相关产品推荐更多 >
万千商家帮你免费找货
0 人在求购买到急需产品
- 详细信息
- 文献和实验
- 技术资料
- 免疫原:
peptide
- 形态:
liquid
- 保存条件:
Store at -20˚C
- 克隆性:
Polyclonal
- 适应物种:
Human;Mouse;Rat
- 保质期:
12 months
- 抗原来源:
Rabbit
- 供应商:
南京赛戈巍生物科技有限公司
- 宿主:
Rabbit
- 应用范围:
WB, ICC, IHC, FC
- 靶点:
Uniprot:P62993
- 抗体英文名:
GRB2 Antibody
- 规格:
50ul/100ul
Adapter protein GRB2 antibody
ASH antibody
Ash protein antibody
EGFRBP GRB2 antibody
Epidermal growth factor receptor binding protein antibody
Epidermal growth factor receptor binding protein GRB2 antibody
GRB 2 antibody
GRB2 adapter protein antibody
Grb2 antibody
GRB2_HUMAN antibody
Grb3 3 antibody
Growth factor receptor bound protein 2 antibody
Growth factor receptor bound protein 3 antibody
Growth factor receptor-bound protein 2 antibody
HT027 antibody
MST084 antibody
MSTP084 antibody
NCKAP2 antibody
OTTHUMP00000166096 antibody
OTTHUMP00000166097 antibody
OTTHUMP00000166098 antibody
Protein ash antibody
SEM5 antibody
SH2/SH3 adapter GRB2 antibody
计算分子量:25 kDa
配方:1*TBS (pH7.4), 1%BSA, 40%Glycerol. Preservative: 0.05% Sodium Azide.
应用详情:WB: 1:500
IHC: 1:200
ICC: 1:200
FC: 1:100-1:200
图片:

Western blot analysis of GRB2 on different cell lysates using anti-GRB2 antibody at 1/500 dilution.
,

Immunohistochemical analysis of paraffin-embedded human tonsil tissue using anti-GRB2 antibody. Counter stained with hematoxylin.
,

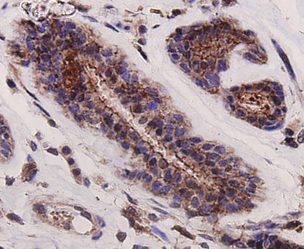
Immunohistochemical analysis of paraffin-embedded human breast cancer tissue using anti-GRB2 antibody. Counter stained with hematoxylin.
,

ICC staining GRB2 in HepG2 cells (green). Cells were fixed in paraformaldehyde, permeabilised with 0.25% Triton X100/PBS.
,

Flow cytometric analysis of SHG-44 cells with GRB2 antibody at 1/100 dilution (blue) compared with an unlabelled control (cells without incubation with primary antibody; red). Goat anti rabbit IgG (FITC) was used as the secondary antibody.
风险提示:丁香通仅作为第三方平台,为商家信息发布提供平台空间。用户咨询产品时请注意保护个人信息及财产安全,合理判断,谨慎选购商品,商家和用户对交易行为负责。对于医疗器械类产品,请先查证核实企业经营资质和医疗器械产品注册证情况。
文献和实验Grb2蛋白(growth factor receptor-bound protein 2)
Grb2是生长因子受体结合蛋白2,又叫Ash蛋白。该蛋白参与细胞内各种受体激活后的下游调节。它能够直接与激活的表皮生长因子受体磷酸化的酪氨酸结合,参与EGF受体介导的信号转导,也能通过与Shc磷酸化的酪氨酸结合间接参与由胰岛素受体介导的信号转导。Grb2能够同时与Shc、Sos结合形成Shc-Grb2-Sos复合物,并将Sos激活,激活的Sos与质膜上的Ras蛋白结合,并将其激活,引起信号级联反应。Grb2蛋白含有一个SH2结构域和两个SH3结构域,属SH蛋白。
Generation of Antibody Molecules Through Antibody Engineering
been overcome to a large extent using genetic-engineering techniques to produce chimeric mouse/human and completely human antibodies. Such an approach is particularly suitable because of the domain structure of the antibody molecule ( 2 ), where functional
The importance of antibody molecules was first recognized in the 1890s, when it was shown that immunity to tetanus and diphtheria was caused by antibodies against the bacterial exotoxins (1 ). Around the same time, it was shown that antisera
技术资料暂无技术资料 索取技术资料





![CSTB Antibody[37516]](https://img1.dxycdn.com/p/s14/2025/0922/359/6146153295428599691.jpg!wh200)
![CHCHD7 Rabbit Polyclonal Antibody[54553]](https://img1.dxycdn.com/p/s14/2025/0922/498/0460884283108299691.jpg!wh200)
![LAMC3 Conjugated Antibody[C34280]](https://img1.dxycdn.com/p/s14/2025/0923/278/4431488150116040791.jpg!wh200)
![ZNF680 Polyclonal Antibody[28791]](https://img1.dxycdn.com/p/s14/2025/0923/305/2150219664296040791.jpg!wh200)


