相关产品推荐更多 >
万千商家帮你免费找货
0 人在求购买到急需产品
- 详细信息
- 技术资料
- 免疫原:
This antibody is produced by immunizing rabbits with a synthetic peptide (KLH-coupled) corresponding to the N-terminal of human BNDF
- 形态:
liquid
- 保存条件:
Store at -20˚C
- 克隆性:
Polyclonal
- 适应物种:
Human;Mouse;Rat
- 保质期:
12 months
- 抗原来源:
Rabbit
- 供应商:
南京赛戈巍生物科技有限公司
- 宿主:
Rabbit
- 应用范围:
WB, ICC, IHC
- 靶点:
Uniprot:P23560
- 抗体英文名:
BDNF Antibody
- 规格:
50ul/100ul
ANON2 antibody
BDNF antibody
BDNF_HUMAN antibody
Brain Derived Neurotrophic Factor antibody
Brain-derived neurotrophic factor antibody
BULN2 antibody
MGC34632 antibody
Neurotrophin antibody
计算分子量:28kDa
配方:1*TBS (pH7.4), 1%BSA, 40%Glycerol. Preservative: 0.05% Sodium Azide.
应用详情:WB: 1:500
IHC: 1:200
ICC: 1:200
图片:
![BDNF Antibody[48503]](https://img1.dxycdn.com/p/s14/2025/0923/835/0696981421034140791.jpg)
Western blot analysis of BDNF on different cell lysates using anti-BDNF antibody at 1/500 dilution.
Positive control: Lane 1: A172 Lane 2: SHG-44 Lane3: Mouse heart Lane 4: Mouse brain,
![BDNF Antibody[48503]](https://img1.dxycdn.com/p/s14/2025/0923/703/0021312452034140791.jpg)
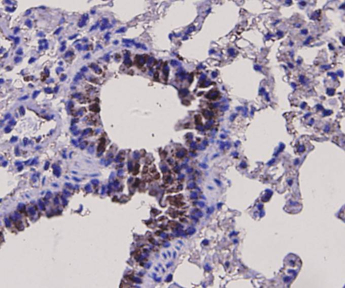
Immunohistochemical analysis of paraffin-embedded human lung tissue using anti-BDNF antibody. Counter stained with hematoxylin.
,
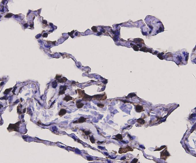
![BDNF Antibody[48503]](https://img1.dxycdn.com/p/s14/2025/0923/939/2789191943034140791.jpg)
Immunohistochemical analysis of paraffin-embedded mouse lung tissue using anti-BDNF antibody. Counter stained with hematoxylin.
,
![BDNF Antibody[48503]](https://img1.dxycdn.com/p/s14/2025/0923/349/8296366182034140791.jpg)
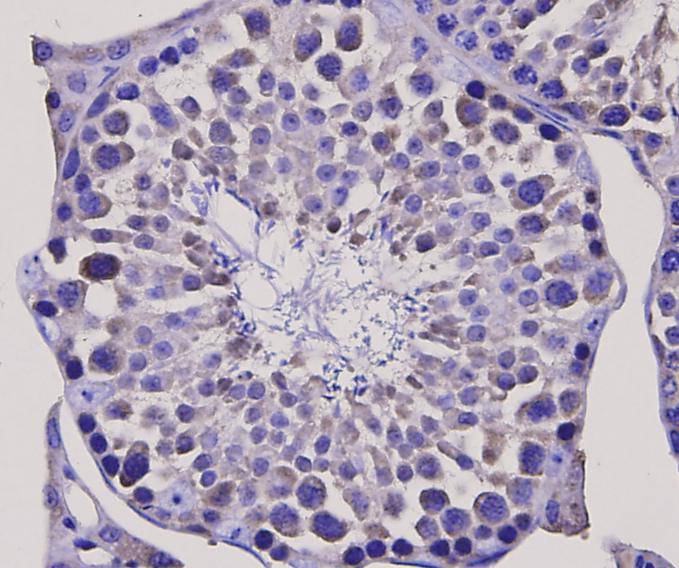
Immunohistochemical analysis of paraffin-embedded mouse testis tissue using anti-BDNF antibody. Counter stained with hematoxylin.
,
![BDNF Antibody[48503]](https://img1.dxycdn.com/p/s14/2025/0923/873/8066156181034140791.jpg)
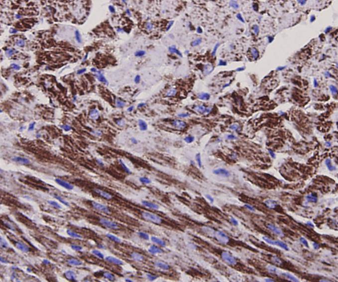
Immunohistochemical analysis of paraffin-embedded mouse heart tissue using anti-BDNF antibody. Counter stained with hematoxylin.
,
![BDNF Antibody[48503]](https://img1.dxycdn.com/p/s14/2025/0923/715/8062901842034140791.jpg)
ICC staining of BNDF in SHG-44 cells (green). The nuclear counter stain is DAPI (blue). Cells were fixed in paraformaldehyde, permeabilised with 0.25% Triton X100/PBS.
风险提示:丁香通仅作为第三方平台,为商家信息发布提供平台空间。用户咨询产品时请注意保护个人信息及财产安全,合理判断,谨慎选购商品,商家和用户对交易行为负责。对于医疗器械类产品,请先查证核实企业经营资质和医疗器械产品注册证情况。
技术资料暂无技术资料 索取技术资料


![BDNF Antibody[48503]](https://img1.dxycdn.com/p/s14/2025/0923/496/0462304380155040791.jpg)


![ZBTB4 Antibody[43968]](https://img1.dxycdn.com/p/s14/2025/0922/568/0046652811090600791.jpg!wh200)
![NFYB Antibody[47839]](https://img1.dxycdn.com/p/s14/2025/0923/278/4431488150116040791.jpg!wh200)
![GFM2 Antibody[34668]](https://img1.dxycdn.com/p/s14/2025/0922/359/6146153295428599691.jpg!wh200)
![PDGF Receptor beta Polyclonal Antibody Biotin Conjugated[C90121Bio]](https://img1.dxycdn.com/p/s14/2025/0922/498/0460884283108299691.jpg!wh200)
