相关产品推荐更多 >

phospho-PAK1 (Ser144) + PAK3 (Ser154) Rabbit pAb, BF594 conjugated(bs-1651R-BF594)-100ul
¥2980
COPS6 Rabbit pAb, BF680 conjugated(bs-9120R-BF680)-100ul
¥2980
Cyclophilin E Rabbit pAb, HRP conjugated(bs-14138R-HRP)-100ul
¥2980
Dnmt2 Rabbit pAb, BF700 conjugated(bs-13025R-BF700)-100ul
¥2980
phospho-Cyclin E1 (Thr77) Rabbit pAb, PE-Cy7 conjugated(bs-3125R-PE-Cy7)-100ul
¥2980
万千商家帮你免费找货
0 人在求购买到急需产品
- 详细信息
- 技术资料
- 应用范围:
产品信息以Bioss网站为准
- 规格:
25ul/50ul/100ul
| 规格: | 25ul | 产品价格: | ¥800.0 |
|---|---|---|---|
| 规格: | 50ul | 产品价格: | ¥1400.0 |
| 规格: | 100ul | 产品价格: | ¥2500.0 |
| 产品编号 | bsm-63259R |
| 英文名称 | eIF4E Recombinant Rabbit mAb |
| 中文名称 | 真核翻译起始因子4E重组兔单抗 |
| 英文别名 | CBP; eIF-4E; eIF-4F 25 kDa subunit; EIF4F; EIF4E1; EIF4EL1; MGC111573; EIF4E. |
| 产品应用 | WB=1:500-2000, IHC-P=1:50-200, IHC-F=1:50-200, IF=1:50-200, IP=1:20-50, Flow-Cyt=1:50-100 Not yet tested in other applications. |
| 交叉反应 | Human, Mouse, Rat |
| 抗体来源 | Rabbit |
| 免疫原 | A synthesized peptide derived from human eIF4E |
| 亚型 | IgG |
| 性状 | Liquid |
| 纯化方法 | affinity purified by Protein A |
| 克隆类型 | Recombinant |
| 理论分子量 | 25 kDa |
| 实际分子量 | 30kDa |
| 储存液 | 10mM phosphate buffered saline(pH 7.4) with 150mM sodium chloride, 0.05% BSA, 0.02% Proclin300 and 50% glycerol. |
| 研究领域 | Epigenetics and Nuclear Signaling > DNA / RNA > RNA Processing > RNAi Epigenetics and Nuclear Signaling > DNA / RNA > Translation > Regulation Epigenetics and Nuclear Signaling > RNAi > Eukaryotic Initiation factors (eIF's) |
| 亚基 | eIF4F is a multi-subunit complex, the composition of which varies with external and internal environmental conditions. It is composed of at least EIF4A, EIF4E and EIF4G1/EIF4G3. EIF4E is also known to interact with other partners. The interaction with EIF4ENIF1 mediates the import into the nucleus. Nonphosphorylated EIF4EBP1, EIF4EBP2 and EIF4EBP3 compete with EIF4G1/EIF4G3 to interact with EIF4E; insulin stimulated MAP-kinase (MAPK1 and MAPK3) phosphorylation of EIF4EBP1 causes dissociation of the complex allowing EIF4G1/EIF4G3 to bind and consequent initiation of translation. Rapamycin can attenuate insulin stimulation, mediated by FKBPs. Interacts mutually exclusive with EIF4A1 or EIF4A2. Interacts with NGDN and PIWIL2. Component of the CYFIP1-EIF4E-FMR1 complex composed of CYFIP, EIF4E and FMR1. Interacts directly with CYFIP1 (By similarity). Interacts with Lassa virus Z protein. Binds to MKNK2 in nucleus. Interacts with LIMD1, WTIP and AJUBA. |
| 亚细胞定位 | Cytoplasm, P-body. |
| 翻译后修饰 | Phosphorylation increases the ability of the protein to bind to mRNA caps and to form the eIF4F complex. |
| 相似性 | Belongs to the eukaryotic initiation factor 4E family. |
| 功能 | Its translation stimulation activity is repressed by binding to the complex CYFIP1-FMR1 (By similarity). Recognizes and binds the 7-methylguanosine-containing mRNA cap during an early step in the initiation of protein synthesis and facilitates ribosome binding by inducing the unwinding of the mRNAs secondary structures. Component of the CYFIP1-EIF4E-FMR1 complex which binds to the mRNA cap and mediates translational repression. In the CYFIP1-EIF4E-FMR1 complex this subunit mediates the binding to the mRNA cap. |
| 保存条件 | Store at 4℃ for short term. Store at -20℃ for long term. Avoid repeated freeze/thaw cycles. |
| 注意事项 | This product as supplied is intended for research use only, not for use in human, therapeutic or diagnostic applications. |
| 背景资料 | Acts in the cytoplasm to initiate and regulate protein synthesis and is required in the nucleus for export of a subset of mRNAs from the nucleus to the cytoplasm which promotes processes such as RNA capping, processing and splicing. |
| 应用 | 推荐稀释比例 |
| {WB} | {1:500-2000} |
| {IHC-P} | {1:50-200} |
| {IHC-F} | {1:50-200} |
| {IF} | {1:50-200} |
| {IP} | {1:20-50} |
| {Flow-Cyt} | {1:50-100} |

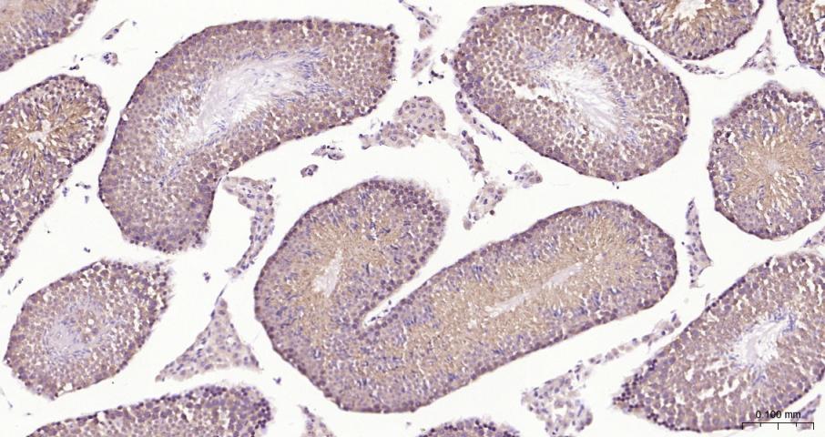
Paraformaldehyde-fixed, paraffin embedded Rat Testicles; Antigen retrieval by boiling in sodium citrate buffer (pH6.0) for 15 min; Antibody incubation with eIF4E Monoclonal Antibody, Unconjugated(bsm-63259R) at 1:200 overnight at 4°C, followed by conjugation to the bs-0295G-HRP and DAB (C-0010) staining.

Paraformaldehyde-fixed, paraffin embedded Mouse Testicles; Antigen retrieval by boiling in sodium citrate buffer (pH6.0) for 15 min; Antibody incubation with eIF4E Monoclonal Antibody, Unconjugated(bsm-63259R) at 1:200 overnight at 4°C, followed by conjugation to the bs-0295G-HRP and DAB (C-0010) staining.

Paraformaldehyde-fixed, paraffin embedded Human Testicles; Antigen retrieval by boiling in sodium citrate buffer (pH6.0) for 15 min; Antibody incubation with eIF4E Monoclonal Antibody, Unconjugated(bsm-63259R) at 1:200 overnight at 4°C, followed by conjugation to the bs-0295G-HRP and DAB (C-0010) staining.

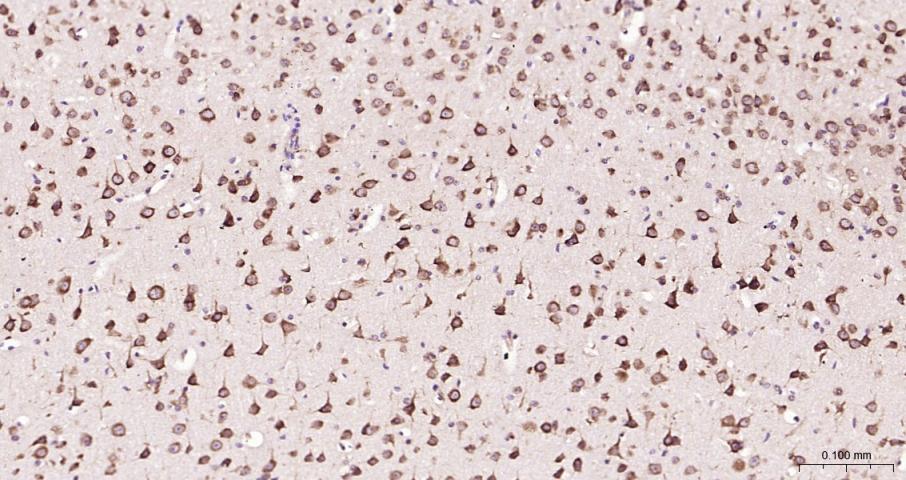
Paraformaldehyde-fixed, paraffin embedded Rat Cerebrum; Antigen retrieval by boiling in sodium citrate buffer (pH6.0) for 15 min; Antibody incubation with eIF4E Monoclonal Antibody, Unconjugated(bsm-63259R) at 1:200 overnight at 4°C, followed by conjugation to the bs-0295G-HRP and DAB (C-0010) staining.

Paraformaldehyde-fixed, paraffin embedded Mouse Cerebrum; Antigen retrieval by boiling in sodium citrate buffer (pH6.0) for 15 min; Antibody incubation with eIF4E Monoclonal Antibody, Unconjugated(bsm-63259R) at 1:200 overnight at 4°C, followed by conjugation to the bs-0295G-HRP and DAB (C-0010) staining.

Paraformaldehyde-fixed, paraffin embedded Human Cerebrum; Antigen retrieval by boiling in sodium citrate buffer (pH6.0) for 15 min; Antibody incubation with eIF4E Monoclonal Antibody, Unconjugated(bsm-63259R) at 1:200 overnight at 4°C, followed by conjugation to the bs-0295G-HRP and DAB (C-0010) staining.

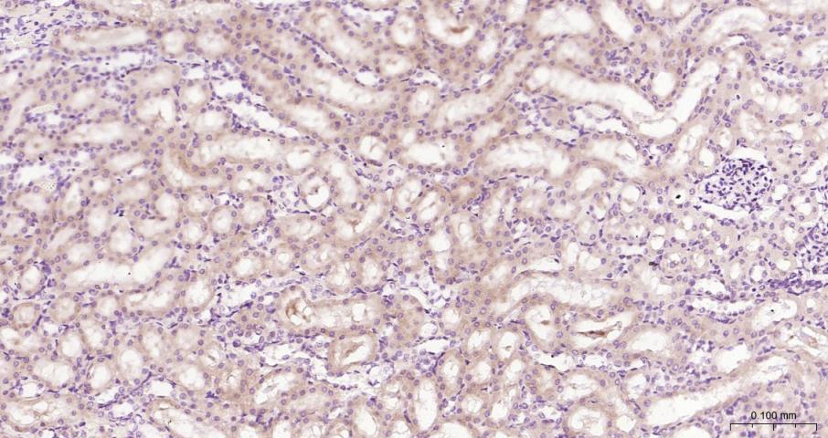
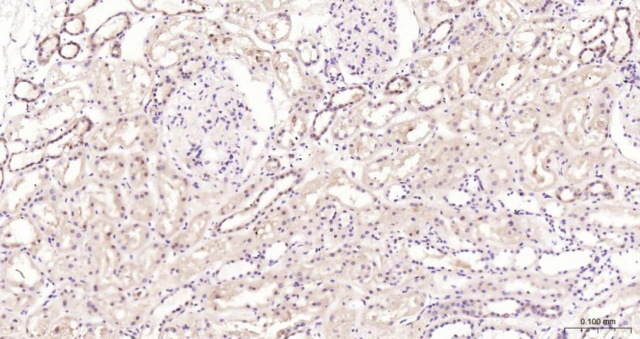
Paraformaldehyde-fixed, paraffin embedded Rat Kidney; Antigen retrieval by boiling in sodium citrate buffer (pH6.0) for 15 min; Antibody incubation with eIF4E Monoclonal Antibody, Unconjugated(bsm-63259R) at 1:200 overnight at 4°C, followed by conjugation to the bs-0295G-HRP and DAB (C-0010) staining.

Paraformaldehyde-fixed, paraffin embedded Human Kidney; Antigen retrieval by boiling in sodium citrate buffer (pH6.0) for 15 min; Antibody incubation with eIF4E Monoclonal Antibody, Unconjugated(bsm-63259R) at 1:200 overnight at 4°C, followed by conjugation to the bs-0295G-HRP and DAB (C-0010) staining.

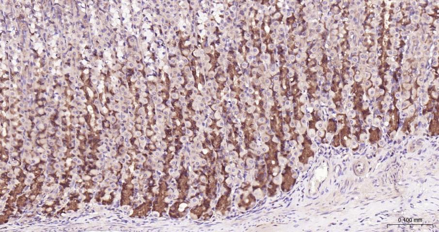
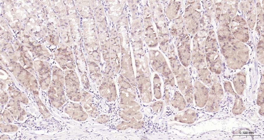
Paraformaldehyde-fixed, paraffin embedded Rat Stomach; Antigen retrieval by boiling in sodium citrate buffer (pH6.0) for 15 min; Antibody incubation with eIF4E Monoclonal Antibody, Unconjugated(bsm-63259R) at 1:200 overnight at 4°C, followed by conjugation to the bs-0295G-HRP and DAB (C-0010) staining.

Paraformaldehyde-fixed, paraffin embedded Human Stomach; Antigen retrieval by boiling in sodium citrate buffer (pH6.0) for 15 min; Antibody incubation with eIF4E Monoclonal Antibody, Unconjugated(bsm-63259R) at 1:200 overnight at 4°C, followed by conjugation to the bs-0295G-HRP and DAB (C-0010) staining.

Paraformaldehyde-fixed, paraffin embedded Mouse Stomach; Antigen retrieval by boiling in sodium citrate buffer (pH6.0) for 15 min; Antibody incubation with eIF4E Monoclonal Antibody, Unconjugated(bsm-63259R) at 1:200 overnight at 4°C, followed by conjugation to the bs-0295G-HRP and DAB (C-0010) staining.

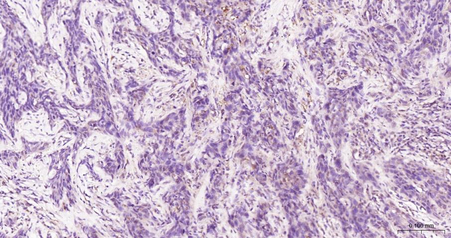
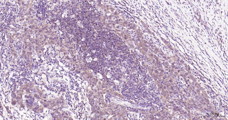
Paraformaldehyde-fixed, paraffin embedded Human Cervical Cancer; Antigen retrieval by boiling in sodium citrate buffer (pH6.0) for 15 min; Antibody incubation with eIF4E Monoclonal Antibody, Unconjugated(bsm-63259R) at 1:200 overnight at 4°C, followed by conjugation to the bs-0295G-HRP and DAB (C-0010) staining.

Paraformaldehyde-fixed, paraffin embedded Human Colon Cancer; Antigen retrieval by boiling in sodium citrate buffer (pH6.0) for 15 min; Antibody incubation with eIF4E Monoclonal Antibody, Unconjugated(bsm-63259R) at 1:200 overnight at 4°C, followed by conjugation to the bs-0295G-HRP and DAB (C-0010) staining.

Paraformaldehyde-fixed, paraffin embedded Human Breast Cancer; Antigen retrieval by boiling in sodium citrate buffer (pH6.0) for 15 min; Antibody incubation with eIF4E Monoclonal Antibody, Unconjugated(bsm-63259R) at 1:200 overnight at 4°C, followed by conjugation to the bs-0295G-HRP and DAB (C-0010) staining.

Paraformaldehyde-fixed, paraffin embedded Rat Testicles; Antigen retrieval by boiling in sodium citrate buffer (pH6.0) for 15 min; Antibody incubation with eIF4E Monoclonal Antibody, Unconjugated (bsm-63259R) at 1:200 overnight at 4°C. Followed by conjugated Goat Anti-Rabbit IgG antibody (green, bs-0295G-BF488), DAPI (blue, C02-04002) was used to stain the cell nuclei.

Paraformaldehyde-fixed, paraffin embedded Mouse Testicles; Antigen retrieval by boiling in sodium citrate buffer (pH6.0) for 15 min; Antibody incubation with eIF4E Monoclonal Antibody, Unconjugated (bsm-63259R) at 1:200 overnight at 4°C. Followed by conjugated Goat Anti-Rabbit IgG antibody (green, bs-0295G-BF488), DAPI (blue, C02-04002) was used to stain the cell nuclei.

Paraformaldehyde-fixed, paraffin embedded Human Stomach; Antigen retrieval by boiling in sodium citrate buffer (pH6.0) for 15 min; Antibody incubation with eIF4E Monoclonal Antibody, Unconjugated (bsm-63259R) at 1:200 overnight at 4°C. Followed by conjugated Goat Anti-Rabbit IgG antibody (green, bs-0295G-BF488), DAPI (blue, C02-04002) was used to stain the cell nuclei.

Paraformaldehyde-fixed, paraffin embedded Human Breast Cancer; Antigen retrieval by boiling in sodium citrate buffer (pH6.0) for 15 min; Antibody incubation with eIF4E Monoclonal Antibody, Unconjugated (bsm-63259R) at 1:200 overnight at 4°C. Followed by conjugated Goat Anti-Rabbit IgG antibody (green, bs-0295G-BF488), DAPI (blue, C02-04002) was used to stain the cell nuclei.

25 ug total protein per lane of various lysates (see on figure) probed with eIF4E monoclonal antibody, unconjugated (bsm-63259R) at 1:1000 dilution and 4°C overnight incubation. Followed by conjugated secondary antibody incubation at r.t. for 60 min.

The Hela (H) cells were fixed with 4% PFA (10 min at r.t.) and then permeabilized with 90% ice-cold methanol for 20 min at -20℃,the cells then were incubated in 5%BSA to block non-specific protein-protein interactions (30 min at r.t.), followed by secondary antibody incubation for 40 min at room temperature. Primary Antibody (green):Rabbit Anti-eIF4E antibody (bsm-63259R,1:100); Isotype Control (orange): Rabbit IgG (bs-0295P). Blank control (black): PBS. Acquisition of 20,000 events was performed.
风险提示:丁香通仅作为第三方平台,为商家信息发布提供平台空间。用户咨询产品时请注意保护个人信息及财产安全,合理判断,谨慎选购商品,商家和用户对交易行为负责。对于医疗器械类产品,请先查证核实企业经营资质和医疗器械产品注册证情况。
技术资料暂无技术资料 索取技术资料
eIF4E Recombinant Rabbit mAb(bsm-63259R)-25ul/50ul/100ul
¥800 - 2500





