相关产品推荐更多 >

SOX9 Rabbit pAb, BF680 conjugated(bs-10725R-BF680)-100ul
¥2980
GLP-2 Rabbit pAb, PE-Cy7 conjugated(bs-0208R-PE-Cy7)-100ul
¥2980
phospho-BRCA1 (Ser1466) Rabbit pAb, Biotin conjugated(bs-12887R-Bio)-100ul
¥2980
phospho-IKB alpha (Ser32) Rabbit pAb, APC-Cy7 conjugated(bs-18128R-APC-Cy7)-100ul
¥2980
Tenascin X Recombinant Rabbit mAb(bsm-60611R)-50ul/100ul/25ul
¥800
万千商家帮你免费找货
0 人在求购买到急需产品
- 详细信息
- 技术资料
- 应用范围:
产品信息以Bioss网站为准
- 规格:
50ul/100ul/200ul
| 规格: | 50ul | 产品价格: | ¥1180.0 |
|---|---|---|---|
| 规格: | 100ul | 产品价格: | ¥1980.0 |
| 规格: | 200ul | 产品价格: | ¥2800.0 |
| 产品编号 | bs-8162R |
| 英文名称 | CHD3 Rabbit pAb |
| 中文名称 | ATP依赖的解旋酶CHD3抗体 |
| 英文别名 | CHD3_HUMAN; Chromodomain-helicase-DNA-binding protein 3; EC:3.6.4.12; CHD-3; ATP-dependent helicase CHD3; Mi-2 autoantigen 240 kDa protein; Mi2-alpha; Zinc finger helicase(hZFH); |
| 产品应用 | IHC-P=1:100-500, IHC-F=1:100-500, IF=1:100-500 Not yet tested in other applications. |
| 交叉反应 | Rat (Human, Mouse, Pig, Cow, Rabbit, Sheep) |
| 抗体来源 | Rabbit |
| 免疫原 | KLH conjugated synthetic peptide derived from human CHD3 |
| 亚型 | IgG |
| 性状 | Liquid |
| 纯化方法 | affinity purified by Protein A |
| 克隆类型 | Polyclonal |
| 理论分子量 | 226 kDa |
| 浓度 | 1mg/ml |
| 储存液 | 0.01M TBS (pH7.4) with 1% BSA, 0.02% Proclin300 and 50% Glycerol. |
| 研究领域 | Epigenetics and Nuclear Signaling > Chromatin Remodeling > Mi-2 Epigenetics and Nuclear Signaling > Transcription > Other factors Immunology > Immune System Diseases > Autoimmune |
| 亚基 | Central component of the nucleosome remodeling andhistone deacetylase (NuRD) repressive complex. Interacts withTRIM28 and SERBP1. Interacts (via its C-terminal) with HABP4.Interacts with PCNT; the interaction regulates centrosomeintegrity. |
| 亚细胞定位 | Nucleus. Cytoplasm > cytoskeleton > centrosome. Associates with centrosomes in interphase and mitosis. |
| 组织特异性 | Widely expressed. |
| 相似性 | Belongs to the SNF2/RAD54 helicase family. Contains 2 chromo domains. Contains 1 helicase ATP-binding domain. Contains 1 helicase C-terminal domain. Contains 2 PHD-type zinc fingers. |
| 功能 | Component of the histone deacetylase NuRD complex which participates in the remodeling of chromatin by deacetylating histones. Required for anchoring centrosomal pericentrin in both interphase and mitosis, for spindle organization and centrosome integrity. |
| 保存条件 | Shipped at 4℃. Store at -20℃ for one year. Avoid repeated freeze/thaw cycles. |
| 注意事项 | This product as supplied is intended for research use only, not for use in human, therapeutic or diagnostic applications. |
| 背景资料 | In the intact cell, DNA closely associates with histones and other nuclear proteins to form chromatin. The remodeling of chromatin is believed to be a critical component of transcriptional regulation and a major source of this remodeling is brought about by the acetylation of nucleosomal histones. Acetylation of lysine residues in the amino terminal tail domain of histone results in an allosteric change in the nucleosomal conformation and an increased accessiblity to transcription factors by DNA. Conversely, the deacetylation of histones is associated with transcriptional silencing. Chromatin structure alteration may be brought about by the action of ATP-dependent multiprotein complexes. One such complex is the mSin3 corepressor complex, which contains mSin3, the histone deacetylases HDAC1 and HDAC2, the associated proteins SAP 30 and SAP 18, and the autoantigens Mi2-a and Mi2-b. |
| 应用 | 推荐稀释比例 |
| {IHC-P} | {1:100-500} |
| {IHC-F} | {1:100-500} |
| {IF} | {1:100-500} |

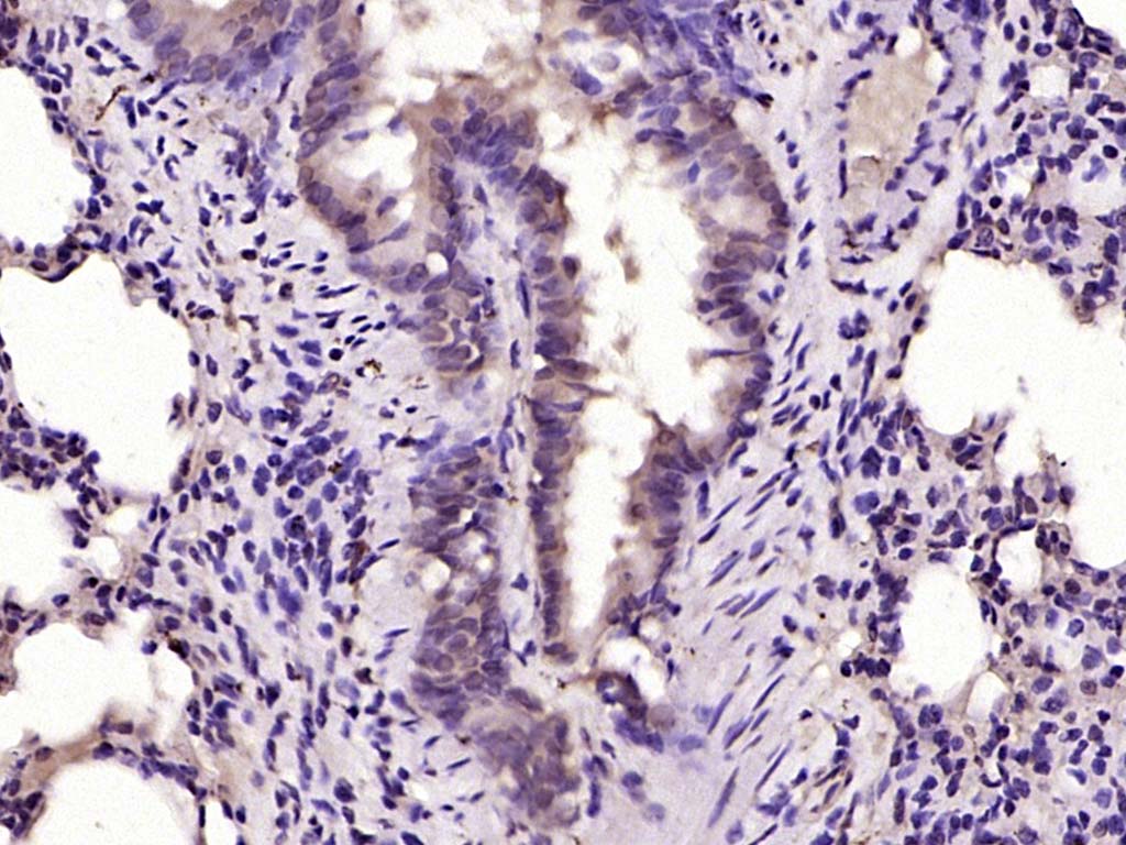
Paraformaldehyde-fixed, paraffin embedded (rat lung); Antigen retrieval by boiling in sodium citrate buffer (pH6.0) for 15min; Block endogenous peroxidase by 3% hydrogen peroxide for 20 minutes; Blocking buffer (normal goat serum) at 37°C for 30min; Antibody incubation with (CHD3) Polyclonal Antibody, Unconjugated (bs-8162R) at 1:200 overnight at 4°C, followed by operating according to SP Kit(Rabbit) (sp-0023) instructionsand DAB staining.
风险提示:丁香通仅作为第三方平台,为商家信息发布提供平台空间。用户咨询产品时请注意保护个人信息及财产安全,合理判断,谨慎选购商品,商家和用户对交易行为负责。对于医疗器械类产品,请先查证核实企业经营资质和医疗器械产品注册证情况。
技术资料暂无技术资料 索取技术资料
CHD3 Rabbit pAb(bs-8162R)-50ul/100ul/200ul
¥1180 - 2800





