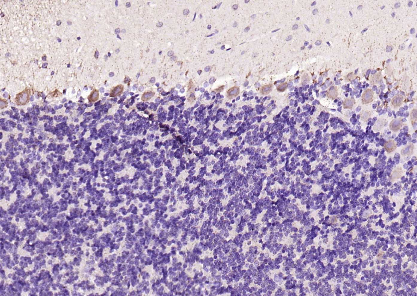
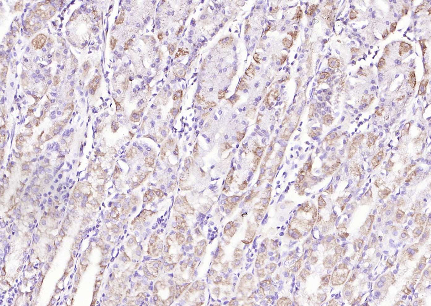
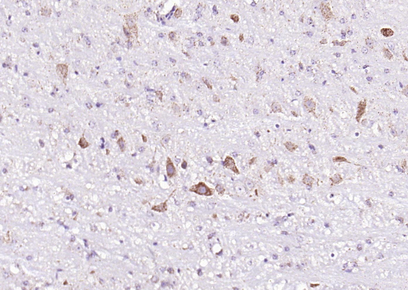
| 产品应用 | WB=1:1000-2000, IHC-P=1:100-500, IHC-F=1:100-500, IF=1:100-500 Not yet tested in other applications. |
| 交叉反应 | Human, Mouse, Rat (Dog, Pig, Cow, Horse, Rabbit) |
| 抗体来源 | Rabbit |
| 免疫原 | KLH conjugated synthetic peptide derived from human ASNS |
| 亚型 | IgG |
| 性状 | Liquid |
| 纯化方法 | affinity purified by Protein A |
| 克隆类型 | Polyclonal |
| 浓度 | 1mg/ml |
| 储存液 | 0.01M TBS (pH7.4) with 1% BSA, 0.02% Proclin300 and 50% Glycerol. |
| 研究领域 | Cancer > Tumor biomarkers > Enzymes Metabolism > Pathways and Processes > Metabolic signaling pathways > Amino acid metabolism Metabolism > Types of disease > Cancer Signal Transduction > Metabolism > Amino Acids |
| 相似性 | Contains 1 asparagine synthetase domain.
Contains 1 glutamine amidotransferase type-2 domain. |
| 保存条件 | Shipped at 4℃. Store at -20℃ for one year. Avoid repeated freeze/thaw cycles. |
| 注意事项 | This product as supplied is intended for research use only, not for use in human, therapeutic or diagnostic applications. |
| 背景资料 | The protein encoded by this gene is involved in the synthesis of asparagine. This gene complements a mutation in the temperature-sensitive hamster mutant ts11, which blocks progression through the G1 phase of the cell cycle at nonpermissive temperature. Alternatively spliced transcript variants have been described for this gene. [provided by RefSeq, May 2010] |
| 应用 | 推荐稀释比例 |
| {WB} | {1:1000-2000} |
| {IHC-P} | {1:100-500} |
| {IHC-F} | {1:100-500} |
| {IF} | {1:100-500} |









Lane 1: Mouse Spleen tissue lysates
Lane 2: Mouse Cerebrum tissue lysates
Lane 3: Mouse Cerebellum tissue lysates
Lane 4: Rat Cerebrum tissue lysates
Lane 5: Rat Cerebellum tissue lysates
Lane 6: Human HeLa cell lysates
Lane 7: Human Jurkat cell lysates
Lane 8: Human SH-SY5Y cell lysates
Lane 9: Human U87MG cell lysates
Primary: Anti-ASNS (bs-23431R) at 1/2000 dilution
Secondary: IRDye800CW Goat Anti-Rabbit IgG at 1/20000 dilution
Predicted band size: 64 kDa
Observed band size: 60 kDa
风险提示:丁香通仅作为第三方平台,为商家信息发布提供平台空间。用户咨询产品时请注意保护个人信息及财产安全,合理判断,谨慎选购商品,商家和用户对交易行为负责。对于医疗器械类产品,请先查证核实企业经营资质和医疗器械产品注册证情况。
文献和实验= NAL), appears to form upon oxidative cyclization of the nonfluorescent 2:1 lysine-HNE Michael adduct-Schiff base cross-link (Scheme 1). Polyclonal antibody (PAb) to the NAL-HNE fluorophore was raised in rabbit and found to be highly specific
GE Healthcare Benzamidine Sepharose™ 6B is p-aminobenzamidine covalently attached to Sepharose 6B by the epoxy coupling method. p-Aminobenzamidine (PAB), is a synthetic inhibitor of trypsin-like serine protease. Trypsin and trypsin
Nucleic Acid Programmable Protein Arrays: Versatile Tools for Array‐Based Functional Protein Studies
.g., Sigma) 50 mg/ml bis‐sulfosuccinimdylsuberate (BS3 ;Pierce, cat. no. PI 21580) in dimethylsulfoxide (DMSO) 5 mg/ml
技术资料暂无技术资料 索取技术资料






