相关产品推荐更多 >

CYP7A1 Rabbit pAb, Cy5.5 conjugated(bs-2399R-Cy5.5)-100ul
¥2980
PLEKHG2 Rabbit pAb, PerCP conjugated(bs-12725R-PerCP)-100ul
¥2980
phospho-E Cadherin (Ser838 + Ser840) Rabbit pAb, APC-Cy7 conjugated(bs-12886R-APC-Cy7)-100ul
¥2980
CD163 Recombinant Rabbit mAb, BF594 conjugated(bsm-54015R-BF594)-100ul
¥2980
DDX27 Rabbit pAb, Cy3 conjugated(bs-14223R-Cy3)-100ul
¥2980
万千商家帮你免费找货
0 人在求购买到急需产品
- 详细信息
- 技术资料
- 应用范围:
产品信息以Bioss网站为准
- 规格:
50ul/100ul/25ul
| 规格: | 50ul | 产品价格: | ¥1400.0 |
|---|---|---|---|
| 规格: | 100ul | 产品价格: | ¥2500.0 |
| 规格: | 25ul | 产品价格: | ¥800.0 |
| 产品编号 | bsm-61625R |
| 英文名称 | NDUFS3 Recombinant Rabbit mAb |
| 中文名称 | 线粒体复合物NDUFS3蛋白重组兔单抗 |
| 英文别名 | CI 30KD; Complex I 30KD; COMPLEX I, MITOCHONDRIAL RESPIRATORY CHAIN, 30-KD SUBUNIT; Complex I-30kD; mitochondrial; NADH coenzyme Q reductase; NDUFS3. |
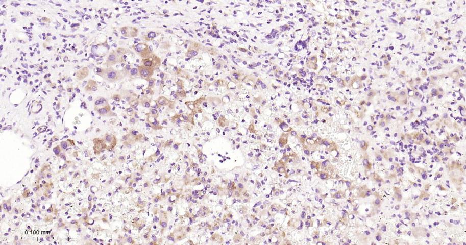
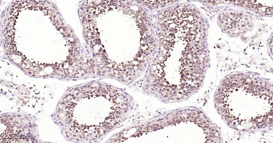
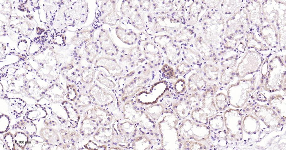
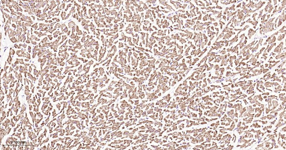
| 产品应用 | WB=1:500-2000, IHC-P=1:50-200, IHC-F=1:50-200, ICC/IF=1:50-200, IF=1:50-200, IP=1:20-50 Not yet tested in other applications. |
| 交叉反应 | Human |
| 抗体来源 | Rabbit |
| 免疫原 | A synthesized peptide derived from human NDUFS3 |
| 亚型 | IgG |
| 性状 | Liquid |
| 纯化方法 | affinity purified by Protein A |
| 克隆类型 | Recombinant |
| 理论分子量 | 30 |
| 实际分子量 | 30 |
| 储存液 | 10mM phosphate buffered saline(pH 7.4) with 150mM sodium chloride, 0.05% BSA, 0.02% Proclin300 and 50% glycerol. |
| 研究领域 | Cancer > Cancer Metabolism > Cellular metabolic process Cancer > Cancer Metabolism > Metabolic signaling pathway > Integration of energy metabolism Cell Biology > Other Antibodies > Oxidative Stress Metabolism > Pathways and Processes > Metabolic signaling pathways > Energy transfer pathways > Integration of energy Metabolism > Pathways and Processes > Mitochondrial Metabolism > Mitochondrial markers Metabolism > Pathways and Processes > Mitochondrial Metabolism > Oxidative phosphorylation > Complex I Metabolism > Pathways and Processes > Redox metabolism > Oxidative stress Signal Transduction > Metabolism > Mitochondrial |
| 亚基 | Mammalian complex I is composed of 45 different subunits. Interacts with NDUFAF3. |
| 亚细胞定位 | Mitochondrion inner membrane. |
| 相似性 | Belongs to the complex I 30 kDa subunit family. |
| 保存条件 | Store at 4℃ for short term. Store at -20℃ for long term. Avoid repeated freeze/thaw cycles. |
| 注意事项 | This product as supplied is intended for research use only, not for use in human, therapeutic or diagnostic applications. |
| 背景资料 | Core subunit of the mitochondrial membrane respiratory chain NADH dehydrogenase (Complex I) which catalyzes electron transfer from NADH through the respiratory chain, using ubiquinone as an electron acceptor.Essential for the catalytic activity and assembly of complex I. |
| 应用 | 推荐稀释比例 |
| {WB} | {1:500-2000} |
| {IHC-P} | {1:50-200} |
| {IHC-F} | {1:50-200} |
| {ICC/IF} | {1:50-200} |
| {IF} | {1:50-200} |
| {IP} | {1:20-50} |





风险提示:丁香通仅作为第三方平台,为商家信息发布提供平台空间。用户咨询产品时请注意保护个人信息及财产安全,合理判断,谨慎选购商品,商家和用户对交易行为负责。对于医疗器械类产品,请先查证核实企业经营资质和医疗器械产品注册证情况。
技术资料暂无技术资料 索取技术资料





