相关产品推荐更多 >
万千商家帮你免费找货
0 人在求购买到急需产品
- 详细信息
- 文献和实验
- 技术资料
- 形态:
liquid
- 保存条件:
Store at -20˚C
- 克隆性:
Monoclonal
- 适应物种:
Human
- 保质期:
12 months
- 抗原来源:
Mouse
- 供应商:
南京赛戈巍生物科技有限公司
- 宿主:
Mouse
- 应用范围:
IHC
- 抗体英文名:
MUC5AC Antibody
- 规格:
50ul/100ul
应用详情:Recommended working dilution range:1:100 - 1:200
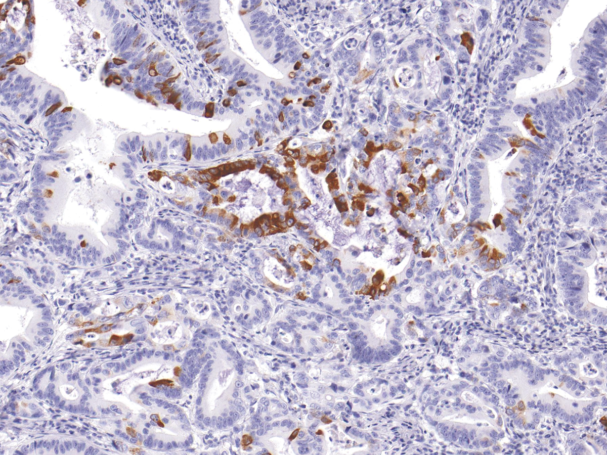
图片:

MUC5AC [P1048] on Stomach Cancer
风险提示:丁香通仅作为第三方平台,为商家信息发布提供平台空间。用户咨询产品时请注意保护个人信息及财产安全,合理判断,谨慎选购商品,商家和用户对交易行为负责。对于医疗器械类产品,请先查证核实企业经营资质和医疗器械产品注册证情况。
文献和实验上海西唐生物科技有限公司 021-55229872, 65333639 www.westang.com 人粘蛋白 ( MUC5AC )ELISA 试剂盒 ( 用于血清、血浆、细胞培养上清液和其它生物体液内 ) 原理 本实验采用双抗体夹心 ABC-ELISA 法。用抗人 MUC5AC 单抗包被于酶标板上,标准品和样品中的 MUC5AC与单抗结合,加入生物素化的抗人 MUC5AC
上海西唐生物科技有限公司 021-55229872, 65333639 www.westang.com 小鼠粘蛋白 ( MUC5AC )ELISA 试剂盒 ( 用于血清、血浆、细胞培养上清液和其它生物体液内 ) 原理 本实验采用双抗体夹心 ABC-ELISA 法。用抗小鼠 MUC5AC 单抗包被于酶标板上,标准品和样品中的 MUC5AC与单抗结合,加入生物
上海西唐生物科技有限公司 021-55229872, 65333639 www.westang.com 大鼠粘蛋白 (MUC5AC)ELISA 试剂盒 ( 用于血清、血浆、细胞培养上清液和其它生物体液内 ) 原理 本实验采用双抗体夹心 ABC-ELISA 法。用抗大鼠 MUC5AC 单抗包被于酶标板上,标准品和样品中的 MUC5AC 与单抗结合,加入生物素化的抗大鼠 MUC5AC ,形成免疫复合物连接
技术资料暂无技术资料 索取技术资料





![ACOT4 Conjugated Antibody[C34382]](https://img1.dxycdn.com/p/s14/2025/0923/278/4431488150116040791.jpg!wh200)

![CST1 Rabbit Polyclonal Antibody[29303]](https://img1.dxycdn.com/p/s14/2025/0922/498/0460884283108299691.jpg!wh200)
