相关产品推荐更多 >
万千商家帮你免费找货
0 人在求购买到急需产品
- 详细信息
- 文献和实验
- 技术资料
- 形态:
liquid
- 保存条件:
Store at -20˚C
- 克隆性:
Monoclonal
- 适应物种:
Human
- 保质期:
12 months
- 抗原来源:
Mouse
- 供应商:
南京赛戈巍生物科技有限公司
- 宿主:
Mouse
- 应用范围:
IHC
- 抗体英文名:
Cytokeratin 19 Antibody
- 规格:
50ul/100ul
应用详情:Recommended working dilution range:1:100 - 1:200
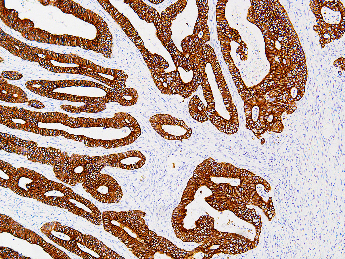
图片:

Cytokeratin 19 Antibody (P1008) on Colon- 10x
,

Cytokeratin 19 Antibody (P1008) on Colon- 20x
,

Cytokeratin 19 Antibody (P1008) on Colon- 40x
风险提示:丁香通仅作为第三方平台,为商家信息发布提供平台空间。用户咨询产品时请注意保护个人信息及财产安全,合理判断,谨慎选购商品,商家和用户对交易行为负责。对于医疗器械类产品,请先查证核实企业经营资质和医疗器械产品注册证情况。
文献和实验with a broad spectrum of cytokeratins of different molecular weights (including cytokeratins 5, 6, 8, 17, and possibly 19), i.e. it is considered a "pan-cytokeratin antibody" (although this antibody may not cover the cytokeratins of very low M.W. or very high M
/APCCD56-FITC/PE/APCB细胞及B细胞亚群CD19 MicroBeadsCD19 Multisort KitWhole Blood CD19 MicroBeadsCD20 MicroBeadsCD22 MicroBeadsNaive B Cell Isolation Kit IIB Cell Isolation Kit IICD27 MicroBeadsCD30 MicroBeadsCD69 MicroBead KitCD138 MicroBeadsMouse Anti-Human IgG
in the optimization of immunoassays, also with personal advice. References 1: Polifke, T & Rauch, P (2020). The Covid-19 antibody test challenge. https://www.bionity.com 2: McNaught, AD & Wilkinson, A (1997) IUPAC. Compendium of Chemical Terminology, 2nd ed
技术资料暂无技术资料 索取技术资料





![TDRD3 Polyclonal Antibody[30690]](https://img1.dxycdn.com/p/s14/2025/0923/305/2150219664296040791.jpg!wh200)

![Human lambda light chain-HRP Antibody[48077]](https://img1.dxycdn.com/p/s14/2025/0923/496/0462304380155040791.jpg!wh200)
![Mouse Anti-Pig IgG (H&L) Biotin[L35042]](https://img1.dxycdn.com/p/s14/2025/0922/498/0460884283108299691.jpg!wh200)

