相关产品推荐更多 >

SIRT5 Rabbit pAb, PE-Cy7 conjugated(bs-9456R-PE-Cy7)-100ul
¥2980
TBX2 Rabbit pAb, FITC conjugated(bs-0507R-FITC)-100ul
¥2980
TYROBP Rabbit pAb(bs-12630R)-50ul/100ul/200ul
¥1180
NUP214 Rabbit pAb, PE-Cy5 conjugated(bs-19544R-PE-Cy5)-100ul
¥2980
Amyloid Precursor Protein Rabbit pAb, APC-Cy5.5 conjugated(bs-0112R-APC-Cy5.5)-100ul
¥2980
万千商家帮你免费找货
0 人在求购买到急需产品
- 详细信息
- 文献和实验
- 技术资料
- 应用范围:
产品信息以Bioss网站为准
- 规格:
50ul/100ul/200ul
| 规格: | 50ul | 产品价格: | ¥1180.0 |
|---|---|---|---|
| 规格: | 100ul | 产品价格: | ¥1980.0 |
| 规格: | 200ul | 产品价格: | ¥2800.0 |
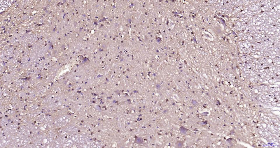
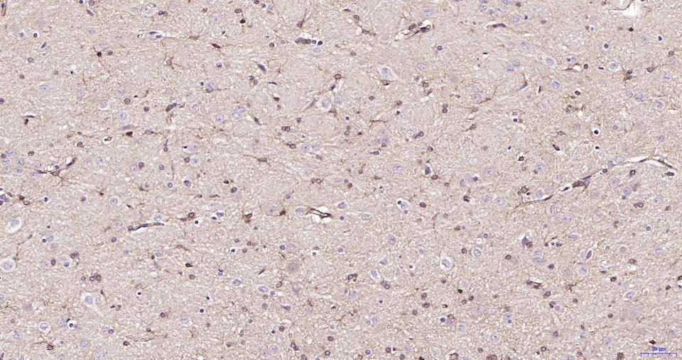
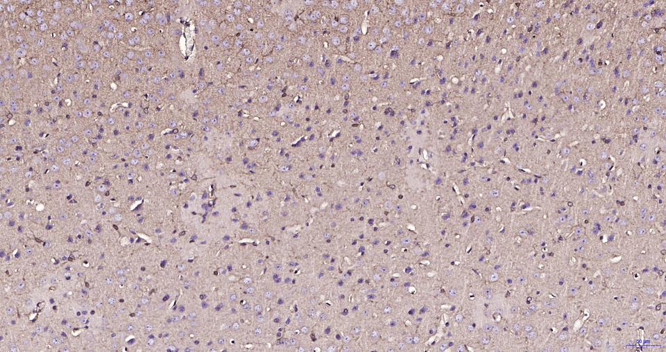
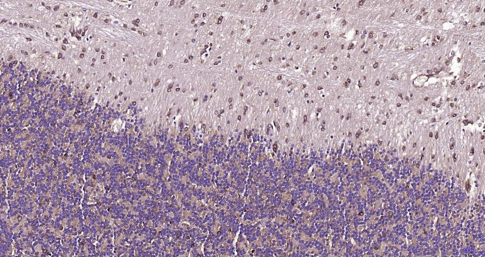
| 产品编号 | bs-4989R |
| 英文名称 | BDNF Rabbit pAb |
| 中文名称 | 脑源神经营养因子抗体 |
| 英文别名 | Abrineurin; BDNF; BDNF; BDNF_HUMAN; Brain Derived Neurotrophic Factor; Brain-derived neurotrophic factor; MGC34632; MGC34632; Neurotrophin. |
| 产品应用 | WB=1:500-2000, IHC-P=1:50-200, IHC-F=1:50-200, IF=1:50-200 Not yet tested in other applications. |
| 交叉反应 | Human, Mouse, Rat |
| 抗体来源 | Rabbit |
| 免疫原 | KLH conjugated synthetic peptide derived from human BDNF |
| 亚型 | IgG |
| 性状 | Liquid |
| 纯化方法 | affinity purified by Protein A |
| 克隆类型 | Polyclonal |
| 理论分子量 | 13/27 kDa |
| 浓度 | 1mg/ml |
| 储存液 | 0.01M TBS (pH7.4) with 1% BSA, 0.02% Proclin300 and 50% Glycerol. |
| 研究领域 | Cardiovascular > Atherosclerosis > Diabetes associated Cardiovascular > Atherosclerosis > Thrombosis Metabolism > Types of disease > Diabetes Metabolism > Types of disease > Obesity Neuroscience > Neurology process > Growth and Development > Neurotrophins Neuroscience > Neurology process > Neurodegenerative disease > Alzheimer's disease Neuroscience > Neurology process > Neurodegenerative disease > Huntington's disease Signal Transduction > Antibodies > bdnf |
| 亚基 | Monomers and homodimers. Binds to NTRK2/TRKB. |
| 亚细胞定位 | Secreted. |
| 组织特异性 | Brain. Highly expressed in hippocampus, amygdala, cerebral cortex and cerebellum. Also expressed in heart, lung, skeletal muscle, testis, prostate and placenta. |
| 翻译后修饰 | The propeptide is N-glycosylated and glycosulfated. |
| 相似性 | Belongs to the NGF-beta family. |
| 功能 | During development, promotes the survival and differentiation of selected neuronal populations of the peripheral and central nervous systems. Participates in axonal growth, pathfinding and in the modulation of dendritic growth and morphology. Major regulator of synaptic transmission and plasticity at adult synapses in many regions of the CNS. The versatility of BDNF is emphasized by its contribution to a range of adaptive neuronal responses including long-term potentiation (LTP), long-term depression (LTD), certain forms of short-term synaptic plasticity, as well as homeostatic regulation of intrinsic neuronal excitability. |
| 保存条件 | Shipped at 4℃. Store at -20℃ for one year. Avoid repeated freeze/thaw cycles. |
| 注意事项 | This product as supplied is intended for research use only, not for use in human, therapeutic or diagnostic applications. |
| 背景资料 | Neurotrophins function to regulate naturally occurring cell death of neurons during development. The prototype neurotrophin is nerve growth factor (NGF), originally discovered in the 1950s as a soluble peptide promoting the survival of, and neurite outgrowth from, sympathetic ganglia. More recently, three additional structurally homologous neurotrophic factors have been identified. These include brain-derived neurotrophic factor (BDNF), neurotrophin-3 (NT-3) and neurotrophin-4 (NT-4), also designated NT-5. These various neurotrophins stimulate the in vitro survival of distinct but partially overlapping populations of neurons. The Trk A receptor is the preferential receptor for NGF, but also binds NT-3 and NT-4. The Trk B receptor binds equally well to both BDNF and NT-4 and to a lesser extent NT-3, while the Trk C receptor only binds NT-3. BDNF promotes the survival of neuronal populations that are all located either in the central nervous system or directly connected to it. Belongs to the NGF-beta family. |
| 应用 | 推荐稀释比例 |
| {WB} | {1:500-2000} |
| {IHC-P} | {1:50-200} |
| {IHC-F} | {1:50-200} |
| {IF} | {1:50-200} |







风险提示:丁香通仅作为第三方平台,为商家信息发布提供平台空间。用户咨询产品时请注意保护个人信息及财产安全,合理判断,谨慎选购商品,商家和用户对交易行为负责。对于医疗器械类产品,请先查证核实企业经营资质和医疗器械产品注册证情况。
文献和实验[IF={{ 9.584 }}] {Liu Sumei. et al. Suppression of TGFβR-Smad3 pathway alleviates the syrinx induced by syringomyelia. CELL BIOSCI. 2023 Dec;13(1):1-13} {IF} {Rat}
[IF={{ 7.59 }}] {Yuanxin Zhai. et al. High-efficiency Brain-targeted Intranasal Delivery of BDNF Mediated by Engineered Exosomes to Promote Remyelination. BIOMATER SCI-UK. 2022 Aug;:} {IF} {Mouse}
[IF={{ 7 }}] {Pallavi Gurung. et al. Euonymus alatus Leaf Extract Attenuates Effects of Aging on Oxidative Stress, Neuroinflammation, and Cognitive Impairment. ANTIOXIDANTS-BASEL. 2024 Apr;13(4):433} {WB} {Mouse,Human,Rat}
[IF={{ 6.706 }}] {Pallavi Gurung. et al. Euonymus alatus Twig Extract Protects against Scopolamine-Induced Changes in Brain and Brain-Derived Cells via Cholinergic and BDNF Pathways. NUTRIENTS. 2023 Jan;15(1):128} {WB} {Mouse, Rat}
[IF={{ 6.208 }}] {Sheng-Hua Wu. et al. Spinal Irisin Gene Delivery Attenuates Burn Injury-Induced Muscle Atrophy by Promoting Axonal Myelination and Innervation of Neuromuscular Junctions. INT J MOL SCI. 2022 Jan;23(24):15899} {IF} {Rat}
= NAL), appears to form upon oxidative cyclization of the nonfluorescent 2:1 lysine-HNE Michael adduct-Schiff base cross-link (Scheme 1). Polyclonal antibody (PAb) to the NAL-HNE fluorophore was raised in rabbit and found to be highly specific
基因-2(BCL-2) ELISA 48T/96T 1500/2500 进口分装 F0017 脑衍化神经营养因子(BDNF) ELISA 48T/96T 1800/2800 进口分装 F0018 骨成型蛋白-2(BMP-2) ELISA 48T/96T 2000/3000 进口分装 F0019 骨成型蛋白-4(BMP-4) ELISA 48T/96T 2000/3000 进口分装 F0020 骨成型蛋白-7(BMP-7) ELISA 48T
基因-2(BCL-2) ELISA 48T/96T 1500/2500 进口分装 F0017 脑衍化神经营养因子(BDNF) ELISA 48T/96T 1800/2800 进口分装 F0018 骨成型蛋白-2(BMP-2) ELISA 48T/96T 2000/3000 进口分装 F0019 骨成型蛋白-4(BMP-4) ELISA 48T/96T 2000/3000 进口分装 F0020 骨成型蛋白-7(BMP-7) ELISA 48T
技术资料暂无技术资料 索取技术资料






