相关产品推荐更多 >

HSD17B6 Rabbit pAb, PerCP-Cy5.5 conjugated(bs-6592R-PerCP-Cy5.5)-100ul
¥2980
Wnt3a Rabbit pAb, AP conjugated(bs-23278R-AP)-100ul
¥2980
A4GALT Rabbit pAb, BF680 conjugated(bs-7588R-BF680)-100ul
¥2980
NDUFB5 Rabbit pAb, Biotin conjugated(bs-19084R-Bio)-100ul
¥2980
Anti-human PVRIG (COM701 Biosimilar)(BIO0253SM)-1mg/5mg/20mg
¥3200
万千商家帮你免费找货
0 人在求购买到急需产品
- 详细信息
- 技术资料
- 应用范围:
产品信息以Bioss网站为准
- 规格:
50ul/100ul/200ul
| 规格: | 50ul | 产品价格: | ¥1180.0 |
|---|---|---|---|
| 规格: | 100ul | 产品价格: | ¥1980.0 |
| 规格: | 200ul | 产品价格: | ¥2800.0 |
| 产品编号 | bs-20549R |
| 英文名称 | ANKRD54 Rabbit pAb |
| 中文名称 | 锚蛋白重复域54抗体 |
| 英文别名 | Ankrd54; ankyrin repeat domain 54; ankyrin repeat domain 54; Ankyrin repeat domain-containing protein 54; ANR54_HUMAN; LIAR. |
| 产品应用 | IHC-P=1:100-500, IHC-F=1:100-500, IF=1:100-500 Not yet tested in other applications. |
| 交叉反应 | Human, Mouse, Rat |
| 抗体来源 | Rabbit |
| 免疫原 | KLH conjugated synthetic peptide derived from human ANKRD54 |
| 亚型 | IgG |
| 性状 | Liquid |
| 纯化方法 | affinity purified by Protein A |
| 克隆类型 | Polyclonal |
| 理论分子量 | 32 kDa |
| 浓度 | 1mg/ml |
| 储存液 | Preservative: 0.02% Proclin300, Constituents: 1% BSA, 0.01M PBS, pH7.4. |
| 亚基 | Interacts (via ankyrin repeat region) with LYN (via SH3-domain) in an activation-independent status of LYN (By similarity). Forms a multiprotein complex with LYN and HCLS1. Interacts with TSN2, VAV1, DBNL AND LASP1. |
| 亚细胞定位 | Nucleus. Cytoplasm. Midbody. Note=Shuttles between nucleus and cytoplasm during the cell cycle. EPO stimulation induces nuclear accumulation. |
| 相似性 | Contains 8 ANK repeats.
Contains 1 EF-hand domain. |
| 功能 | Plays an important role in regulating intracellular signaling events associated with erythroid terminal differentiation. |
| 保存条件 | Shipped at 4℃. Store at -20℃ for one year. Avoid repeated freeze/thaw cycles. |
| 注意事项 | This product as supplied is intended for research use only, not for use in human, therapeutic or diagnostic applications. |
| 背景资料 | ANKRD5 is a 776 amino acid protein that contains one calcium-binding EF-hand domain and 8 ankyrin repeats. The gene encoding ANKRD5 maps to chromosome 20. Comprising approximately 2% of the human genome, chromosome 20 contains nearly 63 million bases that encode over 600 genes, some of which are associated with Creutzfeldt-Jakob disease, amyotrophic lateral sclerosis, spinal muscular atrophy, ring chromosome 20 epilepsy syndrome and Alagille syndrome. Additionally, chromosome 20 contains a region with numerous genes which are thought important for seminal production and may be potential targets for male contraception. |
| 应用 | 推荐稀释比例 |
| {IHC-P} | {1:100-500} |
| {IHC-F} | {1:100-500} |
| {IF} | {1:100-500} |

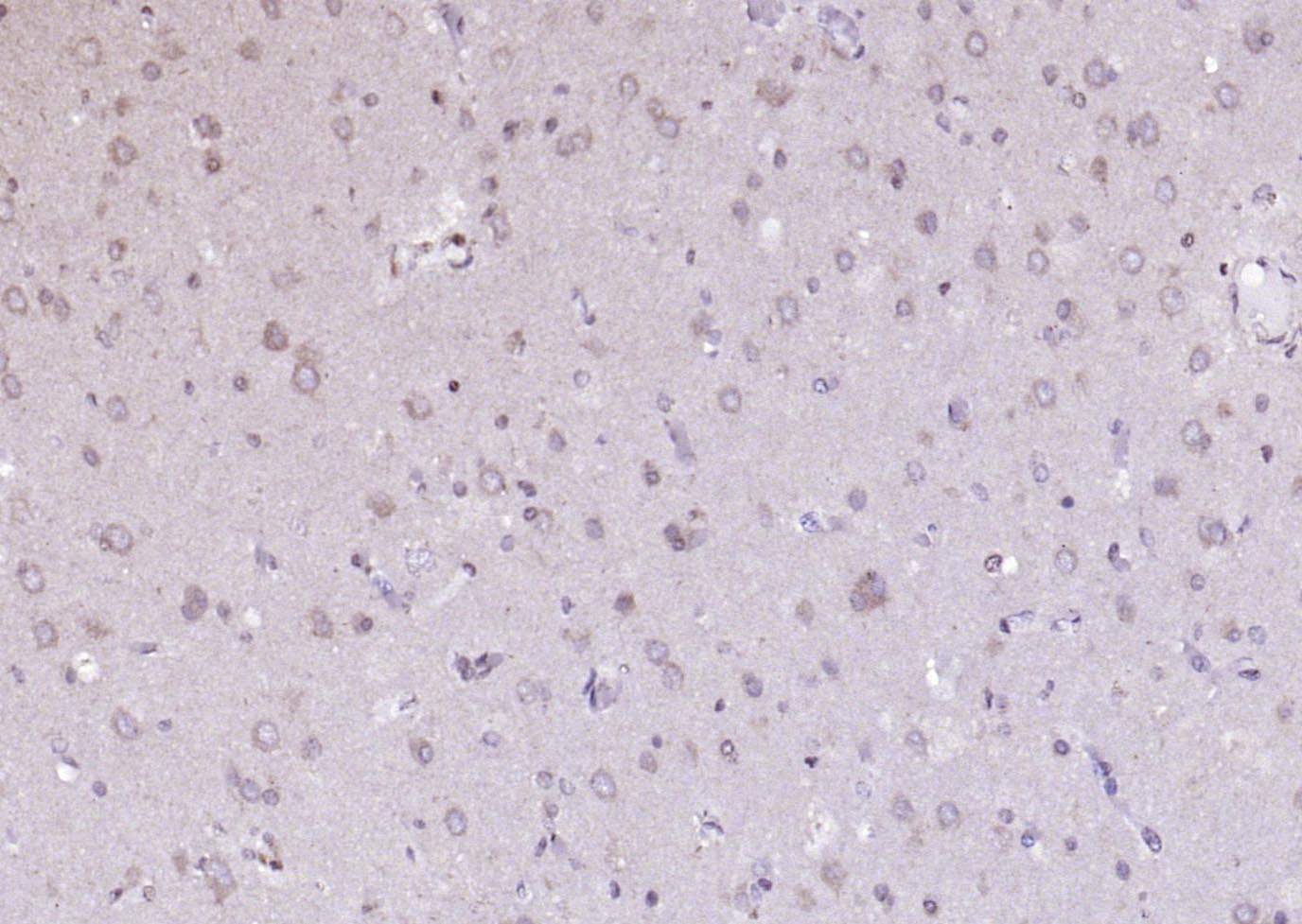
Paraformaldehyde-fixed, paraffin embedded (human brain); Antigen retrieval by boiling in sodium citrate buffer (pH6.0) for 15min; Block endogenous peroxidase by 3% hydrogen peroxide for 20 minutes; Blocking buffer (normal goat serum) at 37°C for 30min; Antibody incubation with (ANKRD54) Polyclonal Antibody, Unconjugated (bs-20549R) at 1:200 overnight at 4°C, followed by operating according to SP Kit(Rabbit) (sp-0023) instructionsand DAB staining.

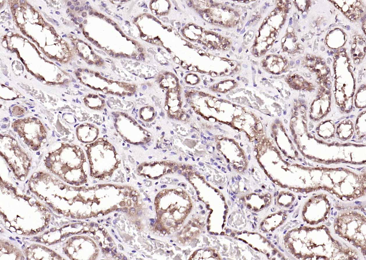
Paraformaldehyde-fixed, paraffin embedded (Human kidney); Antigen retrieval by boiling in sodium citrate buffer (pH6.0) for 15min; Block endogenous peroxidase by 3% hydrogen peroxide for 20 minutes; Blocking buffer (normal goat serum) at 37°C for 30min; Antibody incubation with (ANKRD54) Polyclonal Antibody, Unconjugated (bs-20549R) at 1:200 overnight at 4°C, followed by operating according to SP Kit(Rabbit) (sp-0023) instructionsand DAB staining.

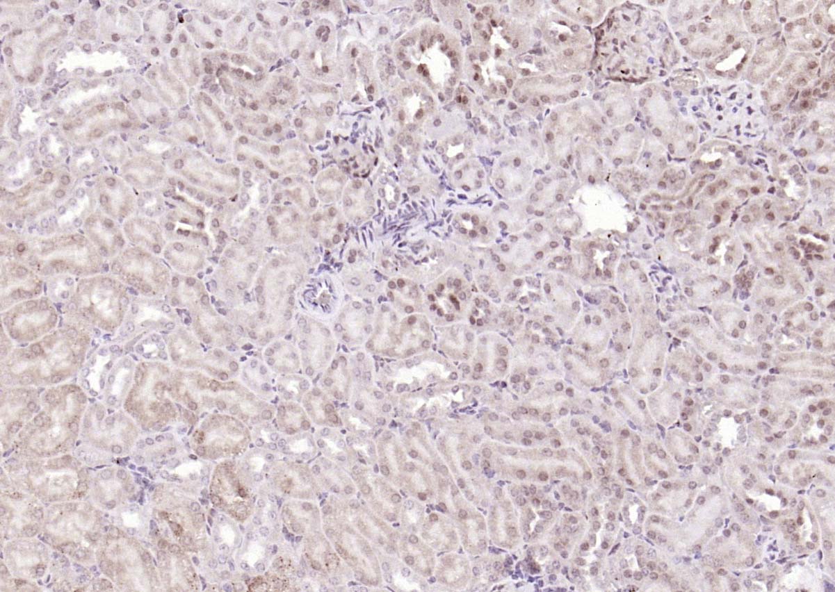
Paraformaldehyde-fixed, paraffin embedded (mouse kidney); Antigen retrieval by boiling in sodium citrate buffer (pH6.0) for 15min; Block endogenous peroxidase by 3% hydrogen peroxide for 20 minutes; Blocking buffer (normal goat serum) at 37°C for 30min; Antibody incubation with (ANKRD54) Polyclonal Antibody, Unconjugated (bs-20549R) at 1:200 overnight at 4°C, followed by operating according to SP Kit(Rabbit) (sp-0023) instructionsand DAB staining.

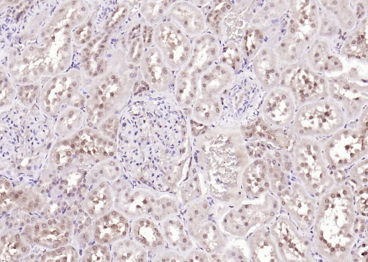
Paraformaldehyde-fixed, paraffin embedded (rat kidney); Antigen retrieval by boiling in sodium citrate buffer (pH6.0) for 15min; Block endogenous peroxidase by 3% hydrogen peroxide for 20 minutes; Blocking buffer (normal goat serum) at 37°C for 30min; Antibody incubation with (ANKRD54) Polyclonal Antibody, Unconjugated (bs-20549R) at 1:200 overnight at 4°C, followed by operating according to SP Kit(Rabbit) (sp-0023) instructionsand DAB staining.
风险提示:丁香通仅作为第三方平台,为商家信息发布提供平台空间。用户咨询产品时请注意保护个人信息及财产安全,合理判断,谨慎选购商品,商家和用户对交易行为负责。对于医疗器械类产品,请先查证核实企业经营资质和医疗器械产品注册证情况。
技术资料暂无技术资料 索取技术资料
ANKRD54 Rabbit pAb(bs-20549R)-50ul/100ul/200ul
¥1180 - 2800





