相关产品推荐更多 >

E cadherin Rabbit pAb, APC-Cy7 conjugated(bs-1519R-APC-Cy7)-100ul
¥2980
Cyclin B1 Rabbit pAb, PE conjugated(bs-0572R-PE)-100ul
¥2980
Estrogen Receptor alpha + beta Rabbit pAb, BF647 conjugated(bs-0174R-BF647)-100ul
¥2980
phospho-Bcr (Tyr177) Rabbit pAb(bs-3067R)-50ul/100ul/200ul
¥1180
OR5D14 Rabbit pAb, Biotin conjugated(bs-17931R-Bio)-100ul
¥2980
万千商家帮你免费找货
0 人在求购买到急需产品
- 详细信息
- 文献和实验
- 技术资料
- 应用范围:
产品信息以Bioss网站为准
- 规格:
50ul/100ul/200ul
| 规格: | 50ul | 产品价格: | ¥1180.0 |
|---|---|---|---|
| 规格: | 100ul | 产品价格: | ¥1980.0 |
| 规格: | 200ul | 产品价格: | ¥2800.0 |
| 产品编号 | bs-10394R |
| 英文名称 | NeuN Rabbit pAb |
| 中文名称 | 神经元核抗原抗体 |
| 英文别名 | RFOX3_HUMAN; RNA binding protein fox-1 homolog 3; RBFOX3; Fox-1 homolog C; Neuronal nuclei antigen(NeuN antigen); FOX3; FOX-3; HRNBP3; |
| 产品应用 | IHC-P=1:100-500, IHC-F=1:100-500, ICC/IF=1:100-500, IF=1:100-500, Flow-Cyt=1ug/test Not yet tested in other applications. |
| 交叉反应 | Human, Rat (Mouse, Horse, Sheep, Bee, Cow) |
| 抗体来源 | Rabbit |
| 免疫原 | KLH conjugated synthetic peptide derived from human FOX3 |
| 亚型 | IgG |
| 性状 | Liquid |
| 纯化方法 | affinity purified by Protein A |
| 克隆类型 | Polyclonal |
| 理论分子量 | 34 kDa |
| 浓度 | 1mg/ml |
| 储存液 | 0.01M TBS (pH7.4) with 1% BSA, 0.02% Proclin300 and 50% Glycerol. |
| 研究领域 | Epigenetics and Nuclear Signaling > Transcription > Domain Families > Forkhead Box > Other FOXes Epigenetics and Nuclear Signaling > Transcription > Transcription Factors Neuroscience > Cell Type Marker > Neuron marker > Soma marker Signal Transduction > Antibodies > neun Tags & Cell Markers > Cell Type Markers > Neuroscience Markers > Neuronal |
| 亚细胞定位 | Nucleus. Cytoplasm. |
| 组织特异性 | Expressed in activated, but not resting, CD4+ T-cells and activated monocytes. |
| 相似性 | Contains 1 RRM (RNA recognition motif) domain. |
| 功能 | RNA-binding protein that regulates alternative splicing events. |
| 保存条件 | Shipped at 4℃. Store at -20℃ for one year. Avoid repeated freeze/thaw cycles. |
| 注意事项 | This product as supplied is intended for research use only, not for use in human, therapeutic or diagnostic applications. |
| 背景资料 | This gene encodes a member of the RNA-binding FOX protein family which is involved in the regulation of alternative splicing of pre-mRNA. The protein has an N-terminal proline-rich region, an RNA recognition motif (RRM) domain, and a C-terminal alanine-rich region. This gene produces the neuronal nuclei (NeuN) antigen that has been widely used as a marker for post-mitotic neurons. This gene has its highest expression in the central nervous system and plays a prominent role in neural tissue development and regulation of adult brain function. Mutations in this gene have been associated with numerous neurological disorders. Alternative splicing of this gene results in multiple transcript variants encoding distinct isoforms. [provided by RefSeq, May 2017] |
| 应用 | 推荐稀释比例 |
| {IHC-P} | {1:100-500} |
| {IHC-F} | {1:100-500} |
| {ICC/IF} | {1:100-500} |
| {IF} | {1:100-500} |
| {Flow-Cyt} | {1ug/test} |


Primary Antibody (green line): Rabbit Anti-NeuN antibody (bs-10394R)
Dilution: 1μg /10^6 cells;
Isotype Control Antibody (orange line): Rabbit IgG .
Secondary Antibody : Goat anti-rabbit IgG-PE
Dilution: 1μg /test.
Protocol
The cells were fixed with 4% PFA (10min at room temperature)and then permeabilized with 20% PBST for 20 min at-20℃. The cells were then incubated in 5%BSA to block non-specific protein-protein interactions for 30 min at at room temperature .Cells stained with Primary Antibody for 30 min at room temperature. The secondary antibody used for 40 min at room temperature. Acquisition of 20,000 events was performed.

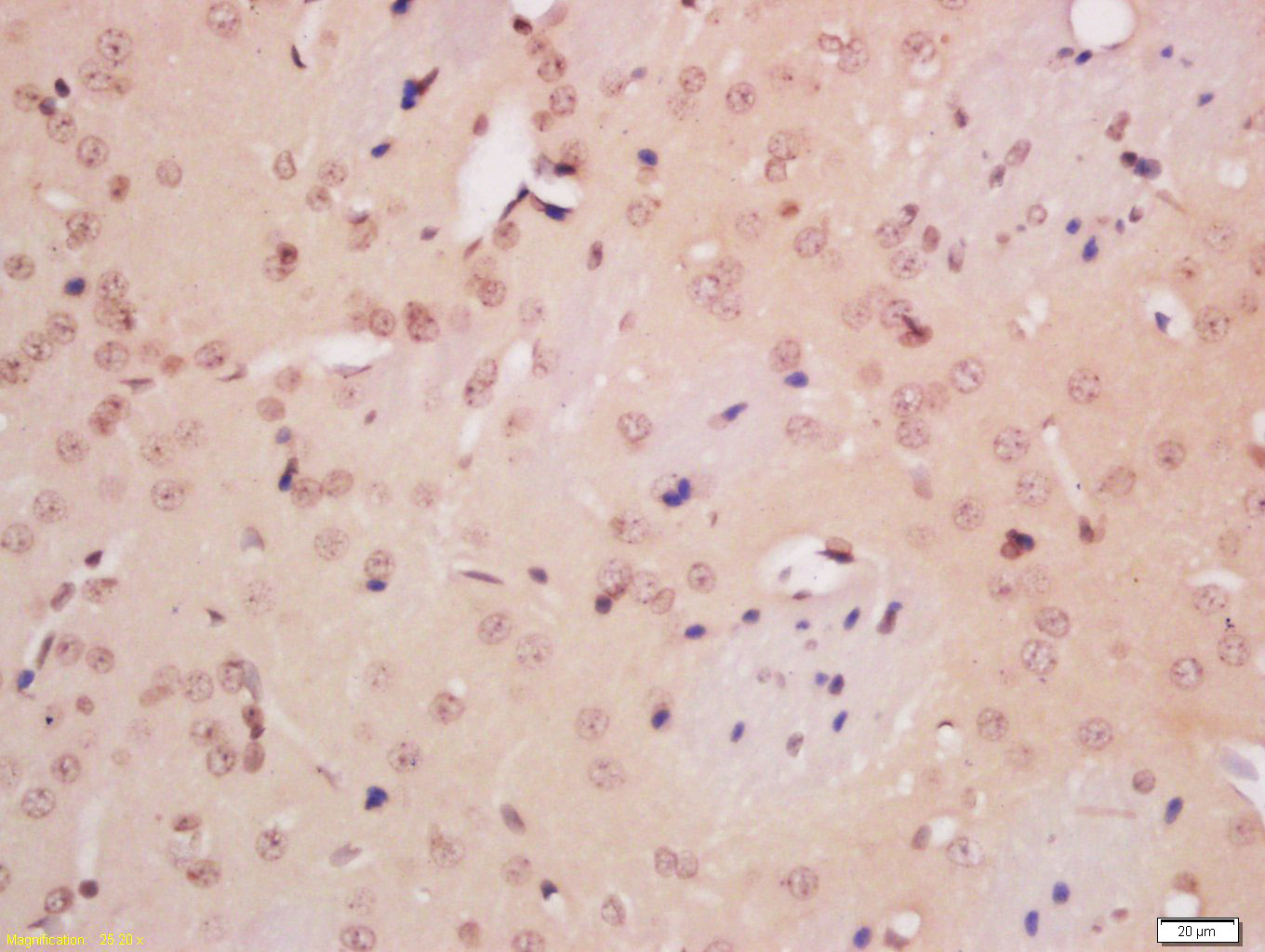
Antigen retrieval: citrate buffer ( 0.01M, pH 6.0 ), Boiling bathing for 15min; Block endogenous peroxidase by 3% Hydrogen peroxide for 30min; Blocking buffer (normal goat serum,C-0005) at 37℃ for 20 min;
Incubation: Anti-NeuN/FOX3 Polyclonal Antibody, Unconjugated(bs-10394R) 1:200, overnight at 4°C, followed by conjugation to the secondary antibody(SP-0023) and DAB(C-0010) staining

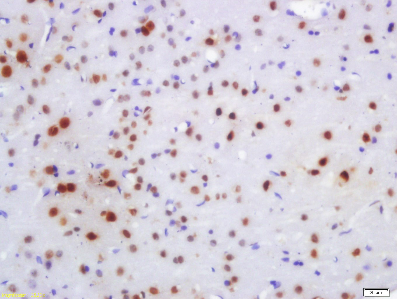
Antigen retrieval: citrate buffer ( 0.01M, pH 6.0 ), Boiling bathing for 15min; Block endogenous peroxidase by 3% Hydrogen peroxide for 30min; Blocking buffer (normal goat serum,C-0005) at 37℃ for 20 min;
Incubation: Anti-NeuN/FOX3 Polyclonal Antibody, Unconjugated(bs-10394R) 1:200, overnight at 4°C, followed by conjugation to the secondary antibody(SP-0023) and DAB(C-0010) staining
风险提示:丁香通仅作为第三方平台,为商家信息发布提供平台空间。用户咨询产品时请注意保护个人信息及财产安全,合理判断,谨慎选购商品,商家和用户对交易行为负责。对于医疗器械类产品,请先查证核实企业经营资质和医疗器械产品注册证情况。
文献和实验[IF={{ 9.038 }}] {Zhi Li. et al. Long-term exposure to 2-amino-3-methylimidazo[4,5-f]quinoline can trigger a potential risk of Parkinson's disease. J Hazard Mater. 2021 Jun;412:125230} {IF} {Zebrafish}
[IF={{ 6.291 }}] {Hongmei Zhou. et al. Downregulation of beclin 1 restores arsenite-induced impaired autophagic flux by improving the lysosomal function in the brain. Ecotox Environ Safe. 2022 Jan;229:113066} {IF} {Mouse}
[IF={{ 6.208 }}] {Jia Wang. et al. FOXG1 Contributes Adult Hippocampal Neurogenesis in Mice. INT J MOL SCI. 2022 Jan;23(23):14979} {IHC,IF} {Mouse}
[IF={{ 4.831 }}] {Haoqiang Zhang. et al. Liraglutide improved the cognitive function of diabetic mice via the receptor of advanced glycation end products down-regulation.. Aging-Us. 2021 Jan 15; 13(1): 525–536} {IF} {Fish}
[IF={{ 4.652 }}] {Zhang et al. The Neuroprotective Effect of Puerarin in Acute Spinal Cord Injury Rats. (2016) Cell.Physiol.Bioche. 39:1152-64} {IHC} {Rat}
= NAL), appears to form upon oxidative cyclization of the nonfluorescent 2:1 lysine-HNE Michael adduct-Schiff base cross-link (Scheme 1). Polyclonal antibody (PAb) to the NAL-HNE fluorophore was raised in rabbit and found to be highly specific
GE Healthcare Benzamidine Sepharose™ 6B is p-aminobenzamidine covalently attached to Sepharose 6B by the epoxy coupling method. p-Aminobenzamidine (PAB), is a synthetic inhibitor of trypsin-like serine protease. Trypsin and trypsin
Nucleic Acid Programmable Protein Arrays: Versatile Tools for Array‐Based Functional Protein Studies
.g., Sigma) 50 mg/ml bis‐sulfosuccinimdylsuberate (BS3 ;Pierce, cat. no. PI 21580) in dimethylsulfoxide (DMSO) 5 mg/ml
技术资料暂无技术资料 索取技术资料






