相关产品推荐更多 >

ITM2B Rabbit pAb, Cy7 conjugated(bs-20038R-Cy7)-100ul
¥2980
S100B Rabbit pAb, RBITC conjugated(bs-2015R-RBITC)-100ul
¥2980
Nebulette Rabbit pAb, PE conjugated(bs-9468R-PE)-100ul
¥2980
phospho-GABRG2 (Ser366) Rabbit pAb, AP conjugated(bs-12079R-AP)-100ul
¥2980
LAMP1 Mouse mAb, APC-Cy5.5 conjugated(bsm-51301M-APC-Cy5.5)-100ul
¥2980
万千商家帮你免费找货
0 人在求购买到急需产品
- 详细信息
- 技术资料
- 应用范围:
产品信息以Bioss网站为准
- 规格:
50ul/100ul/25ul
| 规格: | 50ul | 产品价格: | ¥1400.0 |
|---|---|---|---|
| 规格: | 100ul | 产品价格: | ¥2500.0 |
| 规格: | 25ul | 产品价格: | ¥800.0 |
| 产品编号 | bsm-62708R |
| 英文名称 | RAB8A Recombinant Rabbit mAb |
| 中文名称 | ras癌基因家族Rab8蛋白重组兔单抗 |
| 英文别名 | MEL; Mel transforming oncogene; Oncogene c mel; RAB8; RAB8A. |
| 产品应用 | WB=1:500-2000, IHC-P=1:100-500, IHC-F=1:100-500, ICC/IF=1:50-200, IF=1:100-500, Flow-Cyt=1:50-100 Not yet tested in other applications. |
| 交叉反应 | Human, Mouse, Rat |
| 抗体来源 | Rabbit |
| 免疫原 | A synthesized peptide derived from human Rab8A |
| 亚型 | IgG |
| 性状 | Liquid |
| 纯化方法 | affinity purified by Protein A |
| 克隆类型 | Recombinant |
| 理论分子量 | 24 |
| 实际分子量 | 24 |
| 储存液 | 10mM phosphate buffered saline(pH 7.4) with 150mM sodium chloride, 0.05% BSA, 0.02% Proclin300 and 50% glycerol. |
| 研究领域 | Signal Transduction > Signaling Pathway > G Protein Signaling > Small G Proteins > Ras Family |
| 亚基 | Interacts with MAP4K2 and SYTL4. Interacts with SGSM1 and SGSM3 (By similarity). Interacts with OPTN. Interacts with RAB3IP. Interacts with MYO5B. Interacts with PIFO. Interacts with BIRC6/bruce. Interacts with OCRL. |
| 亚细胞定位 | Cell membrane; Lipid-anchor; Cytoplasmic side (Potential). Golgi apparatus. Cytoplasm, perinuclear region. Cell projection. Note=Colocalizes with OPTN at the Golgi complex and in vesicular structures close to the plasma membrane. In the GDP-bound form, present in the perinuclear region. Shows a polarized distribution to distal regions of cell protrusions in the GTP-bound form. Colocalizes with PARD3, PRKCI, EXOC5, OCLN, PODXL and RAB11A in apical membrane initiation sites (AMIS) during the generation of apical surface and luminogenesis. |
| 相似性 | Belongs to the small GTPase superfamily. Rab family. |
| 功能 | May be involved in vesicular trafficking and neurotransmitter release. Together with RAB11A, RAB3IP, the exocyst complex, PARD3, PRKCI, ANXA2, CDC42 and DNMBP promotes transcytosis of PODXL to the apical membrane initiation sites (AMIS), apical surface formation and lumenogenesis. Together with MYO5B and RAB11A participates in epithelial cell polarization. |
| 保存条件 | Store at 4℃ for short term. Store at -20℃ for long term. Avoid repeated freeze/thaw cycles. |
| 注意事项 | This product as supplied is intended for research use only, not for use in human, therapeutic or diagnostic applications. |
| 背景资料 | May be involved in vesicular trafficking and neurotransmitter release. Together with RAB11A, RAB3IP, the exocyst complex, PARD3, PRKCI, ANXA2, CDC42 and DNMBP promotes transcytosis of PODXL to the apical membrane initiation sites (AMIS), apical surface formation and lumenogenesis. Together with MYO5B and RAB11A participates in epithelial cell polarization. |
| 应用 | 推荐稀释比例 |
| {WB} | {1:500-2000} |
| {IHC-P} | {1:100-500} |
| {IHC-F} | {1:100-500} |
| {ICC/IF} | {1:50-200} |
| {IF} | {1:100-500} |
| {Flow-Cyt} | {1:50-100} |

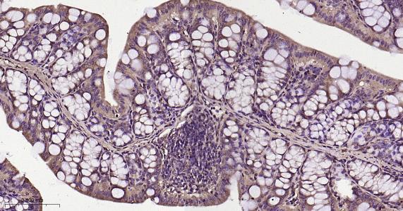
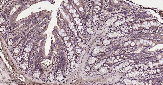
Paraformaldehyde-fixed, paraffin embedded Mouse Colon; Antigen retrieval by boiling in sodium citrate buffer (pH6.0) for 15 min; Antibody incubation with RAB8A Monoclonal Antibody, Unconjugated(bsm-62708R) at 1:200 overnight at 4°C, followed by conjugation to the bs-0295G-HRP and DAB (C-0010) staining.

Paraformaldehyde-fixed, paraffin embedded Rat Colon; Antigen retrieval by boiling in sodium citrate buffer (pH6.0) for 15 min; Antibody incubation with RAB8A Monoclonal Antibody, Unconjugated(bsm-62708R) at 1:200 overnight at 4°C, followed by conjugation to the bs-0295G-HRP and DAB (C-0010) staining.

Paraformaldehyde-fixed, paraffin embedded Human Colon; Antigen retrieval by boiling in sodium citrate buffer (pH6.0) for 15 min; Antibody incubation with RAB8A Monoclonal Antibody, Unconjugated(bsm-62708R) at 1:200 overnight at 4°C, followed by conjugation to the bs-0295G-HRP and DAB (C-0010) staining.

Paraformaldehyde-fixed, paraffin embedded Mouse Stomach; Antigen retrieval by boiling in sodium citrate buffer (pH6.0) for 15 min; Antibody incubation with RAB8A Monoclonal Antibody, Unconjugated(bsm-62708R) at 1:200 overnight at 4°C, followed by conjugation to the bs-0295G-HRP and DAB (C-0010) staining.

Paraformaldehyde-fixed, paraffin embedded Rat Stomach; Antigen retrieval by boiling in sodium citrate buffer (pH6.0) for 15 min; Antibody incubation with RAB8A Monoclonal Antibody, Unconjugated(bsm-62708R) at 1:200 overnight at 4°C, followed by conjugation to the bs-0295G-HRP and DAB (C-0010) staining.

25 ug total protein per lane of various lysates (see on figure) probed with RAB8A monoclonal antibody, unconjugated (bsm-62708R) at 1:2000 dilution and 4°C overnight incubation. Followed by conjugated secondary antibody incubation at r.t. for 60 min.
风险提示:丁香通仅作为第三方平台,为商家信息发布提供平台空间。用户咨询产品时请注意保护个人信息及财产安全,合理判断,谨慎选购商品,商家和用户对交易行为负责。对于医疗器械类产品,请先查证核实企业经营资质和医疗器械产品注册证情况。
技术资料暂无技术资料 索取技术资料
RAB8A Recombinant Rabbit mAb(bsm-62708R)-50ul/100ul/25ul
¥800 - 2500





