相关产品推荐更多 >

SRC Rabbit pAb, BF647 conjugated(bs-1135R-BF647)-100ul
¥2980
PLEKHB2 Rabbit pAb, BF680 conjugated(bs-12723R-BF680)-100ul
¥2980
NBPF5 Rabbit pAb, PerCP-Cy5.5 conjugated(bs-19036R-PerCP-Cy5.5)-100ul
¥2980
SMARCA4 Recombinant Rabbit mAb, Cy3 conjugated(bsm-61308R-Cy3)-100ul
¥2980
PBK Rabbit pAb, PerCP conjugated(bs-3523R-PerCP)-100ul
¥2980
万千商家帮你免费找货
0 人在求购买到急需产品
- 详细信息
- 技术资料
- 应用范围:
产品信息以Bioss网站为准
- 规格:
50ul/100ul/25ul
| 规格: | 50ul | 产品价格: | ¥1400.0 |
|---|---|---|---|
| 规格: | 100ul | 产品价格: | ¥2500.0 |
| 规格: | 25ul | 产品价格: | ¥800.0 |
| 产品编号 | bsm-61408R |
| 英文名称 | SERCA2 Recombinant Rabbit mAb |
| 中文名称 | 肌浆/内质网钙ATP酶2重组兔单抗 |
| 英文别名 | SERCA2; Calcium pump 2; ATP2B. |
| 产品应用 | WB=1:500-2000, IHC-P=1:100-500, IHC-F=1:100-500, ICC/IF=1:50-200, IF=1:100-500 Not yet tested in other applications. |
| 交叉反应 | Human, Mouse, Rat |
| 抗体来源 | Rabbit |
| 免疫原 | A synthesized peptide derived from human SERCA2 |
| 亚型 | IgG |
| 性状 | Liquid |
| 纯化方法 | affinity purified by Protein A |
| 克隆类型 | Recombinant |
| 理论分子量 | 115 |
| 实际分子量 | 110140 |
| 储存液 | 10mM phosphate buffered saline(pH 7.4) with 150mM sodium chloride, 0.05% BSA, 0.02% Proclin300 and 50% glycerol. |
| 亚基 | Associated with phospholamban (PLN) (By similarity). Isoform 1 interacts with TRAM2 (via C-terminus). Interacts with HAX1. |
| 亚细胞定位 | Endoplasmic reticulum membrane; Multi-pass membrane protein. Sarcoplasmic reticulum membrane; Multi-pass membrane protein. |
| 组织特异性 | Isoform 1 is widely expressed in smooth muscle and nonmuscle tissues such as in adult skin epidermis, with highest expression in liver, pancreas and lung, and intermediate expression in brain, kidney and placenta. Also expressed at lower levels in heart and skeletal muscle. Isoforms 2 and 3 are highly expressed in the heart and slow twitch skeletal muscle. Expression of isoform 3 is predominantly restricted to cardiomyocytes and in close proximity to the sarcolemma. Both isoforms are mildly expressed in lung, kidney, liver, pancreas and placenta. Expression of isoform 3 is amplified during monocytic differentiation and also observed in the fetal heart. |
| 翻译后修饰 | Nitrated under oxidative stress. Nitration on the two tyrosine residues inhibits catalytic activity. |
| 相似性 | Belongs to the cation transport ATPase (P-type) (TC 3.A.3) family. Type IIA subfamily. |
| 功能 | This magnesium-dependent enzyme catalyzes the hydrolysis of ATP coupled with the translocation of calcium from the cytosol to the sarcoplasmic reticulum lumen. Isoform 2 is involved in the regulation of the contraction/relaxation cycle. |
| 保存条件 | Store at 4℃ for short term. Store at -20℃ for long term. Avoid repeated freeze/thaw cycles. |
| 注意事项 | This product as supplied is intended for research use only, not for use in human, therapeutic or diagnostic applications. |
| 背景资料 | This magnesium-dependent enzyme catalyzes the hydrolysis of ATP coupled with the translocation of calcium from the cytosol to the sarcoplasmic reticulum lumen. Involved in autophagy in response to starvation. Upon interaction with VMP1 and activation, controls ER-isolation membrane contacts for autophagosome formation. |
| 应用 | 推荐稀释比例 |
| {WB} | {1:500-2000} |
| {IHC-P} | {1:100-500} |
| {IHC-F} | {1:100-500} |
| {ICC/IF} | {1:50-200} |
| {IF} | {1:100-500} |

Western blot analysis of HeLa cell lysate. Using SERCA2 (bsm-61408R) monoclonal antibody at 1:1000 dilution and 4°C overnight incubation. Followed by conjugated secondary antibody incubation at r.t. for 60 min.

4% Paraformaldehyde-fixed HepG2 (H) cell; Triton X-100 at r.t. for 20 min; Antibody incubation with (SERCA2) monoclonal Antibody, unconjugated (bsm-61408R) 1:50, 90 min at 37°C; followed by conjugated Goat Anti-Rabbit IgG antibody (green, bs-40295G-FITC) at 37°C for 90 min, DAPI (blue, C02-04002) was used to stain the cell nuclei. PBS instead of the primary antibody was used as the blank control.

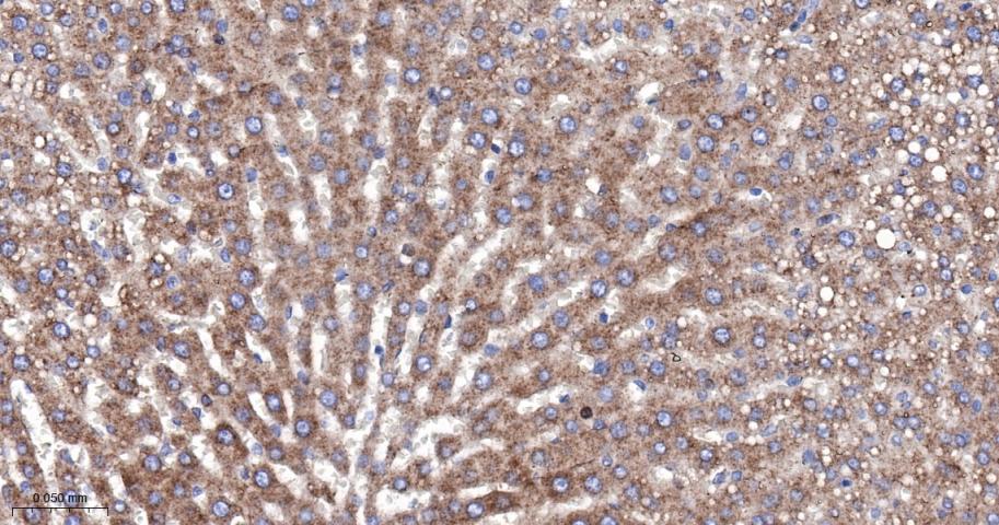
Paraformaldehyde-fixed, paraffin embedded Mouse Liver; Antigen retrieval by boiling in sodium citrate buffer (pH6.0) for 15 min; The section was incubated with SERCA2 Monoclonal Antibody, Unconjugated (bsm-61408R) at 1:200 overnight at 4°C, followed by conjugation to the bs-0295G-HRP and DAB (C-0010) staining.

Paraformaldehyde-fixed, paraffin embedded Rat Liver; Antigen retrieval by boiling in sodium citrate buffer (pH6.0) for 15 min; The section was incubated with SERCA2 Monoclonal Antibody, Unconjugated (bsm-61408R) at 1:200 overnight at 4°C, followed by conjugation to the bs-0295G-HRP and DAB (C-0010) staining.

Paraformaldehyde-fixed, paraffin embedded Human Liver; Antigen retrieval by boiling in sodium citrate buffer (pH6.0) for 15 min; The section was incubated with SERCA2 Monoclonal Antibody, Unconjugated (bsm-61408R) at 1:200 overnight at 4°C, followed by conjugation to the bs-0295G-HRP and DAB (C-0010) staining.

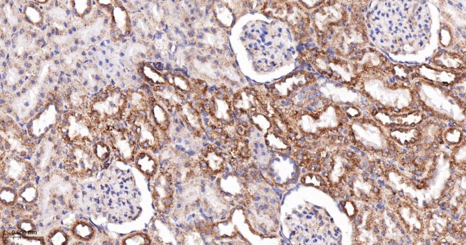
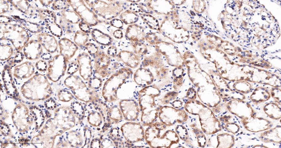
Paraformaldehyde-fixed, paraffin embedded Mouse Kidney; Antigen retrieval by boiling in sodium citrate buffer (pH6.0) for 15 min; The section was incubated with SERCA2 Monoclonal Antibody, Unconjugated (bsm-61408R) at 1:200 overnight at 4°C, followed by conjugation to the bs-0295G-HRP and DAB (C-0010) staining.

Paraformaldehyde-fixed, paraffin embedded Rat Kidney; Antigen retrieval by boiling in sodium citrate buffer (pH6.0) for 15 min; The section was incubated with SERCA2 Monoclonal Antibody, Unconjugated (bsm-61408R) at 1:200 overnight at 4°C, followed by conjugation to the bs-0295G-HRP and DAB (C-0010) staining.

Paraformaldehyde-fixed, paraffin embedded Human Kidney; Antigen retrieval by boiling in sodium citrate buffer (pH6.0) for 15 min; The section was incubated with SERCA2 Monoclonal Antibody, Unconjugated (bsm-61408R) at 1:200 overnight at 4°C, followed by conjugation to the bs-0295G-HRP and DAB (C-0010) staining.

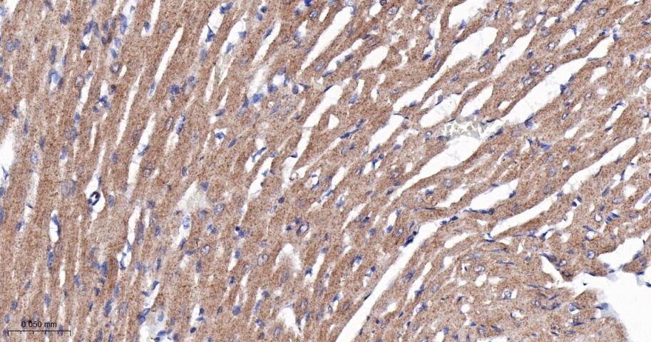
Paraformaldehyde-fixed, paraffin embedded Mouse Heart; Antigen retrieval by boiling in sodium citrate buffer (pH6.0) for 15 min; The section was incubated with SERCA2 Monoclonal Antibody, Unconjugated (bsm-61408R) at 1:200 overnight at 4°C, followed by conjugation to the bs-0295G-HRP and DAB (C-0010) staining.

Paraformaldehyde-fixed, paraffin embedded Rat Heart; Antigen retrieval by boiling in sodium citrate buffer (pH6.0) for 15 min; The section was incubated with SERCA2 Monoclonal Antibody, Unconjugated (bsm-61408R) at 1:200 overnight at 4°C, followed by conjugation to the bs-0295G-HRP and DAB (C-0010) staining.

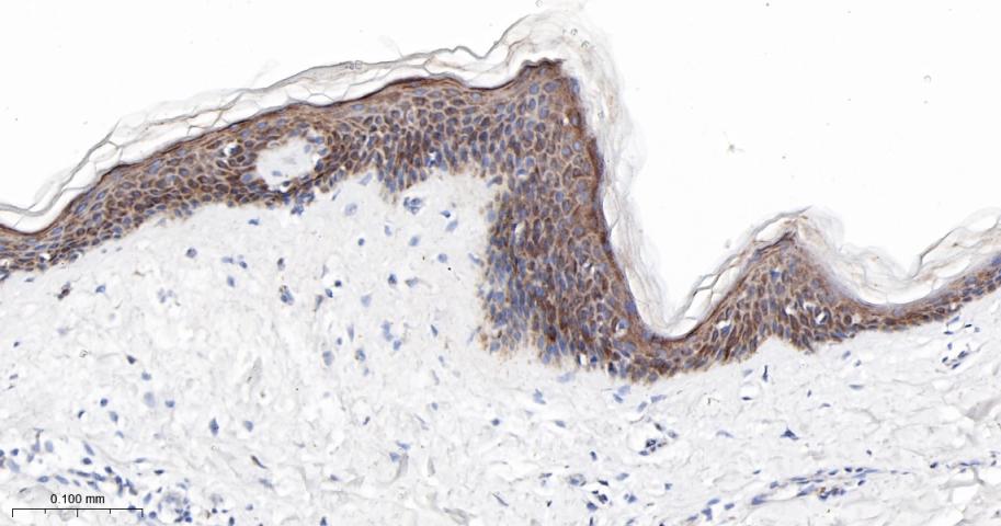
Paraformaldehyde-fixed, paraffin embedded Rat Skin; Antigen retrieval by boiling in sodium citrate buffer (pH6.0) for 15 min; The section was incubated with SERCA2 Monoclonal Antibody, Unconjugated (bsm-61408R) at 1:200 overnight at 4°C, followed by conjugation to the bs-0295G-HRP and DAB (C-0010) staining.

Paraformaldehyde-fixed, paraffin embedded Human Skin; Antigen retrieval by boiling in sodium citrate buffer (pH6.0) for 15 min; The section was incubated with SERCA2 Monoclonal Antibody, Unconjugated (bsm-61408R) at 1:200 overnight at 4°C, followed by conjugation to the bs-0295G-HRP and DAB (C-0010) staining.

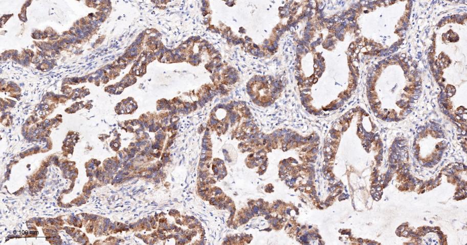
Paraformaldehyde-fixed, paraffin embedded Human Lung Cancer; Antigen retrieval by boiling in sodium citrate buffer (pH6.0) for 15 min; The section was incubated with SERCA2 Monoclonal Antibody, Unconjugated (bsm-61408R) at 1:200 overnight at 4°C, followed by conjugation to the bs-0295G-HRP and DAB (C-0010) staining.

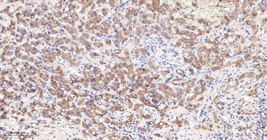
Paraformaldehyde-fixed, paraffin embedded Human Liver Cancer; Antigen retrieval by boiling in sodium citrate buffer (pH6.0) for 15 min; The section was incubated with SERCA2 Monoclonal Antibody, Unconjugated (bsm-61408R) at 1:200 overnight at 4°C, followed by conjugation to the bs-0295G-HRP and DAB (C-0010) staining.
风险提示:丁香通仅作为第三方平台,为商家信息发布提供平台空间。用户咨询产品时请注意保护个人信息及财产安全,合理判断,谨慎选购商品,商家和用户对交易行为负责。对于医疗器械类产品,请先查证核实企业经营资质和医疗器械产品注册证情况。
技术资料暂无技术资料 索取技术资料
SERCA2 Recombinant Rabbit mAb(bsm-61408R)-50ul/100ul/25ul
¥800 - 2500





