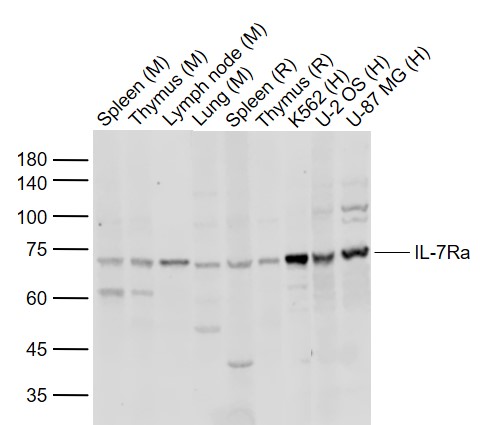
Sample:
Lane 1: Mouse Spleen tissue lysates
Lane 2: Mouse Thymus tissue lysates
Lane 3: Mouse Lymph node tissue lysates
Lane 4: Mouse Lung tissue lysates
Lane 5: Rat Spleen tissue lysates
Lane 6: Rat Thymus tissue lysates
Lane 7: Human K562 cell lysates
Lane 8: Human U-2 OS cell lysates
Lane 9: Human U-87 MG cell lysates
Primary: Anti-IL-7Ra (bs-24840R) at 1/1000 dilution
Secondary: IRDye800CW Goat Anti-Rabbit IgG at 1/20000 dilution
Predicted band size: 50 kD
Observed band size: 70 kD
相关产品推荐更多 >

phospho-HER2 (Tyr1221) Rabbit pAb, APC-Cy5.5 conjugated(bs-13090R-APC-Cy5.5)-100ul
¥2980
FAM46C Rabbit pAb(bs-8198R)-50ul/100ul/200ul
¥1180
Frizzled 2 Rabbit pAb, AP conjugated(bs-6623R-AP)-100ul
¥2980
HCP5 Rabbit pAb(bs-15429R)-50ul/100ul/200ul
¥1180
Aldolase A Rabbit pAb, PE conjugated(bs-2406R-PE)-100ul
¥2980
万千商家帮你免费找货
0 人在求购买到急需产品
- 详细信息
- 文献和实验
- 技术资料
- 应用范围:
产品信息以Bioss网站为准
- 规格:
50ul/100ul/200ul
| 规格: | 50ul | 产品价格: | ¥1180.0 |
|---|---|---|---|
| 规格: | 100ul | 产品价格: | ¥1980.0 |
| 规格: | 200ul | 产品价格: | ¥2800.0 |
| 产品编号 | bs-24840R |
| 英文名称 | IL7R Rabbit pAb |
| 中文名称 | 白细胞介素-7受体a(CD127)抗体 |
| 英文别名 | IL-7Rα; IL-7Ra; Interleukin-7 receptor subunit alpha; CD 127; CD127; CD127 antigen; CDW127; IL 7R alpha; IL 7R; IL-7 receptor subunit alpha; IL-7R subunit alpha; IL-7R-alpha; IL7RA; IL7Ralpha; ILRA; Interleukin 7 receptor alpha chain; Interleukin 7 receptor; Interleukin 7 receptor isoform H5 6; IL7RA_HUMAN. |
| 产品应用 | WB=1:500-2000 Not yet tested in other applications. |
| 交叉反应 | Human, Mouse, Rat (Dog, Pig, Cow, Horse, Sheep) |
| 抗体来源 | Rabbit |
| 免疫原 | KLH conjugated synthetic peptide derived from human IL-7Ra |
| 亚型 | IgG |
| 性状 | Liquid |
| 纯化方法 | affinity purified by Protein A |
| 克隆类型 | Polyclonal |
| 理论分子量 | 50 kDa |
| 浓度 | 1mg/ml |
| 储存液 | 0.01M TBS (pH7.4) with 1% BSA, 0.02% Proclin300 and 50% Glycerol. |
| 研究领域 | Immunology > Innate Immunity > Cytokines > Interleukins Stem Cells > Hematopoietic Progenitors > Lymphoid > B Lymphocytic Lineage Stem Cells > Hematopoietic Progenitors > Lymphoid > T Lymphocytic Lineage Stem Cells > Hematopoietic Progenitors > Myeloid > Monocytic Lineage |
| 亚基 | The IL7 receptor is an heterodimer of IL7R and IL2RG. The TSLP receptor is an heterodimer of CRLF2 and IL7R. |
| 亚细胞定位 | Secreted and Cell membrane. |
| 翻译后修饰 | N-glycosylated IL-7Ralpha binds IL7 300-fold more tightly than the unglycosylated form. |
| 相似性 | Belongs to the type I cytokine receptor family. Type 4 subfamily. Contains 1 fibronectin type-III domain. |
| 功能 | Receptor for interleukin-7. Also acts as a receptor for thymic stromal lymphopoietin (TSLP). |
| 保存条件 | Shipped at 4℃. Store at -20℃ for one year. Avoid repeated freeze/thaw cycles. |
| 注意事项 | This product as supplied is intended for research use only, not for use in human, therapeutic or diagnostic applications. |
| 背景资料 | The protein encoded by this gene is a receptor for interleukine 7 (IL7). The function of this receptor requires the interleukin 2 receptor, gamma chain (IL2RG), which is a common gamma chain shared by the receptors of various cytokines, including interleukine 2, 4, 7, 9, and 15. This protein has been shown to play a critical role in the V(D)J recombination during lymphocyte development. This protein is also found to control the accessibility of the TCR gamma locus by STAT5 and histone acetylation. Knockout studies in mice suggested that blocking apoptosis is an essential function of this protein during differentiation and activation of T lymphocytes. The functional defects in this protein may be associated with the pathogenesis of the severe combined immunodeficiency (SCID). |
| 应用 | 推荐稀释比例 |
| {WB} | {1:500-2000} |

风险提示:丁香通仅作为第三方平台,为商家信息发布提供平台空间。用户咨询产品时请注意保护个人信息及财产安全,合理判断,谨慎选购商品,商家和用户对交易行为负责。对于医疗器械类产品,请先查证核实企业经营资质和医疗器械产品注册证情况。
文献和实验该产品被引用文献
[IF={{ 1.3 }}] {Wenwen Zhu. et al.Analyzing gene-based apoptotic biomarkers in insomnia using bioinformatics.MEDICINE.2025 Jan 17;104(3):e40965.} {Western blot} {}
技术资料暂无技术资料 索取技术资料
文献支持
IL7R Rabbit pAb(bs-24840R)-50ul/100ul/200ul
¥1180 - 2800





