相关产品推荐更多 >
万千商家帮你免费找货
0 人在求购买到急需产品
- 详细信息
- 文献和实验
- 技术资料
- 形态:
liquid
- 保存条件:
Store at -20˚C
- 克隆性:
Monoclonal
- 适应物种:
Human
- 保质期:
12 months
- 抗原来源:
Mouse
- 供应商:
南京赛戈巍生物科技有限公司
- 宿主:
Mouse
- 应用范围:
IHC
- 抗体英文名:
TFE3 Antibody
- 规格:
50ul/100ul
应用详情:Recommended working dilution range:1:100 - 1:200
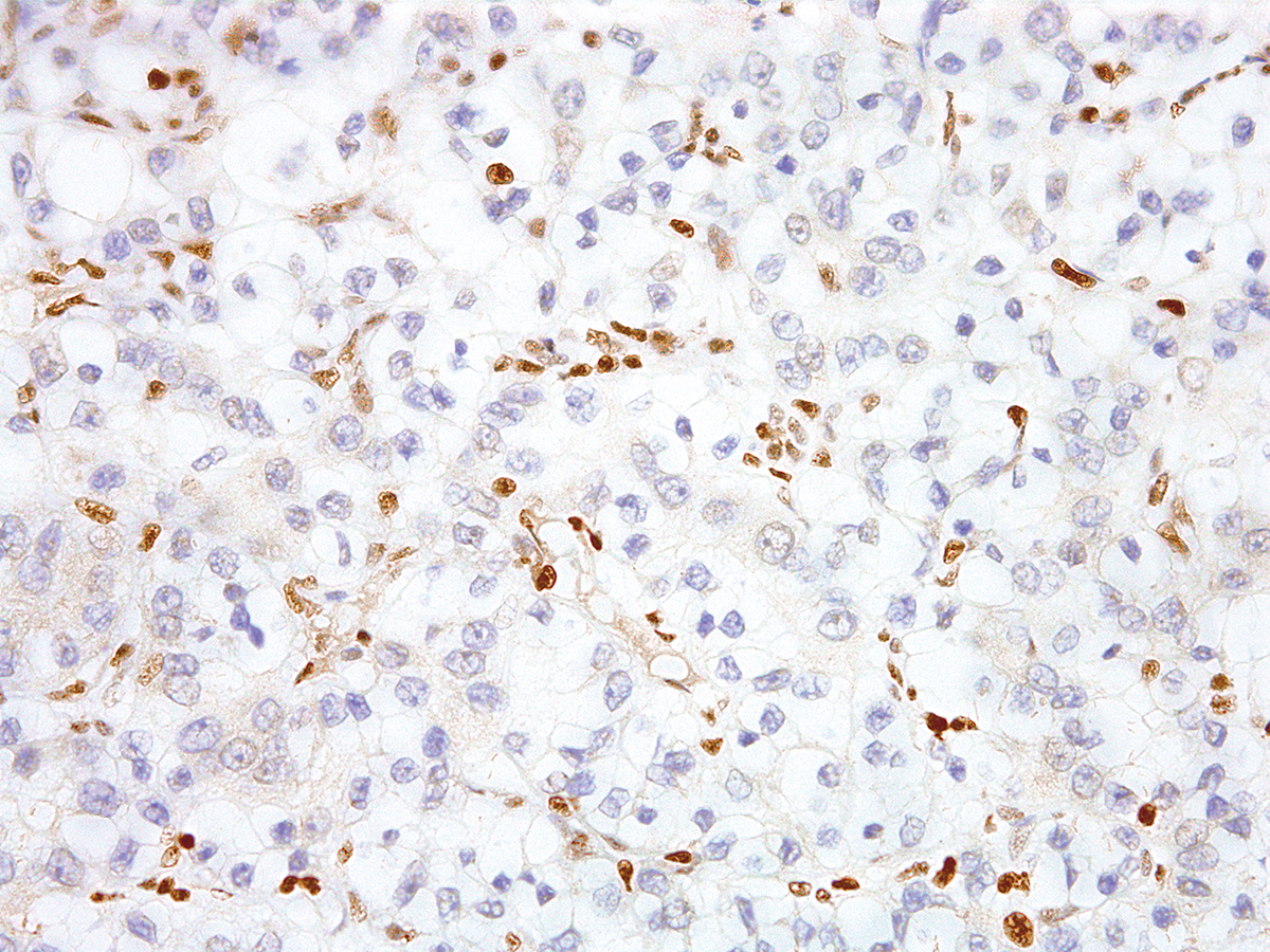
图片:

TFE3 [P1053] on Kidney
风险提示:丁香通仅作为第三方平台,为商家信息发布提供平台空间。用户咨询产品时请注意保护个人信息及财产安全,合理判断,谨慎选购商品,商家和用户对交易行为负责。对于医疗器械类产品,请先查证核实企业经营资质和医疗器械产品注册证情况。
文献和实验ELISA原理与实验方法The advantages of the ELISA are similar to other antibody-labeled reactions which include specificity, sensitivity, inexpensiveness, and safety. Since the enzyme label is the critical portion of ELISA, its selection is very important
2D-DIGE: Comparative Proteomics of Cellular Signalling Pathways
resolutive 2-D electrophoresis allows the separation of heterogeneous protein samples on the basis of isoelectric point (p I ), molecular mass (M r), solubility, and relative abundance ((1) J Biol Chem 250: 4007–4021, 1975; (2) Electrophoresis 14: 1067–1073
Phycoerythrin conjugation protocol
Phycoerythrin conjugation protocol David's method modified from references (2) and (3). I used this method to conjugate a mouse IgG2a monoclonal antibody (IB4). It works well. Reagents Ab Antibody
技术资料暂无技术资料 索取技术资料





![SMN2 Polyclonal Antibody[29864]](https://img1.dxycdn.com/p/s14/2025/0923/305/2150219664296040791.jpg!wh200)
![UQCC2 Antibody[47272]](https://img1.dxycdn.com/p/s14/2025/0923/496/0462304380155040791.jpg!wh200)


