相关产品推荐更多 >
万千商家帮你免费找货
0 人在求购买到急需产品
- 详细信息
- 技术资料
- 免疫原:
recombinant protein
- 形态:
liquid
- 保存条件:
Store at -20˚C
- 克隆性:
Monoclonal antibody
- 适应物种:
Human;Mouse;Rat
- 保质期:
12 months
- 抗原来源:
Recombinant Rabbit
- 供应商:
南京赛戈巍生物科技有限公司
- 宿主:
Recombinant Rabbit
- 应用范围:
WB, ICC/IF, IHC
- 靶点:
Uniprot:Q9Y6A5
- 抗体英文名:
TACC3 Rabbit mAb
- 规格:
50ul/100ul
ERIC-1 antibody
ERIC1 antibody
MGC117382 antibody
MGC133242 antibody
OTTHUMP00000113796 antibody
TACC3 antibody
TACC3_HUMAN antibody
Transforming acidic coiled coil containing protein 3 antibody
Transforming acidic coiled-coil-containing protein 3 antibody
计算分子量:140 kDa
配方:1*TBS (pH7.4), 1%BSA, 40%Glycerol. Preservative: 0.05% Sodium Azide.
应用详情:WB: 1:1,000-5,000
IHC: 1:100-1:500
ICC: 1:100-1:500
图片:
![TACC3 Rabbit mAb[49046]](https://img1.dxycdn.com/p/s14/2025/0923/133/2150886498656140791.png)
Western blot analysis of TACC3 on Hela cells lysates using anti-TACC3 antibody at 1/1,000 dilution.
,
![TACC3 Rabbit mAb[49046]](https://img1.dxycdn.com/p/s14/2025/0923/634/0088879923856140791.png)
Immunohistochemical analysis of paraffin-embedded human tonsil tissue using anti-TACC3 antibody. Counter stained with hematoxylin.
,
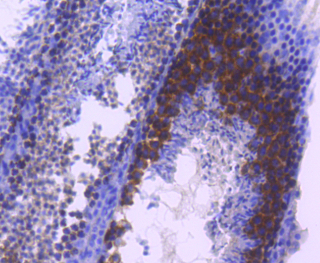
![TACC3 Rabbit mAb[49046]](https://img1.dxycdn.com/p/s14/2025/0923/458/0270916533856140791.png)
Immunohistochemical analysis of paraffin-embedded mouse testis tissue using anti-TACC3 antibody. Counter stained with hematoxylin.
,
![TACC3 Rabbit mAb[49046]](https://img1.dxycdn.com/p/s14/2025/0923/437/8028172826756140791.png)
ICC staining TACC3 in PANC-1 cells (green). The nuclear counter stain is DAPI (blue). Cells were fixed in paraformaldehyde, permeabilised with 0.25% Triton X100/PBS.
,
![TACC3 Rabbit mAb[49046]](https://img1.dxycdn.com/p/s14/2025/0923/811/2709351445756140791.png)
ICC staining TACC3 in PMVEC cells (green). The nuclear counter stain is DAPI (blue). Cells were fixed in paraformaldehyde, permeabilised with 0.25% Triton X100/PBS.
,
![TACC3 Rabbit mAb[49046]](https://img1.dxycdn.com/p/s14/2025/0923/303/2990491885756140791.png)
ICC staining TACC3 in PC-3M cells (green). The nuclear counter stain is DAPI (blue). Cells were fixed in paraformaldehyde, permeabilised with 0.25% Triton X100/PBS.
风险提示:丁香通仅作为第三方平台,为商家信息发布提供平台空间。用户咨询产品时请注意保护个人信息及财产安全,合理判断,谨慎选购商品,商家和用户对交易行为负责。对于医疗器械类产品,请先查证核实企业经营资质和医疗器械产品注册证情况。
技术资料暂无技术资料 索取技术资料


![TACC3 Rabbit mAb[49046]](https://img1.dxycdn.com/p/s14/2025/0923/496/0462304380155040791.jpg)


![CREB1 Antibody[42701]](https://img1.dxycdn.com/p/s14/2025/0922/568/0046652811090600791.jpg!wh200)
![FNTB Rabbit mAb[49018]](https://img1.dxycdn.com/p/s14/2025/0923/496/0462304380155040791.jpg!wh200)
![SST Mouse mAb[64277]](https://img1.dxycdn.com/p/s14/2025/0922/632/2321321568067599691.jpg!wh200)
![NGFRAP1 Rabbit Polyclonal Antibody[55169]](https://img1.dxycdn.com/p/s14/2025/0922/498/0460884283108299691.jpg!wh200)
