相关产品推荐更多 >
万千商家帮你免费找货
0 人在求购买到急需产品
- 详细信息
- 文献和实验
- 技术资料
- 免疫原:
peptide
- 形态:
liquid
- 保存条件:
Store at -20˚C
- 克隆性:
Polyclonal
- 适应物种:
Human;Mouse;Rat
- 保质期:
12 months
- 抗原来源:
Rabbit
- 供应商:
南京赛戈巍生物科技有限公司
- 宿主:
Rabbit
- 应用范围:
WB, ICC, IHC
- 靶点:
Uniprot:P0DMV8
- 抗体英文名:
HSP70 Antibody
- 规格:
50ul/100ul
Epididymis secretory protein Li 103 antibody
FLJ54303 antibody
FLJ54370 antibody
FLJ54392 antibody
FLJ54408 antibody
FLJ75127 antibody
Heat shock 70 kDa protein 1 antibody
Heat shock 70 kDa protein 1/2 antibody
Heat shock 70 kDa protein 1A/1B antibody
Heat shock 70kDa protein 1A antibody
Heat shock 70kDa protein 1B antibody
Heat shock induced protein antibody
HEL S 103 antibody
HSP70 1 antibody
HSP70 1B antibody
HSP70 2 antibody
HSP70-1/HSP70-2 antibody
HSP70-1A antibody
HSP70.1 antibody
HSP70.1/HSP70.2 antibody
HSP70I antibody
HSP71_HUMAN antibody
HSP72 antibody
HSPA1 antibody
HSPA1A antibody
HSPA1B antibody
计算分子量:70 kDa
配方:1*TBS (pH7.4), 1%BSA, 40%Glycerol. Preservative: 0.05% Sodium Azide.
应用详情:WB: 1:500
IHC: 1:200
ICC: 1:200
图片:

Western blot analysis of HSP70 on different cell lysates using anti-HSP70 antibody at 1/500 dilution. Positive control:
Lane 1: A549
Lane 2: MCF-7
Lane 3: HCT116
,

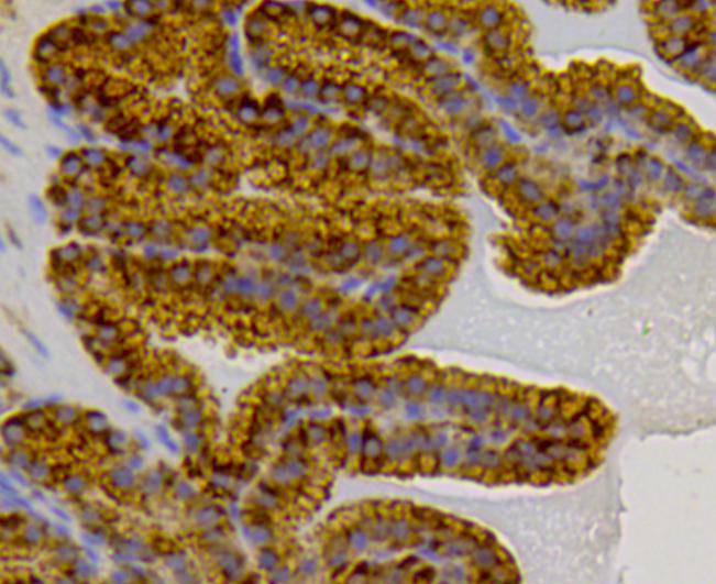
Immunohistochemical analysis of paraffin-embedded human breast cancer tissue using anti-HSP70 antibody. Counter stained with hematoxylin.
,

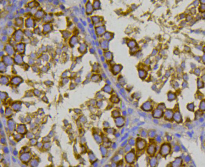
Immunohistochemical analysis of paraffin-embedded mouse testis tissue using anti-HSP70 antibody. Counter stained with hematoxylin.
,

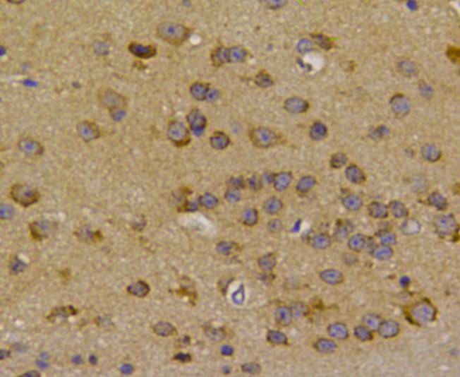
Immunohistochemical analysis of paraffin-embedded mouse brain tissue using anti-HSP70 antibody. Counter stained with hematoxylin.
,

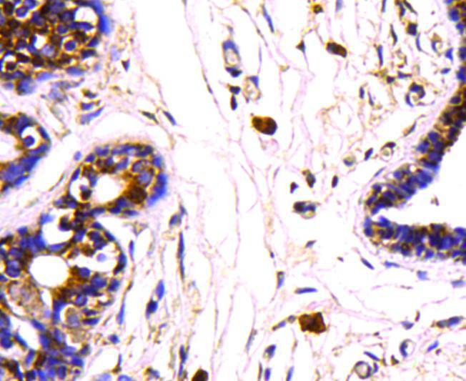
Immunohistochemical analysis of paraffin-embedded mouse prostate tissue using anti-HSP70 antibody. Counter stained with hematoxylin.
,

ICC staining HSP70 in SHG-44 cells (green). Cells were fixed in paraformaldehyde, permeabilised with 0.25% Triton X100/PBS.
,

ICC staining HSP70 in A431 cells (green). Cells were fixed in paraformaldehyde, permeabilised with 0.25% Triton X100/PBS.
,

ICC staining HSP70 in SKBR-3 cells (green). Cells were fixed in paraformaldehyde, permeabilised with 0.25% Triton X100/PBS.
风险提示:丁香通仅作为第三方平台,为商家信息发布提供平台空间。用户咨询产品时请注意保护个人信息及财产安全,合理判断,谨慎选购商品,商家和用户对交易行为负责。对于医疗器械类产品,请先查证核实企业经营资质和医疗器械产品注册证情况。
文献和实验Nucleotide Exchange Factors for Hsp70 Chaperones
The ATPase cycle of Hsp70 chaperones controls their transient association with substrate and, thus, governs their function in protein folding. Nucleotide exchange factors (NEFs) accelerate ADP release from Hsp70 which results in rebinding
Hsp70: Anti-apoptotic and Tumorigenic Protein
Heat shock protein 70 (Hsp70) is a powerful chaperone whose expression is induced in response to a wide variety of physiological and environmental insults, including anticancer chemotherapy, thus allowing the cell to survive to lethal
Generation of Antibody Molecules Through Antibody Engineering
been overcome to a large extent using genetic-engineering techniques to produce chimeric mouse/human and completely human antibodies. Such an approach is particularly suitable because of the domain structure of the antibody molecule ( 2 ), where functional
技术资料暂无技术资料 索取技术资料





![USP11 Rabbit mAb[52089]](https://img1.dxycdn.com/p/s14/2025/0922/498/0460884283108299691.jpg!wh200)
![LRRK2 Rabbit mAb[56032]](https://img1.dxycdn.com/p/s14/2025/0922/632/2321321568067599691.jpg!wh200)
![NAA40 Conjugated Antibody[C30910]](https://img1.dxycdn.com/p/s14/2025/0923/305/2150219664296040791.jpg!wh200)
