相关产品推荐更多 >

FHIT Recombinant Rabbit mAb(bsm-62247R)-50ul/100ul/25ul
¥800
Synaptotagmin-14 Rabbit pAb, Biotin conjugated(bs-11765R-Bio)-100ul
¥2980
Genethonin 1 Rabbit pAb, BF488 conjugated(bs-13335R-BF488)-100ul
¥2980
MRPL52 Rabbit pAb, APC conjugated(bs-17786R-APC)-100ul
¥2980
ZFAND2A Rabbit pAb, PerCP conjugated(bs-18518R-PerCP)-100ul
¥2980
万千商家帮你免费找货
0 人在求购买到急需产品
- 详细信息
- 技术资料
- 应用范围:
产品信息以Bioss网站为准
- 规格:
25ul/50ul/100ul
| 规格: | 25ul | 产品价格: | ¥800.0 |
|---|---|---|---|
| 规格: | 50ul | 产品价格: | ¥1400.0 |
| 规格: | 100ul | 产品价格: | ¥2500.0 |
| 产品编号 | bsm-60941R |
| 英文名称 | Cleaved PARP1 p25 Recombinant Rabbit mAb |
| 中文名称 | 多腺苷二磷酸多聚酶/多聚ADP-核糖聚合酶1重组兔单抗 |
| 英文别名 | ADP ribosyltransferase(NAD+; poly(ADP ribose) polymerase); ADP ribosyltransferase NAD+; ADPRT 1; ADPRT; ADPRT1; msPARP; NAD(+) ADP ribosyltransferase 1; pADPRT 1; pADPRT1; PARP 1; PARP; Poly(ADP ribose) polymerase 1; poly(ADP ribose) polymerase family, member 1; Poly adenosine diphosphate ADP ribose polymerase; Poly ADP ribose polymerase 1; Poly ADP ribose polymerase family member 1; Poly ADP ribose synthetase 1; poly(ADP ribose) synthetase; poly(ADP ribosyl)transferase; Poly[ADP ribose] synthetase 1; PPOL; sPARP 1; sPARP1; PARP1_HUMAN. |
| 产品应用 | WB=1:500-2000, IHC-P=1:100-500, IHC-F=1:100-500, IF=1:100-500, Flow-Cyt=1:50-200, ICC/IF=1:50-200, IP=1:50-100 Not yet tested in other applications. |
| 交叉反应 | Human |
| 抗体来源 | Rabbit |
| 免疫原 | KLH conjugated synthetic peptide derived from human PARP1 |
| 亚型 | IgG |
| 性状 | Liquid |
| 纯化方法 | affinity purified by Protein A |
| 克隆类型 | Recombinant |
| 理论分子量 | 25/114 kDa |
| 浓度 | 1mg/ml |
| 储存液 | 0.01M TBS (pH7.4) with 1% BSA, 0.02% Proclin300 and 50% Glycerol. |
| 研究领域 | Epigenetics and Nuclear Signaling > Chromatin Modifying Enzymes > ADP-ribosylation Epigenetics and Nuclear Signaling > DNA / RNA > DNA Damage & Repair > Base Excision Repair Epigenetics and Nuclear Signaling > DNA / RNA > DNA Damage & Repair > DNA Damage Response > DNA Damage Recognition |
| 亚基 | Component of a base excision repair (BER) complex, containing at least XRCC1, PARP2, POLB and LRIG3. Homo- and heterodimer with PARP2. Interacts with PARP3, APTX and SRY. The SWAP complex consists of NPM1, NCL, PARP1 and SWAP70. Interacts with TIAM2 and ZNF423 (By similarity). Interacts (when poly-ADP-ribosylated) with CHD1L. Interacts with the DNA polymerase alpha catalytic subunit POLA1; this interaction functions as part of the control of replication fork progression. Interacts with EEF1A1, RNF4 and TXK. |
| 亚细胞定位 | Mitochondrion outer membrane; Single-pass membrane protein. Nucleus membrane; Single-pass membrane protein. Endoplasmic reticulum membrane; Single-pass membrane protein. Nucleus. |
| 翻译后修饰 | Phosphorylated by PRKDC and TXK. Phosphorylated upon DNA damage, probably by ATM or ATR._x000D_
Poly-ADP-ribosylated by PARP2. Poly-ADP-ribosylation mediates the recruitment of CHD1L to DNA damage sites._x000D_ S-nitrosylated, leading to inhibit transcription regulation activity. |
| 相似性 | Contains 1 BRCT domain._x000D_
Contains 1 PARP alpha-helical domain._x000D_ Contains 1 PARP catalytic domain._x000D_ Contains 2 PARP-type zinc fingers. |
| 功能 | Involved in the base excision repair (BER) pathway, by catalyzing the poly(ADP-ribosyl)ation of a limited number of acceptor proteins involved in chromatin architecture and in DNA metabolism. This modification follows DNA damages and appears as an obligatory step in a detection/signaling pathway leading to the reparation of DNA strand breaks. Mediates the poly(ADP-ribosyl)ation of APLF and CHFR. Positively regulates the transcription of MTUS1 and negatively regulates the transcription of MTUS2/TIP150. With EEF1A1 and TXK, forms a complex that acts as a T-helper 1 (Th1) cell-specific transcription factor and binds the promoter of IFN-gamma to directly regulate its transcription, and is thus involved importantly in Th1 cytokine production. |
| 保存条件 | Shipped at 4℃. Store at -20℃ for one year. Avoid repeated freeze/thaw cycles. |
| 注意事项 | This product as supplied is intended for research use only, not for use in human, therapeutic or diagnostic applications. |
| 背景资料 | This gene encodes a chromatin-associated enzyme, poly(ADP-ribosyl)transferase, which modifies various nuclear proteins by poly(ADP-ribosyl)ation. The modification is dependent on DNA and is involved in the regulation of various important cellular processes such as differentiation, proliferation, and tumor transformation and also in the regulation of the molecular events involved in the recovery of cell from DNA damage. In addition, this enzyme may be the site of mutation in Fanconi anemia, and may participate in the pathophysiology of type I diabetes. [provided by RefSeq, Jul 2008]. |
| 应用 | 推荐稀释比例 |
| {WB} | {1:500-2000} |
| {IHC-P} | {1:100-500} |
| {IHC-F} | {1:100-500} |
| {IF} | {1:100-500} |
| {Flow-Cyt} | {1:50-200} |
| {ICC/IF} | {1:50-200} |
| {IP} | {1:50-100} |

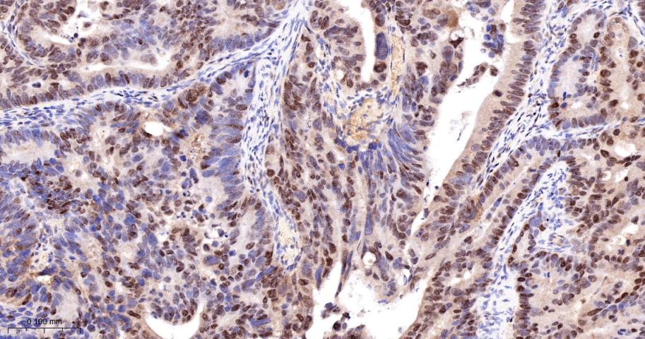
Paraformaldehyde-fixed, paraffin embedded Human Colon Cancer; Antigen retrieval by boiling in sodium citrate buffer (pH6.0) for 15 min; The section was incubated with Cleaved PARP1 p25 Monoclonal Antibody, Unconjugated (bsm-60941R) at 1:200 overnight at 4°C, followed by conjugation to the bs-0295G-HRP and DAB (C-0010) staining.

Paraformaldehyde-fixed, paraffin embedded Human Ovarian Cancer; Antigen retrieval by boiling in sodium citrate buffer (pH6.0) for 15 min; The section was incubated with Cleaved PARP1 p25 Monoclonal Antibody, Unconjugated (bsm-60941R) at 1:200 overnight at 4°C, followed by conjugation to the bs-0295G-HRP and DAB (C-0010) staining.

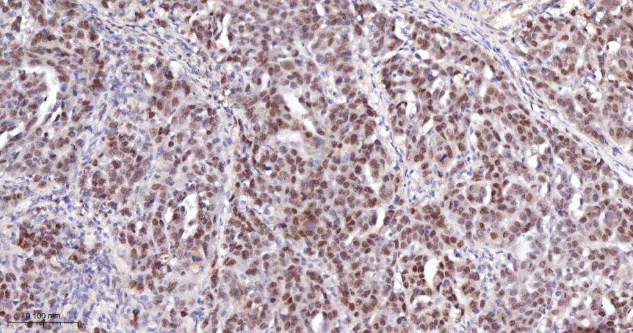
Paraformaldehyde-fixed, paraffin embedded Human Breast Cancer; Antigen retrieval by boiling in sodium citrate buffer (pH6.0) for 15 min; The section was incubated with Cleaved PARP1 p25 Monoclonal Antibody, Unconjugated (bsm-60941R) at 1:200 overnight at 4°C, followed by conjugation to the bs-0295G-HRP and DAB (C-0010) staining.

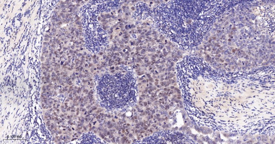
Paraformaldehyde-fixed, paraffin embedded Human Tonsil; Antigen retrieval by boiling in sodium citrate buffer (pH6.0) for 15 min; The section was incubated with Cleaved PARP1 p25 Monoclonal Antibody, Unconjugated (bsm-60941R) at 1:200 overnight at 4°C, followed by conjugation to the bs-0295G-HRP and DAB (C-0010) staining.

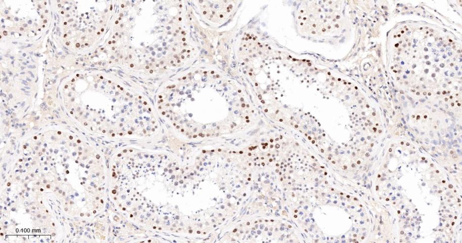
Paraformaldehyde-fixed, paraffin embedded Human Testicles; Antigen retrieval by boiling in sodium citrate buffer (pH6.0) for 15 min; The section was incubated with Cleaved PARP1 p25 Monoclonal Antibody, Unconjugated (bsm-60941R) at 1:200 overnight at 4°C, followed by conjugation to the bs-0295G-HRP and DAB (C-0010) staining.

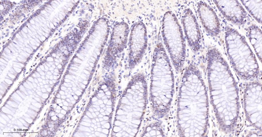
Paraformaldehyde-fixed, paraffin embedded Human Colon; Antigen retrieval by boiling in sodium citrate buffer (pH6.0) for 15 min; The section was incubated with Cleaved PARP1 p25 Monoclonal Antibody, Unconjugated (bsm-60941R) at 1:200 overnight at 4°C, followed by conjugation to the bs-0295G-HRP and DAB (C-0010) staining.

Jurkat (H) cells were treated with or without Staurosporine (1µM) for 4 h, 25 μg total protein per lane of cell lysates (see on figure) probed with Cleaved PARP1 p25 monoclonal antibody, unconjugated (bsm-60941R) at 1:1000 dilution and 4°C overnight incubation. Followed by conjugated secondary antibody incubation at r.t. for 60 min.
风险提示:丁香通仅作为第三方平台,为商家信息发布提供平台空间。用户咨询产品时请注意保护个人信息及财产安全,合理判断,谨慎选购商品,商家和用户对交易行为负责。对于医疗器械类产品,请先查证核实企业经营资质和医疗器械产品注册证情况。
技术资料暂无技术资料 索取技术资料
Cleaved PARP1 p25 Recombinant Rabbit mAb(bsm-60941R)-25ul/50ul/100ul
¥800 - 2500





