相关产品推荐更多 >
万千商家帮你免费找货
0 人在求购买到急需产品
- 详细信息
- 技术资料
- 免疫原:
Recombinant fusion protein of human NDE1 (NP_060138.1).
- 形态:
liquid
- 保存条件:
Store at -20˚C
- 克隆性:
Polyclonal
- 适应物种:
Human;Mouse;Rat
- 保质期:
12 months
- 抗原来源:
Rabbit
- 供应商:
南京赛戈巍生物科技有限公司
- 宿主:
Rabbit
- 应用范围:
WB,IHC
- 靶点:
Uniprot:Q9NXR1
- 抗体英文名:
NDE1 Polyclonal Antibody
- 规格:
50ul/100ul
别名:NDE1; HOM-TES-87; LIS4; MHAC; NDE; NUDE; NUDE1; nudE neurodevelopment protein 1
计算分子量:39kDa
配方:Avoid freeze / thaw cycles.|Buffer: PBS with 50% glycerol, pH7.4.
应用详情:WB 1:500 - 1:2000
IHC 1:50 - 1:200
图片:
计算分子量:39kDa
配方:Avoid freeze / thaw cycles.|Buffer: PBS with 50% glycerol, pH7.4.
应用详情:WB 1:500 - 1:2000
IHC 1:50 - 1:200
图片:

Western blot analysis of extracts of various cell lines, using NDE1 antibody.
,

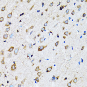
Immunohistochemistry of paraffin-embedded rat brain using NDE1 antibody.
,

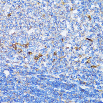
Immunohistochemistry of paraffin-embedded rat spleen using NDE1 antibody.
,

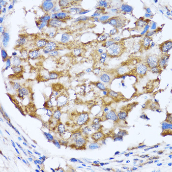
Immunohistochemistry of paraffin-embedded human breast cancer using NDE1 antibody.
风险提示:丁香通仅作为第三方平台,为商家信息发布提供平台空间。用户咨询产品时请注意保护个人信息及财产安全,合理判断,谨慎选购商品,商家和用户对交易行为负责。对于医疗器械类产品,请先查证核实企业经营资质和医疗器械产品注册证情况。
技术资料暂无技术资料 索取技术资料
NDE1 Polyclonal Antibody[30827]
询价


![NDE1 Polyclonal Antibody[30827]](https://img1.dxycdn.com/p/s14/2025/0923/305/2150219664296040791.jpg)


![PIP5K1C Conjugated Antibody[C37375]](https://img1.dxycdn.com/p/s14/2025/0923/278/4431488150116040791.jpg!wh200)
![CD70 Antibody[43184]](https://img1.dxycdn.com/p/s14/2025/0922/568/0046652811090600791.jpg!wh200)
![IL12/Biotin Conjugated antibody[C92919B]](https://img1.dxycdn.com/p/s14/2025/0922/632/2321321568067599691.jpg!wh200)
![Glutathione Peroxidase 1 Antibody[48490]](https://img1.dxycdn.com/p/s14/2025/0923/496/0462304380155040791.jpg!wh200)
