相关产品推荐更多 >
万千商家帮你免费找货
0 人在求购买到急需产品
- 详细信息
- 技术资料
- 免疫原:
A synthetic peptide of human YWHAZ (NP_001129171.1).
- 形态:
liquid
- 保存条件:
Store at -20˚C
- 克隆性:
Polyclonal
- 适应物种:
Human;Mouse;Rat
- 保质期:
12 months
- 抗原来源:
Rabbit
- 供应商:
南京赛戈巍生物科技有限公司
- 宿主:
Rabbit
- 应用范围:
WB,IHC,IF
- 靶点:
Uniprot:P63104
- 抗体英文名:
YWHAZ Polyclonal Antibody
- 规格:
50ul/100ul
别名:YWHAZ; 14-3-3-zeta; HEL-S-3; HEL-S-93; HEL4; KCIP-1; YWHAD; 14-3-3 protein zeta/delta
计算分子量:28kDa
配方:Avoid freeze / thaw cycles.|Buffer: PBS with 50% glycerol, pH7.4.
应用详情:WB 1:500 - 1:2000
IHC 1:50 - 1:200
IF 1:50 - 1:200
图片:
计算分子量:28kDa
配方:Avoid freeze / thaw cycles.|Buffer: PBS with 50% glycerol, pH7.4.
应用详情:WB 1:500 - 1:2000
IHC 1:50 - 1:200
IF 1:50 - 1:200
图片:

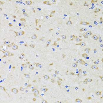
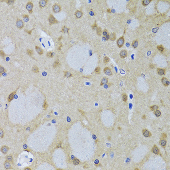
Immunohistochemistry of paraffin-embedded rat brain using YWHAZ antibody at dilution of 1:100 (40x lens).
,

Immunohistochemistry of paraffin-embedded mouse brain using YWHAZ antibody at dilution of 1:100 (40x lens).
,

Western blot analysis of extracts of various cell lines, using YWHAZ antibody at 1:1000 dilution.
风险提示:丁香通仅作为第三方平台,为商家信息发布提供平台空间。用户咨询产品时请注意保护个人信息及财产安全,合理判断,谨慎选购商品,商家和用户对交易行为负责。对于医疗器械类产品,请先查证核实企业经营资质和医疗器械产品注册证情况。
技术资料暂无技术资料 索取技术资料
YWHAZ Polyclonal Antibody[30992]
询价


![YWHAZ Polyclonal Antibody[30992]](https://img1.dxycdn.com/p/s14/2025/0923/305/2150219664296040791.jpg)


![MMP28 Conjugated Antibody[C35819]](https://img1.dxycdn.com/p/s14/2025/0923/278/4431488150116040791.jpg!wh200)
![ATG16L1 Antibody[43247]](https://img1.dxycdn.com/p/s14/2025/0922/568/0046652811090600791.jpg!wh200)
![TRAP Mouse mAb[60450]](https://img1.dxycdn.com/p/s14/2025/0922/632/2321321568067599691.jpg!wh200)
![14-3-3 ε Antibody[34145]](https://img1.dxycdn.com/p/s14/2025/0922/359/6146153295428599691.jpg!wh200)
