相关产品推荐更多 >

Synaptopodin Rabbit pAb, BF647 conjugated(bs-3633R-BF647)-100ul
¥2980
C3ORF31 Rabbit pAb, AE conjugated(bs-15173R-AE)-100ul
¥2980
CREB5 Rabbit pAb, PE-Cy5.5 conjugated(bs-14053R-PE-Cy5.5)-100ul
¥2980
SMARCA4 rabbit pAb, Cy3 conjugated(bs-42429R-Cy3)-100ul
¥2980
MEK7 Rabbit pAb, Cy5.5 conjugated(bs-1979R-Cy5.5)-100ul
¥2980
万千商家帮你免费找货
0 人在求购买到急需产品
- 详细信息
- 技术资料
- 应用范围:
产品信息以Bioss网站为准
- 规格:
50ul/25ul
| 规格: | 50ul | 产品价格: | ¥1400.0 |
|---|---|---|---|
| 规格: | 25ul | 产品价格: | ¥800.0 |
| 产品编号 | bsm-54672R |
| 英文名称 | Synapsin II Recombinant Rabbit mAb |
| 中文名称 | 神经突触素2重组兔单抗 |
| 英文别名 | SYN 2; SYN II; SYN IIa; SYN IIb; SYN2; Synapsin 2; Synapsin II isoform IIa; Synapsin II isoform IIb; Synapsin2; SynapsinII; SYNII; SYNIIa; SYNIIb; SYN2_HUMAN. |
| 产品应用 | WB=1:500-2000, IF=1:50-200, IHC-P=1:50-200, IHC-F=1:50-200 Not yet tested in other applications. |
| 交叉反应 | Human, Mouse, Rat |
| 抗体来源 | Rabbit |
| 免疫原 | A synthesized peptide derived from human Synapsin 2 |
| 亚型 | IgG |
| 性状 | Liquid |
| 纯化方法 | affinity purified by Protein A |
| 克隆类型 | Recombinant |
| 理论分子量 | 63 kDa |
| 浓度 | 1mg/ml |
| 研究领域 | Neuroscience > Cell Type Marker > Neuron marker > Synapse marker Signal Transduction > Protein Trafficking > Vesicle Transport > Regulation |
| 亚基 | Interacts with CAPON. |
| 亚细胞定位 | Cell junction, synapse. |
| 组织特异性 | Central and peripheral nervous systems._x000D_ |
| 翻译后修饰 | Phosphorylation at Ser-10 dissociates synapsins from synapticvesicles. |
| 相似性 | Belongs to the synapsin family._x000D_ |
| 功能 | Neuronal phosphoprotein that coats synaptic vesicles,binds to the cytoskeleton, and is believed to function in theregulation of neurotransmitter release. |
| 注意事项 | This product as supplied is intended for research use only, not for use in human, therapeutic or diagnostic applications. |
| 背景资料 | This gene is a member of the synapsin gene family. Synapsins encode neuronal phosphoproteins which associate with the cytoplasmic surface of synaptic vesicles. Family members are characterized by common protein domains, and they are implicated in synaptogenesis and the modulation of neurotransmitter release, suggesting a potential role in several neuropsychiatric diseases. This member of the synapsin family encodes a neuron-specific phosphoprotein that selectively binds to small synaptic vesicles in the presynaptic nerve terminal. The TIMP4 gene is located within an intron of this gene and is transcribed in the opposite direction. Mutations in this gene may be associated with abnormal presynaptic function and schizophrenia. Alternative splicing of this gene results in two transcripts. [provided by RefSeq, Jul 2008] |
| 应用 | 推荐稀释比例 |
| {WB} | {1:500-2000} |
| {IF} | {1:50-200} |
| {IHC-P} | {1:50-200} |
| {IHC-F} | {1:50-200} |

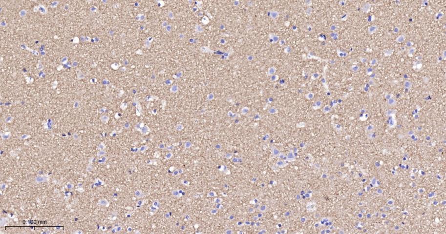
Paraformaldehyde-fixed, paraffin embedded Mouse Cerebrum; Antigen retrieval by boiling in sodium citrate buffer (pH6.0) for 15 min; The section was incubated with Synapsin II Monoclonal Antibody, Unconjugated (bsm-54672R) at 1:200 overnight at 4°C, followed by conjugation to the bs-0295G-HRP and DAB (C-0010) staining.

Paraformaldehyde-fixed, paraffin embedded Rat Cerebrum; Antigen retrieval by boiling in sodium citrate buffer (pH6.0) for 15 min; The section was incubated with Synapsin II Monoclonal Antibody, Unconjugated (bsm-54672R) at 1:200 overnight at 4°C, followed by conjugation to the bs-0295G-HRP and DAB (C-0010) staining.

Paraformaldehyde-fixed, paraffin embedded Human Cerebrum; Antigen retrieval by boiling in sodium citrate buffer (pH6.0) for 15 min; The section was incubated with Synapsin II Monoclonal Antibody, Unconjugated (bsm-54672R) at 1:200 overnight at 4°C, followed by conjugation to the bs-0295G-HRP and DAB (C-0010) staining.

Paraformaldehyde-fixed, paraffin embedded Mouse Cerebellum; Antigen retrieval by boiling in sodium citrate buffer (pH6.0) for 15 min; The section was incubated with Synapsin II Monoclonal Antibody, Unconjugated (bsm-54672R) at 1:200 overnight at 4°C, followed by conjugation to the bs-0295G-HRP and DAB (C-0010) staining.

Paraformaldehyde-fixed, paraffin embedded Rat Cerebellum; Antigen retrieval by boiling in sodium citrate buffer (pH6.0) for 15 min; The section was incubated with Synapsin II Monoclonal Antibody, Unconjugated (bsm-54672R) at 1:200 overnight at 4°C, followed by conjugation to the bs-0295G-HRP and DAB (C-0010) staining.

Paraformaldehyde-fixed, paraffin embedded Human Cerebellum; Antigen retrieval by boiling in sodium citrate buffer (pH6.0) for 15 min; The section was incubated with Synapsin II Monoclonal Antibody, Unconjugated (bsm-54672R) at 1:200 overnight at 4°C, followed by conjugation to the bs-0295G-HRP and DAB (C-0010) staining.
风险提示:丁香通仅作为第三方平台,为商家信息发布提供平台空间。用户咨询产品时请注意保护个人信息及财产安全,合理判断,谨慎选购商品,商家和用户对交易行为负责。对于医疗器械类产品,请先查证核实企业经营资质和医疗器械产品注册证情况。
技术资料暂无技术资料 索取技术资料
Synapsin II Recombinant Rabbit mAb(bsm-54672R)-50ul/25ul
¥800 - 1400





