相关产品推荐更多 >
万千商家帮你免费找货
0 人在求购买到急需产品
- 详细信息
- 技术资料
- 免疫原:
peptide
- 形态:
liquid
- 保存条件:
Store at -20˚C
- 克隆性:
Polyclonal
- 适应物种:
Human;Mouse;Rat;Zebrafish
- 保质期:
12 months
- 抗原来源:
Rabbit
- 供应商:
南京赛戈巍生物科技有限公司
- 宿主:
Rabbit
- 应用范围:
WB, IHC, ICC, FC, IF
- 靶点:
Uniprot:P68366
- 抗体英文名:
Alpha-tubulin Antibody
- 规格:
50ul/100ul
TUBA1A antibody
TUBA2 antibody
TUBA3 antibody
TUBA3C antibody
TUBA4A antibody
Tubulin, alpha 1a antibody
Tubulin, alpha 3c antibody
Tubulin, alpha 4a antibody
计算分子量:50 kDa
配方:1*TBS (pH7.4), 1%BSA, 40%Glycerol. Preservative: 0.05% Sodium Azide.
应用详情:WB: 1:5,000-1:10,000
IHC: 1:200-1:500
ICC: 1:200-1:500
FC: 1:50-1:100
图片:
![Alpha-tubulin Antibody[48502]](https://img1.dxycdn.com/p/s14/2025/0923/440/4205627225924140791.jpg)
Western blot analysis of Alpha-tubulin on different cell lysates using anti-Alpha -tubulin antibody at 1/10000 dilution. Positive control:
Lane 1: NIH/3T3
Lane2: HepG2
Lane3: PC12
Lane 4: Hela
,
![Alpha-tubulin Antibody[48502]](https://img1.dxycdn.com/p/s14/2025/0923/718/8024948766924140791.jpg)
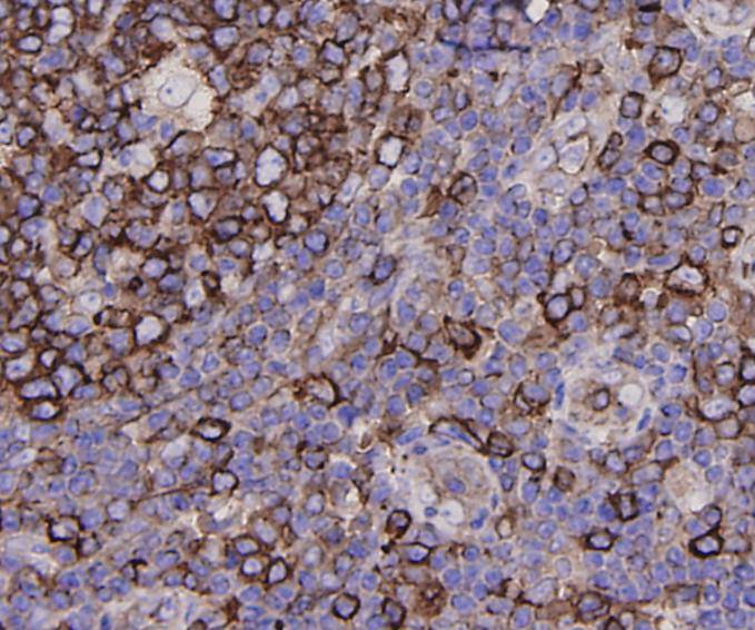
Immunohistochemical analysis of paraffin-embedded human tonsil tissue using anti-Alpha-tubulin antibody. Counter stained with hematoxylin.
,
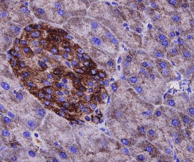
![Alpha-tubulin Antibody[48502]](https://img1.dxycdn.com/p/s14/2025/0923/466/4268966995924140791.jpg)
Immunohistochemical analysis of paraffin-embedded mouse pancreas tissue using anti-Alpha-tubulin antibody. Counter stained with hematoxylin.
,
![Alpha-tubulin Antibody[48502]](https://img1.dxycdn.com/p/s14/2025/0923/232/3363565325924140791.jpg)
ICC staining of Alpha-tubulin in HepG2 cells (green). The nuclear counter stain is DAPI (blue). Cells were fixed in paraformaldehyde, permeabilised with 0.25% Triton X100/PBS.
,
![Alpha-tubulin Antibody[48502]](https://img1.dxycdn.com/p/s14/2025/0923/612/8847429609924140791.jpg)
ICC staining of Alpha-tubulin in Hela cells (green). The nuclear counter stain is DAPI (blue). Cells were fixed in paraformaldehyde, permeabilised with 0.25% Triton X100/PBS.
,
![Alpha-tubulin Antibody[48502]](https://img1.dxycdn.com/p/s14/2025/0923/500/6581043937924140791.jpg)
IHC-P image of Alpha-tubulin staining with Alpha-tubulin antibody on tissue sections from human stomach. The secondary used was an Alexa-Fluor 555 conjugated goat anti-rabbit polyclonal.
,
![Alpha-tubulin Antibody[48502]](https://img1.dxycdn.com/p/s14/2025/0923/802/2363565325924140791.jpg)
Flow cytometric analysis of Hela?cells with Alpha-tubulin antibody at 1/100 dilution (blue) compared with an unlabelled control (cells without incubation with primary antibody; red). Goat anti rabbit IgG (FITC) was used as the secondary antibody.
风险提示:丁香通仅作为第三方平台,为商家信息发布提供平台空间。用户咨询产品时请注意保护个人信息及财产安全,合理判断,谨慎选购商品,商家和用户对交易行为负责。对于医疗器械类产品,请先查证核实企业经营资质和医疗器械产品注册证情况。
技术资料暂无技术资料 索取技术资料


![Alpha-tubulin Antibody[48502]](https://img1.dxycdn.com/p/s14/2025/0923/496/0462304380155040791.jpg)


![RAB5C / RABL Conjugated Antibody[C57056]](https://img1.dxycdn.com/p/s14/2025/0922/632/2321321568067599691.jpg!wh200)
![ADORA2B Antibody[43632]](https://img1.dxycdn.com/p/s14/2025/0922/568/0046652811090600791.jpg!wh200)
![LATS1/2 Conjugated Antibody[C33232]](https://img1.dxycdn.com/p/s14/2025/0923/278/4431488150116040791.jpg!wh200)
