相关产品推荐更多 >

Bax Recombinant Rabbit mAb, PerCP-Cy5.5 conjugated(bsm-52316R-PerCP-Cy5.5)-100ul
¥3200
CD99 Recombinant Rabbit mAb, PerCP conjugated(bsm-60792R-PerCP)-100ul
¥3200
TNXB Rabbit pAb, BF750 conjugated(bs-20062R-BF750)-100ul
¥2980
phospho-PTK2 (Tyr576+Tyr577) Rabbit pAb, AP conjugated(bs-5541R-AP)-100ul
¥2980
phospho-HSL (Ser959 + Ser960) Rabbit pAb, HRP conjugated(bs-3222R-HRP)-100ul
¥2980
万千商家帮你免费找货
0 人在求购买到急需产品
- 详细信息
- 文献和实验
- 技术资料
- 应用范围:
产品信息以Bioss网站为准
- 规格:
50ul/100ul/25ul
| 规格: | 50ul | 产品价格: | ¥1400.0 |
|---|---|---|---|
| 规格: | 100ul | 产品价格: | ¥2500.0 |
| 规格: | 25ul | 产品价格: | ¥800.0 |
| 产品编号 | bsm-62659R |
| 英文名称 | IGF2BP2 Recombinant Rabbit mAb |
| 中文名称 | 胰岛素样生长因子ⅡmRNA结合蛋白2重组兔单抗 |
| 英文别名 | gf2bp2; IMP2; p62; VICKZ2. |
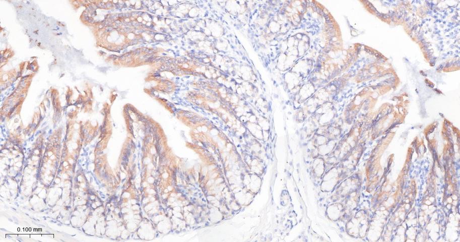
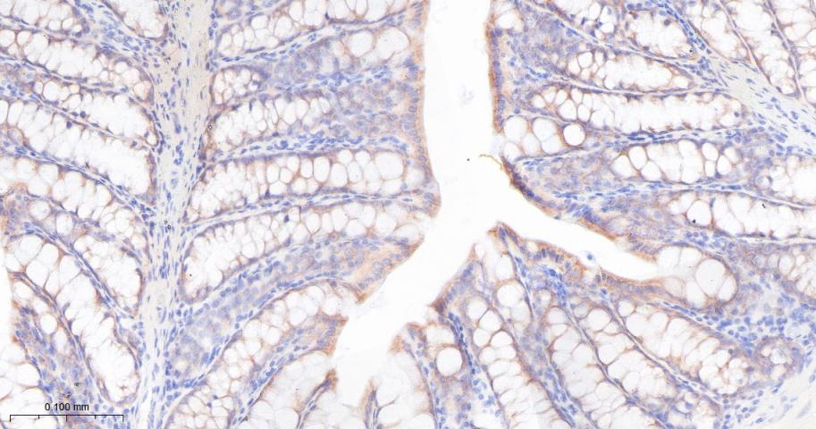
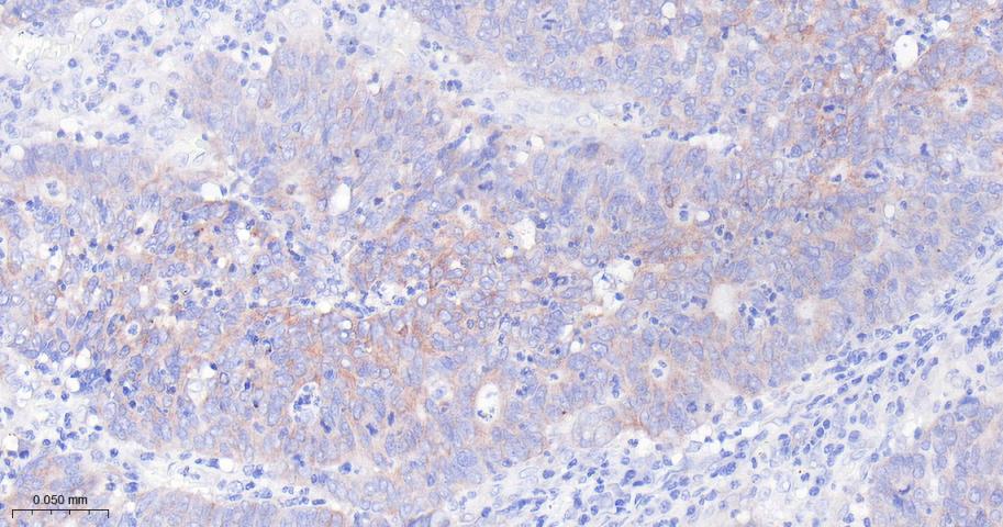
| 产品应用 | WB=1:500-2000, IHC-P=1:50-200, IHC-F=1:50-200, IF=1:50-200 Not yet tested in other applications. |
| 交叉反应 | Human, Mouse, Rat |
| 抗体来源 | Rabbit |
| 免疫原 | A synthesized peptide derived from human IGF2BP2 |
| 亚型 | IgG |
| 性状 | Liquid |
| 纯化方法 | affinity purified by Protein A |
| 克隆类型 | Recombinant |
| 理论分子量 | 66 |
| 实际分子量 | 66,62 |
| 储存液 | 10mM phosphate buffered saline(pH 7.4) with 150mM sodium chloride, 0.05% BSA, 0.02% Proclin300 and 50% glycerol. |
| 研究领域 | Epigenetics and Nuclear Signaling > Chromatin Binding Proteins > DNA / RNA binding Epigenetics and Nuclear Signaling > DNA / RNA > Translation > Regulation Immunology > Immune System Diseases > Autoimmune Metabolism > Types of disease > Metabolic disorders Signal Transduction > Growth Factors/Hormones > Insulin / Insulin-like |
| 亚基 | Interacts with HNRPD and IGF2BP1. |
| 亚细胞定位 | Cytoplasm. Localized in cytoplasmic mRNP granules containing untranslated mRNAs. Localizes at the connecting piece and the tail of the spermatozoa. |
| 组织特异性 | Expressed in oocytes, granulosa cells of small and growing follicles, Leydig cells, spermatogonia and semen (at protein level). Expressed in testicular cancer (at protein level). Expressed weakly in heart, placenta, skeletal muscle, bone marrow, colon, kidney, salivary glands, testis and pancreas. Detected in fetal liver, fetal ovary, gonocytes and interstitial cells of the testis. |
| 相似性 | Belongs to the RRM IMP/VICKZ family_x000D_
br>Contains 4 KH domains._x000D_
Contains 2 RRM (RNA recognition motif) domains. |
| 功能 | Binds to the 5'-UTR of the insulin-like growth factor 2 (IGF2) mRNAs. Binding is isoform-specific. May regulate translation of target mRNAs. |
| 保存条件 | Store at 4℃ for short term. Store at -20℃ for long term. Avoid repeated freeze/thaw cycles. |
| 注意事项 | This product as supplied is intended for research use only, not for use in human, therapeutic or diagnostic applications. |
| 背景资料 | RNA-binding factor that recruits target transcripts to cytoplasmic protein-RNA complexes (mRNPs). This transcript 'caging' into mRNPs allows mRNA transport and transient storage. It also modulates the rate and location at which target transcripts encounter the translational apparatus and shields them from endonuclease attacks or microRNA-mediated degradation.Preferentially binds to N6-methyladenosine (m6A)-containing mRNAs and increases their stability. |
| 应用 | 推荐稀释比例 |
| {WB} | {1:500-2000} |
| {IHC-P} | {1:50-200} |
| {IHC-F} | {1:50-200} |
| {IF} | {1:50-200} |





风险提示:丁香通仅作为第三方平台,为商家信息发布提供平台空间。用户咨询产品时请注意保护个人信息及财产安全,合理判断,谨慎选购商品,商家和用户对交易行为负责。对于医疗器械类产品,请先查证核实企业经营资质和医疗器械产品注册证情况。
文献和实验到 PVDF 膜上,同时减少蛋白不必要降解,这对于最终获得清晰、可信结果也是需要考虑因素。抗体信息:1.ACC1, Recombinant Rabbit monoclonal IgG. HuaAn. HuaAn biotechnology , inc.2.ATGL, Mouse mAb IgG1, Cat#:RT1058. HuaAn biotechnology , inc.3.p-PERK(Thr981), Rabbit Polyclonal IgG primary antibodies, Cat
The OP9-DL1 System: Generation of T-Lymphocytes from Embryonic or Hematopoietic Stem Cells In Vitro
al. 2006b ). MATERIALS Reagents Anti-CD24 monoclonal antibody (mAb) (J11d clone) (for Protocol 3) Use either culture supernatant that contains anti-CD24 mAb or purified anti-CD24 mAb (see Step 55). BDPharmLyse (red blood cell lysing
技术资料暂无技术资料 索取技术资料






