相关产品推荐更多 >

Transglutaminase-1 Rabbit pAb, BF555 conjugated(bs-6690R-BF555)-100ul
¥2980
KIAA1549 Rabbit pAb(bs-13763R)-50ul/100ul/200ul
¥1180
NFAT1 Rabbit pAb, PerCP conjugated(bs-4246R-PerCP)-100ul
¥2980
IL2 Receptor beta Rabbit pAb(bs-1959R)-50ul/100ul/200ul
¥1180
Angiotensin III Rabbit pAb, BF680 conjugated(bs-20101R-BF680)-100ul
¥2980
万千商家帮你免费找货
0 人在求购买到急需产品
- 详细信息
- 文献和实验
- 技术资料
- 应用范围:
产品信息以Bioss网站为准
- 规格:
50ul/100ul/200ul/200ug
| 规格: | 50ul | 产品价格: | ¥1180.0 |
|---|---|---|---|
| 规格: | 100ul | 产品价格: | ¥1980.0 |
| 规格: | 200ul | 产品价格: | ¥2800.0 |
| 规格: | 200ug | 产品价格: | ¥5600.0 |
| 产品编号 | bsm-33363M |
| 英文名称 | TTR/Prealbumin Mouse mAb |
| 中文名称 | 转甲状腺素蛋白/前白蛋白单克隆抗体 |
| 英文别名 | Transthyretin; Amyloid polyneuropathy; Amyloidosis I; ATTR; Dysprealbuminemic euthyroidal hyperthyroxinemia; Dystransthyretinemic hyperthyroxinemia; HsT2651; PALB; Prealbumin amyloidosis type I; Senile systemic amyloidosis; TBPA; Transthyretin; TTR; TTR protein; prealbumin; TTHY_HUMAN. |
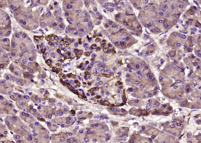
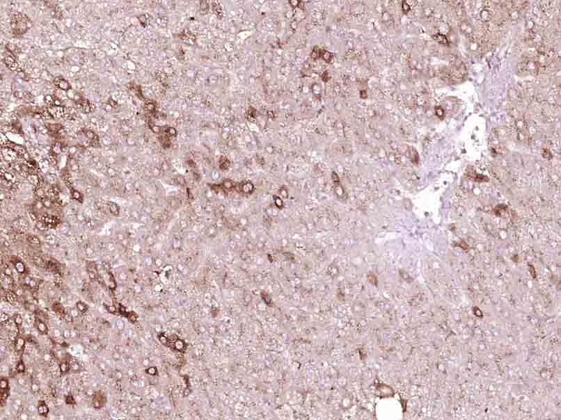
| 产品应用 | IHC-P=1:100-500, IHC-F=1:100-500, IF=1:100-500 Not yet tested in other applications. |
| 交叉反应 | Human |
| 抗体来源 | Mouse |
| 免疫原 | Recombinant human TTR Protein |
| 亚型 | IgG |
| 性状 | Liquid |
| 纯化方法 | affinity purified by Protein G |
| 克隆类型 | Monoclonal |
| 理论分子量 | 14 kDa |
| 浓度 | 1mg/ml |
| 储存液 | 0.01M TBS (pH7.4) with 1% BSA, 0.02% Proclin300 and 50% Glycerol. |
| 研究领域 | Cardiovascular > Blood > Serum Proteins Neuroscience > Neurology process > Neurodegenerative disease > Alzheimer's disease > Tangles & Tau |
| 亚基 | Homotetramer. Dimer of dimers. In the homotetramer, subunits assemble around a central channel that can accommodate two ligand molecules. Interacts with RBP4. |
| 亚细胞定位 | Secreted. Cytoplasm. |
| 组织特异性 | Detected in serum and cerebrospinal fluid (at protein level). Highly expressed in choroid plexus epithelial cells. Detected in retina pigment epithelium and liver. |
| 翻译后修饰 | Not glycosylated under normal conditions. Following unfolding, caused for example by variant AMYL-TTR 'Gly-38', the cryptic Asn-118 site is exposed and glycosylated by STT3B-containing OST complex, leading to its degradation by the ER-associated degradation (ERAD) pathway. |
| 相似性 | Belongs to the transthyretin family. |
| 功能 | Thyroid hormone-binding protein. Probably transports thyroxine from the bloodstream to the brain. |
| 保存条件 | Shipped at 4℃. Store at -20℃ for one year. Avoid repeated freeze/thaw cycles. |
| 注意事项 | This product as supplied is intended for research use only, not for use in human, therapeutic or diagnostic applications. |
| 背景资料 | This gene encodes transthyretin, one of the three prealbumins including alpha-1-antitrypsin, transthyretin and orosomucoid. Transthyretin is a carrier protein; it transports thyroid hormones in the plasma and cerebrospinal fluid, and also transports retinol (vitamin A) in the plasma. The protein consists of a tetramer of identical subunits. More than 80 different mutations in this gene have been reported; most mutations are related to amyloid deposition, affecting predominantly peripheral nerve and/or the heart, and a small portion of the gene mutations is non-amyloidogenic. The diseases caused by mutations include amyloidotic polyneuropathy, euthyroid hyperthyroxinaemia, amyloidotic vitreous opacities, cardiomyopathy, oculoleptomeningeal amyloidosis, meningocerebrovascular amyloidosis, carpal tunnel syndrome, etc. [provided by RefSeq] |
| 应用 | 推荐稀释比例 |
| {IHC-P} | {1:100-500} |
| {IHC-F} | {1:100-500} |
| {IF} | {1:100-500} |


风险提示:丁香通仅作为第三方平台,为商家信息发布提供平台空间。用户咨询产品时请注意保护个人信息及财产安全,合理判断,谨慎选购商品,商家和用户对交易行为负责。对于医疗器械类产品,请先查证核实企业经营资质和医疗器械产品注册证情况。
文献和实验T-Cell Activation Using mAb to CD3
One of the most common ways to assess T cell activation is to measure T cell proliferation upon in vitro stimulation of T cells via antigen or agonistic antibodies to TCR. This protocol is written as a starting point for examining in vitro proliferation of mouse
WHOLE MOUNT IN SITU HYBRIDIZATION. Mouse Embryos
. Use gloves and aerosol barrier tips. Linearize the plasmid and check the digest. Phenol extract. Extract twice with chloroform:isoamyl alcohol (24:1) Ethanol precipitate ( 1/2 vol 7.5 M NH4 OAc + 2.5 vol 100
Hybrid Resistance by Mouse NK Cells In Vitro
A purified NK cells to kill H2d target cells can be reversed by adding MAb reagents that bind to either Ly49A or H2-Dd . We and others have extended these early findings to the Ly49C and I subsets of NK cells, and have recently detected positive signaling
技术资料暂无技术资料 索取技术资料






