相关产品推荐更多 >

phospho-c-Kit (Tyr568 + Tyr570) Rabbit pAb, BF555 conjugated(bs-12916R-BF555)-100ul
¥2980
phospho-c-Kit (Tyr730) Rabbit pAb, PerCP conjugated(bs-12914R-PerCP)-100ul
¥2980
Adenosine deaminase Rabbit pAb, AP conjugated(bs-6654R-AP)-100ul
¥2980
Beta catenin Rabbit pAb, PerCP-Cy5.5 conjugated(bs-1165R-PerCP-Cy5.5)-100ul
¥2980
TTF1/NKX2-1 Rabbit pAb, BF750 conjugated(bs-0826R-BF750)-100ul
¥2980
万千商家帮你免费找货
0 人在求购买到急需产品
- 详细信息
- 技术资料
- 应用范围:
产品信息以Bioss网站为准
- 规格:
50ul/100ul/200ul/200ug
| 规格: | 50ul | 产品价格: | ¥1180.0 |
|---|---|---|---|
| 规格: | 100ul | 产品价格: | ¥1980.0 |
| 规格: | 200ul | 产品价格: | ¥2800.0 |
| 规格: | 200ug | 产品价格: | ¥5600.0 |
| 产品编号 | bsm-33216M |
| 英文名称 | MEK2 Mouse mAb |
| 中文名称 | 丝裂原活化蛋白激酶激酶2单克隆抗体 |
| 英文别名 | Cardiofaciocutaneous syndrome; CFC syndrome; Dual specificity mitogen activated protein kinase kinase 2; Dual specificity mitogen-activated protein kinase kinase 2; ERK activator kinase 2; FLJ26075; MAP kinase kinase 2; MAP2K 2; map2k2; MAPK/ERK kinase 2; MAPK/ERK kinase 2; MAPKK 2; MAPKK2; MEK 2; MEK2; Microtubule Associated Protein Kinase Kinase 2; Mitogen activated protein kinase kinase 2; Mitogen activated protein kinase kinase 2 p45; MKK 2; MKK2; MP2K2_HUMAN; OTTHUMP00000165826; OTTHUMP00000165827; PRKMK 2; PRKMK2 V. |
| 产品应用 | WB=1:1000-2000, IHC-P=1:200-1000, IHC-F=1:200-1000, IF=1:100-500 Not yet tested in other applications. |
| 交叉反应 | Human, Mouse, Rat |
| 抗体来源 | Mouse |
| 免疫原 | Recombinant human MEK2 Protein |
| 亚型 | IgG |
| 性状 | Liquid |
| 纯化方法 | affinity purified by Protein G |
| 克隆类型 | Monoclonal |
| 理论分子量 | 46 kDa |
| 浓度 | 1mg/ml |
| 储存液 | 0.01M TBS (pH7.4) with 1% BSA, 0.02% Proclin300 and 50% Glycerol. |
| 研究领域 | Cancer > Signal transduction > Protein phosphorylation > Serine/threonine kinases > MAPK pathway Signal Transduction > Protein Phosphorylation > Ser / Thr Kinases > MAPK Pathway Signal Transduction > Protein Phosphorylation > Tyrosine Kinases |
| 亚基 | Interacts with MORG1 (By similarity). Interacts with SGK1. |
| 亚细胞定位 | Cytoplasm, cytoskeleton, centrosome. Cytoplasm, cytoskeleton, spindle pole body. Cytoplasm. Nucleus. Note=Localizes at centrosomes during prometaphase, midzone during anaphase and midbody during telophase/cytokinesis. |
| 组织特异性 | Widely expressed, with extremely low levels in brain. |
| 翻译后修饰 | MAPKK is itself dependent on Ser/Thr phosphorylation for activity catalyzed by MAP kinase kinase kinases (RAF or MEKK1). Phosphorylated by MAP2K1/MEK1.
Acetylation of Ser-222 and Ser-226 by Yersinia yopJ prevents phosphorylation and activation, thus blocking the MAPK signaling pathway. |
| 相似性 | Belongs to the protein kinase superfamily. STE Ser/Thr protein kinase family. MAP kinase kinase subfamily. Contains 1 protein kinase domain. |
| 功能 | Catalyzes the concomitant phosphorylation of a threonine and a tyrosine residue in a Thr-Glu-Tyr sequence located in MAP kinases. Activates the ERK1 and ERK2 MAP kinases. |
| 保存条件 | Shipped at 4℃. Store at -20℃ for one year. Avoid repeated freeze/thaw cycles. |
| 注意事项 | This product as supplied is intended for research use only, not for use in human, therapeutic or diagnostic applications. |
| 背景资料 | The protein encoded by this gene is a dual specificity protein kinase that belongs to the MAP kinase kinase family. This kinase is known to play a critical role in mitogen growth factor signal transduction. It phosphorylates and thus activates MAPK1/ERK2 and MAPK2/ERK3. The activation of this kinase itself is dependent on the Ser/Thr phosphorylation by MAP kinase kinase kinases. Mutations in this gene cause cardiofaciocutaneous syndrome (CFC syndrome), a disease characterized by heart defects, mental retardation, and distinctive facial features similar to those found in Noonan syndrome. The inhibition or degradation of this kinase is also found to be involved in the pathogenesis of Yersinia and anthrax. A pseudogene, which is located on chromosome 7, has been identified for this gene. [provided by RefSeq, Jul 2008]. |
| 应用 | 推荐稀释比例 |
| {WB} | {1:1000-2000} |
| {IHC-P} | {1:200-1000} |
| {IHC-F} | {1:200-1000} |
| {IF} | {1:100-500} |

Paraformaldehyde-fixed, paraffin embedded (human skin cancer); Antigen retrieval by boiling in sodium citrate buffer (pH6.0) for 15min; Block endogenous peroxidase by 3% hydrogen peroxide for 20 minutes; Blocking buffer (normal goat serum) at 37°C for 30min; Antibody incubation with (MEK2) Monoclonal Antibody, Unconjugated (ascites of bsm-33216M 4C3) at 1:2000 overnight at 4°C, followed by operating according to SP Kit(Mouse) (sp-0024) instructions and DAB staining.

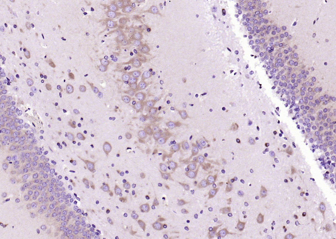
Paraformaldehyde-fixed, paraffin embedded (rat brain); Antigen retrieval by boiling in sodium citrate buffer (pH6.0) for 15min; Block endogenous peroxidase by 3% hydrogen peroxide for 20 minutes; Blocking buffer (normal goat serum) at 37°C for 30min; Antibody incubation with (MEK2) Monoclonal Antibody, Unconjugated (ascites of bsm-33216M 4C3) at 1:2000 overnight at 4°C, followed by operating according to SP Kit(Mouse) (sp-0024) instructions and DAB staining.

Paraformaldehyde-fixed, paraffin embedded (human colon carcinoma); Antigen retrieval by boiling in sodium citrate buffer (pH6.0) for 15min; Block endogenous peroxidase by 3% hydrogen peroxide for 20 minutes; Blocking buffer (normal goat serum) at 37°C for 30min; Antibody incubation with (MEK2) Monoclonal Antibody, Unconjugated (ascites of bsm-33216M 4C3) at 1:2000 overnight at 4°C, followed by operating according to SP Kit(Mouse) (sp-0024) instructions and DAB staining.

Sample: HepG2 Cell (Human) Lysate at 40 ug
Primary: Anti-MEK2 (bsm-33216M) at 1/2 000 dilution
Secondary: IRDye800CW Goat Anti-Mouse IgG at 1/20000 dilution
Predicted band size: 46 kD
Observed band size: 48 kD
Primary: Anti-MEK2 (bsm-33216M) at 1/2 000 dilution
Secondary: IRDye800CW Goat Anti-Mouse IgG at 1/20000 dilution
Predicted band size: 46 kD
Observed band size: 48 kD

Paraformaldehyde-fixed, paraffin embedded (Mouse brain); Antigen retrieval by boiling in sodium citrate buffer (pH6.0) for 15min; Block endogenous peroxidase by 3% hydrogen peroxide for 20 minutes; Blocking buffer (normal goat serum) at 37°C for 30min; Antibody incubation with (MEK2) Monoclonal Antibody, Unconjugated (bsm-33216M-4C3) at 1:400 overnight at 4°C, followed by a conjugated secondary (sp-0023) for 20 minutes and DAB staining.

Paraformaldehyde-fixed, paraffin embedded (Human liver carcinoma); Antigen retrieval by boiling in sodium citrate buffer (pH6.0) for 15min; Block endogenous peroxidase by 3% hydrogen peroxide for 20 minutes; Blocking buffer (normal goat serum) at 37°C for 30min; Antibody incubation with (MEK2) Monoclonal Antibody, Unconjugated (bsm-33216M) at 1:400 overnight at 4°C, followed by operating according to SP Kit(Mouse) (sp-0024) instructionsand DAB staining.

Paraformaldehyde-fixed, paraffin embedded (Human brain glioma); Antigen retrieval by boiling in sodium citrate buffer (pH6.0) for 15min; Block endogenous peroxidase by 3% hydrogen peroxide for 20 minutes; Blocking buffer (normal goat serum) at 37°C for 30min; Antibody incubation with (MEK2) Monoclonal Antibody, Unconjugated (bsm-33216M) at 1:400 overnight at 4°C, followed by operating according to SP Kit(Mouse) (sp-0024) instructionsand DAB staining.

Sample:
Lane 1: Human Hela cell lysates
Lane 2: Human 293T cell lysates
Lane 3: Human MCF-7 cell lysates
Lane 4: Human U937 cell lysates
Lane 5: Human MOLT-4 cell lysates
Primary: Anti-MEK2 (bsm-33216M) at 1/1000 dilution
Secondary: IRDye800CW Goat Anti-Mouse IgG at 1/20000 dilution
Predicted band size: 46 kDa
Observed band size: 46 kDa
Lane 1: Human Hela cell lysates
Lane 2: Human 293T cell lysates
Lane 3: Human MCF-7 cell lysates
Lane 4: Human U937 cell lysates
Lane 5: Human MOLT-4 cell lysates
Primary: Anti-MEK2 (bsm-33216M) at 1/1000 dilution
Secondary: IRDye800CW Goat Anti-Mouse IgG at 1/20000 dilution
Predicted band size: 46 kDa
Observed band size: 46 kDa
风险提示:丁香通仅作为第三方平台,为商家信息发布提供平台空间。用户咨询产品时请注意保护个人信息及财产安全,合理判断,谨慎选购商品,商家和用户对交易行为负责。对于医疗器械类产品,请先查证核实企业经营资质和医疗器械产品注册证情况。
技术资料暂无技术资料 索取技术资料
MEK2 Mouse mAb(bsm-33216M)-50ul/100ul/200ul/200ug
¥1180 - 5600





