相关产品推荐更多 >

CD44v7 Rabbit pAb, PE-Cy5 conjugated(bs-16206R-PE-Cy5)-100ul
¥2980
TCL3/HOX11 Rabbit pAb(bs-17360R)-50ul/100ul/200ul
¥1180
FREAC3 Rabbit pAb, PerCP conjugated(bs-6642R-PerCP)-100ul
¥2980
phospho-AKT1 (Tyr474) Rabbit pAb, BF555 conjugated(bs-10133R-BF555)-100ul
¥2980
phospho-c-kit (Tyr936) Rabbit pAb, BF647 conjugated(bs-1738R-BF647)-100ul
¥2980
万千商家帮你免费找货
0 人在求购买到急需产品
- 详细信息
- 技术资料
- 应用范围:
产品信息以Bioss网站为准
- 规格:
50ul/100ul
| 规格: | 50ul | 产品价格: | ¥1400.0 |
|---|---|---|---|
| 规格: | 100ul | 产品价格: | ¥2500.0 |
| 产品编号 | bsm-52115R |
| 英文名称 | IRF2 Recombinant Rabbit mAb |
| 中文名称 | 干扰素调节因子2重组兔单抗 |
| 英文别名 | DKFZp686F0244; Interferon regulatory factor 2; IRF 2; IRF-2; IRF2_HUMAN. |
| 产品应用 | WB=1:500-2000, IHC-P=1:50-200, IHC-F=1:50-200, IF=1:50-200 Not yet tested in other applications. |
| 交叉反应 | Human, Mouse |
| 抗体来源 | Rabbit |
| 免疫原 | A synthesized peptide derived from human IRF2 |
| 亚型 | IgG |
| 性状 | Liquid |
| 纯化方法 | affinity purified by Protein A |
| 克隆类型 | Recombinant |
| 理论分子量 | 39 kDa |
| 浓度 | 1mg/ml |
| 储存液 | 0.01M TBS (pH7.4) with 1% BSA, 0.02% Proclin300 and 50% Glycerol. |
| 研究领域 | Epigenetics and Nuclear Signaling > Transcription > Domain Families > HLH / Leucine Zipper > Helix-Turn-Helix Epigenetics and Nuclear Signaling > Transcription > Polymerase associated factors > Pol II Transcription Epigenetics and Nuclear Signaling > Transcription > Transcription Factors Immunology > Innate Immunity > Cytokines > Interferons |
| 亚细胞定位 | Nucleus. |
| 组织特异性 | Expressed throughout the epithelium of the colon. Also expressed in lamina propria. |
| 翻译后修饰 | Acetylated by CBP/ p300 during cell-growth. Acetylation on Lys-75 is required for stimulation of H4 promoter activity. The major sites of sumoylation are Lys-137 and Lys-293. Sumoylation by SUMO1 increases its transcriptional repressor activity on IRF1 and diminishes its ability to activate ISRE and H4 promoter. |
| 相似性 | Belongs to the IRF family. Contains 1 IRF tryptophan pentad repeat DNA-binding domain. |
| 功能 | Specifically binds to the upstream regulatory region of type I IFN and IFN-inducible MHC class I genes (the interferon consensus sequence (ICS)) and represses those genes. Also acts as an activator for several genes including H4 and IL7. Constitutively binds to the ISRE promoter to activate IL7. Involved in cell cycle regulation through binding the site II (HiNF-M) promoter region of H4 and activating transcription during cell growth. Antagonizes IRF1 transcriptional activation. |
| 保存条件 | Shipped at 4℃. Store at -20℃ for one year. Avoid repeated freeze/thaw cycles. |
| 注意事项 | This product as supplied is intended for research use only, not for use in human, therapeutic or diagnostic applications. |
| 背景资料 | IRF2 encodes interferon regulatory factor 2, a member of the interferon regulatory transcription factor (IRF) family. IRF2 competitively inhibits the IRF1-mediated transcriptional activation of interferons alpha and beta, and presumably other genes that employ IRF1 for transcription activation. However, IRF2 also functions as a transcriptional activator of histone H4. [provided by RefSeq, Jul 2008] |
| 应用 | 推荐稀释比例 |
| {WB} | {1:500-2000} |
| {IHC-P} | {1:50-200} |
| {IHC-F} | {1:50-200} |
| {IF} | {1:50-200} |

25 ug total protein per lane of various lysates (see on figure) probed with IRF2 monoclonal antibody, unconjugated (bsm-52115R) at 1:1000 dilution and 4°C overnight incubation. Followed by conjugated secondary antibody incubation at r.t. for 60 min.

Paraformaldehyde-fixed, paraffin embedded Mouse Lung; Antigen retrieval by boiling in sodium citrate buffer (pH6.0) for 15 min; The section was incubated with IRF2 Monoclonal Antibody, Unconjugated (bsm-52115R) at 1:200 overnight at 4°C, followed by conjugation to the bs-0295G-HRP and DAB (C-0010) staining.

Paraformaldehyde-fixed, paraffin embedded Mouse Spleen; Antigen retrieval by boiling in sodium citrate buffer (pH6.0) for 15 min; The section was incubated with IRF2 Monoclonal Antibody, Unconjugated (bsm-52115R) at 1:200 overnight at 4°C, followed by conjugation to the bs-0295G-HRP and DAB (C-0010) staining.

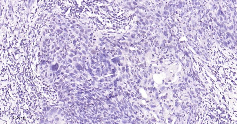
Paraformaldehyde-fixed, paraffin embedded Human Cervical Cancer; Antigen retrieval by boiling in sodium citrate buffer (pH6.0) for 15 min; The section was incubated with IRF2 Monoclonal Antibody, Unconjugated (bsm-52115R) at 1:200 overnight at 4°C, followed by conjugation to the bs-0295G-HRP and DAB (C-0010) staining.
风险提示:丁香通仅作为第三方平台,为商家信息发布提供平台空间。用户咨询产品时请注意保护个人信息及财产安全,合理判断,谨慎选购商品,商家和用户对交易行为负责。对于医疗器械类产品,请先查证核实企业经营资质和医疗器械产品注册证情况。
技术资料暂无技术资料 索取技术资料
IRF2 Recombinant Rabbit mAb(bsm-52115R)-50ul/100ul
¥1400 - 2500





