相关产品推荐更多 >

phospho-C-REL (Ser503) Rabbit pAb, Pacific Blue conjugated(bs-12918R-PacificBlue)-100ul
¥2980
MMP9 Rabbit pAb, PE conjugated(bs-4593R-PE)-100ul
¥2980
phospho-Tie2 (Ser1119) Rabbit pAb, APC conjugated(bs-3448R-APC)-100ul
¥2980
ZNF641 Rabbit pAb, AP conjugated(bs-4342R-AP)-100ul
¥2980
VPS25 Rabbit pAb, APC conjugated(bs-4472R-APC)-100ul
¥2980
万千商家帮你免费找货
0 人在求购买到急需产品
- 详细信息
- 文献和实验
- 技术资料
- 应用范围:
产品信息以Bioss网站为准
- 规格:
50ul/100ul/25ul
| 规格: | 50ul | 产品价格: | ¥1400.0 |
|---|---|---|---|
| 规格: | 100ul | 产品价格: | ¥2500.0 |
| 规格: | 25ul | 产品价格: | ¥800.0 |
| 产品编号 | bsm-61605R |
| 英文名称 | SOD3 Recombinant Rabbit mAb |
| 中文名称 | 超氧化物歧化酶3重组兔单抗 |
| 英文别名 | EC SOD; Extracellular superoxide dismutase [Cu Zn]; Extracellular superoxide dismutase precursor; SOD3; Superoxide dismutase 3 extracellular. |
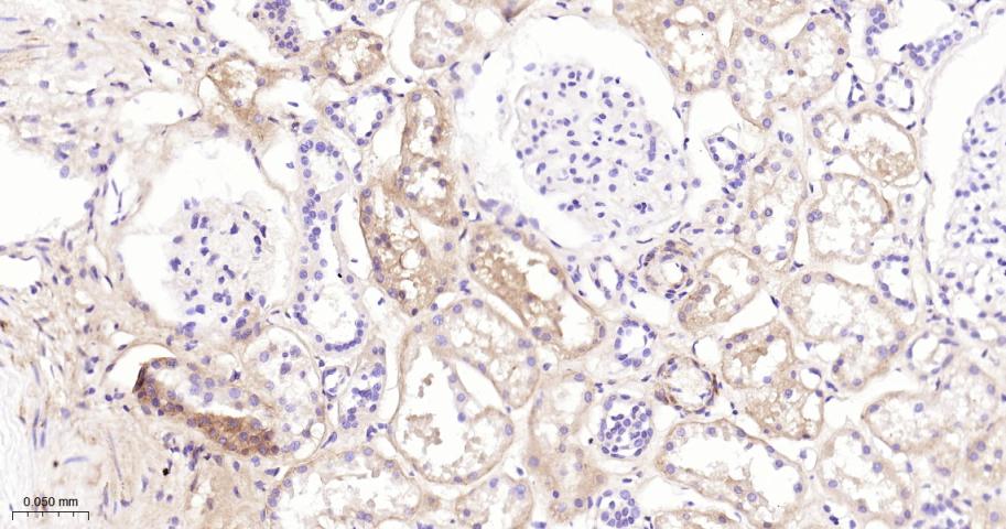
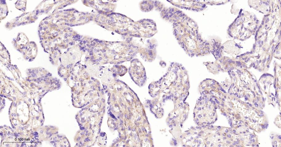
| 产品应用 | WB=1:500-2000, IHC-P=1:50-200, IHC-F=1:50-200, IF=1:50-200 Not yet tested in other applications. |
| 交叉反应 | Human |
| 抗体来源 | Rabbit |
| 免疫原 | A synthesized peptide derived from human SOD3 |
| 亚型 | IgG |
| 性状 | Liquid |
| 纯化方法 | affinity purified by Protein A |
| 克隆类型 | Recombinant |
| 理论分子量 | 26 |
| 实际分子量 | 26 |
| 储存液 | 10mM phosphate buffered saline(pH 7.4) with 150mM sodium chloride, 0.05% BSA, 0.02% Proclin300 and 50% glycerol. |
| 研究领域 | Cancer > Cancer Metabolism > Cellular metabolic process Cancer > Cancer Metabolism > Response to hypoxia Cell Biology > Other Antibodies > Oxidative Stress Metabolism > Pathways and Processes > Metabolism processes > Hypoxia Metabolism > Pathways and Processes > Redox metabolism > Antioxidants Metabolism > Pathways and Processes > Redox metabolism > Oxidative stress Metabolism > Types of disease > Cancer |
| 亚基 | Homotetramer. |
| 亚细胞定位 | Secreted, extracellular space. Note=99% of EC-SOD is anchored to heparan sulfate proteoglycans in the tissue interstitium, and 1% is located in the vasculature in equilibrium between the plasma and the endothelium. |
| 组织特异性 | Expressed in blood vessels, heart, lung, kidney and placenta. Major SOD isoenzyme in extracellular fluids such as plasma, lymph and synovial fluid. |
| 相似性 | Belongs to the Cu-Zn superoxide dismutase family. |
| 功能 | Protect the extracellular space from toxic effect of reactive oxygen intermediates by converting superoxide radicals into hydrogen peroxide and oxygen. |
| 保存条件 | Store at 4℃ for short term. Store at -20℃ for long term. Avoid repeated freeze/thaw cycles. |
| 注意事项 | This product as supplied is intended for research use only, not for use in human, therapeutic or diagnostic applications. |
| 背景资料 | Protect the extracellular space from toxic effect of reactive oxygen intermediates by converting superoxide radicals into hydrogen peroxide and oxygen. |
| 应用 | 推荐稀释比例 |
| {WB} | {1:500-2000} |
| {IHC-P} | {1:50-200} |
| {IHC-F} | {1:50-200} |
| {IF} | {1:50-200} |




风险提示:丁香通仅作为第三方平台,为商家信息发布提供平台空间。用户咨询产品时请注意保护个人信息及财产安全,合理判断,谨慎选购商品,商家和用户对交易行为负责。对于医疗器械类产品,请先查证核实企业经营资质和医疗器械产品注册证情况。
文献和实验到 PVDF 膜上,同时减少蛋白不必要降解,这对于最终获得清晰、可信结果也是需要考虑因素。抗体信息:1.ACC1, Recombinant Rabbit monoclonal IgG. HuaAn. HuaAn biotechnology , inc.2.ATGL, Mouse mAb IgG1, Cat#:RT1058. HuaAn biotechnology , inc.3.p-PERK(Thr981), Rabbit Polyclonal IgG primary antibodies, Cat
The OP9-DL1 System: Generation of T-Lymphocytes from Embryonic or Hematopoietic Stem Cells In Vitro
al. 2006b ). MATERIALS Reagents Anti-CD24 monoclonal antibody (mAb) (J11d clone) (for Protocol 3) Use either culture supernatant that contains anti-CD24 mAb or purified anti-CD24 mAb (see Step 55). BDPharmLyse (red blood cell lysing
技术资料暂无技术资料 索取技术资料






