相关产品推荐更多 >
万千商家帮你免费找货
0 人在求购买到急需产品
- 详细信息
- 文献和实验
- 技术资料
- 免疫原:
peptide
- 形态:
liquid
- 保存条件:
Store at -20˚C
- 克隆性:
Polyclonal
- 适应物种:
Human;Mouse;Rat
- 保质期:
12 months
- 抗原来源:
Rabbit
- 供应商:
南京赛戈巍生物科技有限公司
- 宿主:
Rabbit
- 应用范围:
WB, ICC, IHC, FC
- 靶点:
Uniprot:P28482
- 抗体英文名:
ERK2 Antibody
- 规格:
50ul/100ul
ERK 2 antibody
ERK-2 antibody
ERK1 antibody
erk1/2 antibody
ERK2 antibody
ERT1 antibody
ERT2 antibody
Extracellular signal regulated kinase 1 antibody
Extracellular signal-regulated kinase 2 antibody
MAP kinase 1 antibody
MAP kinase 2 antibody
MAP kinase isoform p42 antibody
MAP kinase isoform p44 antibody
MAPK 1 antibody
MAPK 2 antibody
MAPK 3 antibody
Mapk1 antibody
MAPK2 antibody
MAPK3 antibody
Mitogen-activated protein kinase 1 antibody
Mitogen-activated protein kinase 2 antibody
MK01_HUMAN antibody
p38 antibody
p40 antibody
p41 antibody
p42-MAPK antibody
PRKM 2 antibody
计算分子量:42 kDa
配方:1*TBS (pH7.4), 1%BSA, 40%Glycerol. Preservative: 0.05% Sodium Azide.
应用详情:WB: 1:1,000-1:2,000
IHC: 1:200
ICC: 1:200
FC: 1:100-1:200
图片:

Western blot analysis of ERK2 on different cell lysates using anti- ERK2 antibody at 1/2000 dilution.
Positive control: Lane 1: Jurkat Lane 2:A431 Lane 3: PC12 Lane 4: NIH/3T3 Lane 5: Hela Lane 6: HT-29 Lane 7: MCF-7,

Immunohistochemical analysis of paraffin-embedded human breast carcinoma tissue using anti-ERK2 antibody. Counter stained with hematoxylin.
,

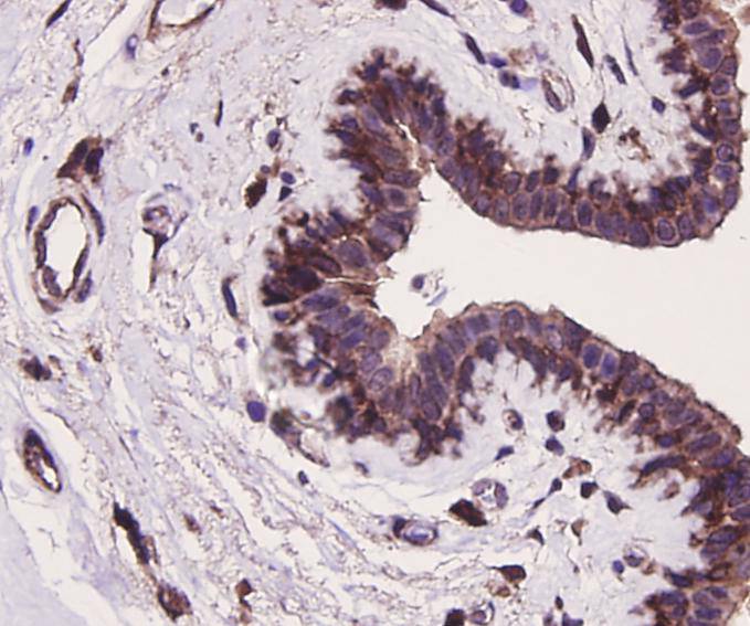
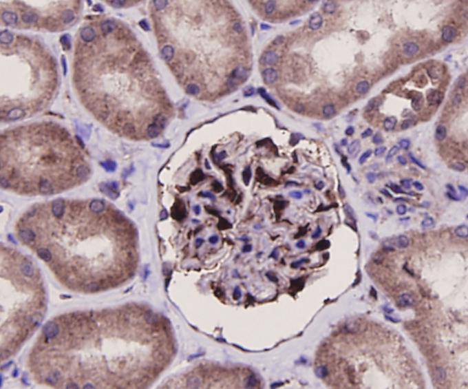
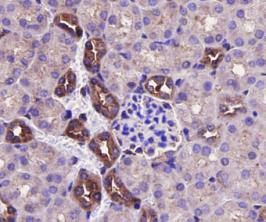
Immunohistochemical analysis of paraffin-embedded human kidney tissue using anti-ERK2 antibody. Counter stained with hematoxylin.
,

Immunohistochemical analysis of paraffin-embedded mouse kidney tissue using anti-ERK2 antibody. Counter stained with hematoxylin.
,

ICC staining of ERK2 in A549 cells (green). Cells were fixed in paraformaldehyde, permeabilised with 0.25% Triton X100/PBS.
,

Flow cytometric analysis of Hela?cells with SIRT1 antibody at 1/100 dilution (blue) compared with an unlabelled control (cells without incubation with primary antibody; red). Goat anti rabbit IgG (FITC) was used as the secondary antibody.
风险提示:丁香通仅作为第三方平台,为商家信息发布提供平台空间。用户咨询产品时请注意保护个人信息及财产安全,合理判断,谨慎选购商品,商家和用户对交易行为负责。对于医疗器械类产品,请先查证核实企业经营资质和医疗器械产品注册证情况。
文献和实验MAP-kinase antibody and anti-Dictyostelium ERK2 antibody. In this chapter, we describe the methods we have used to assess the level of activated ERK2 and partial involvement of G protein in cAMP-induced ERK2 activation.
yirenzhe ERK1与ERK2到底有什么区别?除分子量不同外。 doctormy ERK1 和 ERK2 的区别是个很大的研究课题,还有很多未知啊,呵呵 目前研究认为,ERK1 和ERK2 的上游激活路径高度相似,而且他们目前已知的下游靶点也非常一致。但当前有关区别的研究主要还是侧重于具体的生物学功能方面:人们发现ERK2与人体发育密切相关,对于学习和记忆的功能非常重要,而ERK1则不然;有学者认为
Reconstitution of the Nuclear Transport of the MAP Kinase ERK2
The nuclear–cytoplasmic distribution of ERK2 is regulated in response to various stimuli and changes in cell context. Furthermore, the nuclear flux of ERK2 occurs by several energy- and carrier-dependent and -independent mechanisms. ERK2
技术资料暂无技术资料 索取技术资料





![Jun B Polyclonal Antibody[46903]](https://img1.dxycdn.com/p/s14/2025/0922/568/0046652811090600791.jpg!wh200)
![Arginase-1 Antibody[P1011]](https://img1.dxycdn.com/p/s14/2025/0923/278/4431488150116040791.jpg!wh200)
![JAZF1 Antibody[47673]](https://img1.dxycdn.com/p/s14/2025/0923/496/0462304380155040791.jpg!wh200)
![SMG8 Antibody[37142]](https://img1.dxycdn.com/p/s14/2025/0922/359/6146153295428599691.jpg!wh200)
![FAM55C Conjugated Antibody[C48098]](https://img1.dxycdn.com/p/s14/2025/0923/305/2150219664296040791.jpg!wh200)
