相关产品推荐更多 >

KMT1C Rabbit pAb, BF350 conjugated(bs-9118R-BF350)-100ul
¥2980
phospho-SGK1 (Thr256) Rabbit pAb, BF647 conjugated(bs-3397R-BF647)-100ul
¥2980
Squalene Epoxidase Rabbit pAb, FITC conjugated(bs-4218R-FITC)-100ul
¥2980
SIAH1 Rabbit pAb, PE-Cy7 conjugated(bs-3596R-PE-Cy7)-100ul
¥2980
CRLF3 Rabbit pAb, Cy7 conjugated(bs-14062R-Cy7)-100ul
¥2980
万千商家帮你免费找货
0 人在求购买到急需产品
- 详细信息
- 技术资料
- 应用范围:
产品信息以Bioss网站为准
- 规格:
50ul/100ul/25ul
| 规格: | 50ul | 产品价格: | ¥1400.0 |
|---|---|---|---|
| 规格: | 100ul | 产品价格: | ¥2500.0 |
| 规格: | 25ul | 产品价格: | ¥800.0 |
| 产品编号 | bsm-61554R |
| 英文名称 | FTMT Recombinant Rabbit mAb |
| 中文名称 | 线粒体铁蛋白重组兔单抗 |
| 英文别名 | FerH; Ferritin; Ferritin H subunit; Ferritin, mitochondrial; Fth3; FTMT; mitochondrial; Mitochondrial ferritin; MTF. |
| 产品应用 | WB=1:500-2000, IHC-P=1:50-200, IHC-F=1:50-200, IF=1:50-200 Not yet tested in other applications. |
| 交叉反应 | Human |
| 抗体来源 | Rabbit |
| 免疫原 | A synthesized peptide derived from human FTMT |
| 亚型 | IgG |
| 性状 | Liquid |
| 纯化方法 | affinity purified by Protein A |
| 克隆类型 | Recombinant |
| 理论分子量 | 28 |
| 实际分子量 | 22 |
| 储存液 | 10mM phosphate buffered saline(pH 7.4) with 150mM sodium chloride, 0.05% BSA, 0.02% Proclin300 and 50% glycerol. |
| 亚基 | Homooligomer of 24 subunits. The functional molecule is roughly spherical and contains a central cavity into which the polymeric mineral iron core is deposited. |
| 亚细胞定位 | Mitochondrion. |
| 组织特异性 | Detected in testis and erythroleukemia. Expression is very low or not detectable in brain, colon, heart, kidney, liver, lung, muscle, placental, spleen and small intestine. |
| 相似性 | Belongs to the ferritin family. {ECO:0000305}. Contains 1 ferritin-like diiron domain._x000D_ |
| 功能 | Stores iron in a soluble, non-toxic, readily available form. Important for iron homeostasis. Has ferroxidase activity. Iron is taken up in the ferrous form and deposited as ferric hydroxides after oxidation. {ECO:0000269|PubMed:11323407, ECO:0000269|PubMed:15201052}. |
| 保存条件 | Store at 4℃ for short term. Store at -20℃ for long term. Avoid repeated freeze/thaw cycles. |
| 注意事项 | This product as supplied is intended for research use only, not for use in human, therapeutic or diagnostic applications. |
| 背景资料 | Catalyzes the oxidation of ferrous iron(II) to ferric iron(III) and stores iron in a soluble, non-toxic, readily available form. |
| 应用 | 推荐稀释比例 |
| {WB} | {1:500-2000} |
| {IHC-P} | {1:50-200} |
| {IHC-F} | {1:50-200} |
| {IF} | {1:50-200} |

Western blot analysis of HepG2 cell lysate. Using FTMT (bsm-61554R) monoclonal antibody at 1:1000 dilution and 4°C overnight incubation. Followed by conjugated secondary antibody incubation at r.t. for 60 min.

(Negative control) Paraformaldehyde-fixed, paraffin embedded Human Cerebrum; Antigen retrieval by boiling in sodium citrate buffer (pH6.0) for 15 min; The section was incubated with FTMT Monoclonal Antibody, Unconjugated (bsm-61554R) at 1:200 overnight at 4°C, followed by conjugation to the bs-0295G-HRP and DAB (C-0010) staining.

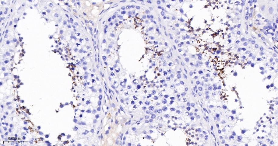
Paraformaldehyde-fixed, paraffin embedded Human Testicles; Antigen retrieval by boiling in sodium citrate buffer (pH6.0) for 15 min; The section was incubated with FTMT Monoclonal Antibody, Unconjugated (bsm-61554R) at 1:200 overnight at 4°C, followed by conjugation to the bs-0295G-HRP and DAB (C-0010) staining.
风险提示:丁香通仅作为第三方平台,为商家信息发布提供平台空间。用户咨询产品时请注意保护个人信息及财产安全,合理判断,谨慎选购商品,商家和用户对交易行为负责。对于医疗器械类产品,请先查证核实企业经营资质和医疗器械产品注册证情况。
技术资料暂无技术资料 索取技术资料
FTMT Recombinant Rabbit mAb(bsm-61554R)-50ul/100ul/25ul
¥800 - 2500





