相关产品推荐更多 >
万千商家帮你免费找货
0 人在求购买到急需产品
- 详细信息
- 文献和实验
- 技术资料
- 免疫原:
Amino acids 1-247 representing full length granzyme B of human origin.
- 形态:
liquid
- 保存条件:
Store at -20˚C
- 克隆性:
Monoclonal
- 适应物种:
Human;Mouse;Rat
- 保质期:
12 months
- 抗原来源:
Mouse
- 供应商:
南京赛戈巍生物科技有限公司
- 宿主:
Mouse
- 应用范围:
WB, IP, IF, IHC(P)
- 靶点:
Uniprot:P10144
- 抗体英文名:
Granzyme B Antibody
- 规格:
50ul/100ul
Cathepsin G like 1 antibody
Cathepsin G-like 1 antibody
CCPI antibody
CGL 1 antibody
CGL1 antibody
CSP B antibody
CSPB antibody
CTLA-1 antibody
CTLA1 antibody
CTSGL1 antibody
Cytotoxic serine protease B antibody
Cytotoxic T lymphocyte associated serine esterase 1 antibody
Cytotoxic T lymphocyte proteinase 2 antibody
Cytotoxic T-lymphocyte proteinase 2 antibody
Fragmentin 2 antibody
Fragmentin-2 antibody
GRAB_HUMAN antibody
Granzyme 2 antibody
Granzyme B (granzyme 2, cytotoxic T lymphocyte associated serine esterase 1) antibody
Granzyme B antibody
Granzyme-2 antibody
GranzymeB antibody
GRB antibody
Gzmb antibody
Hlp antibody
Human lymphocyte protein antibody
Lymphocyte protease antibody
Protease, serine, B antibody
SECT antibody
T cell serine protease 1-3E antibody
T-cell serine protease 1-3E antibody
计算分子量:32 kDa
配方:1*TBS (pH7.4), 1%BSA, 40%Glycerol. Preservative: 0.05% Sodium Azide.
应用详情:WB: 1:100-1:1,000
IHC: 1:50-500
IP: 1-2 μg per 100-500 μg of total protein(1 ml of cell lysate)
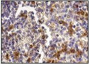
图片:

Western blot analysis of granzyme B expression in non-transfected(A)and human granzyme B transfected(B)293T whole cell lysates.
,

Immunoperoxidase staining of formalin fixed, paraffin-embedded human spleen tissue showing cytoplasmic staining of cells in red pulp.
风险提示:丁香通仅作为第三方平台,为商家信息发布提供平台空间。用户咨询产品时请注意保护个人信息及财产安全,合理判断,谨慎选购商品,商家和用户对交易行为负责。对于医疗器械类产品,请先查证核实企业经营资质和医疗器械产品注册证情况。
文献和实验and virus-infected cells is the release of perforin and granzyme proteins. Perforin proteins form pores in the membranes of the attacked cell, allowing the entry of Granzyme A and Granzyme B. Granzyme B induces caspase activation and cleavage of factors
Immunodetection of Granzyme B Tissue Distribution and Cellular Localisation
Investigation of Granzyme B (GrB) function and pathophysiology in both human settings and rodent models increasingly involve the use of indirect immunofluorescence imaging and fluorescence-activated cell sorting, which requires reliable GrB
Detection of Human and Mouse Granzyme B Activity in Cell Extracts
The serine protease granzyme B (GrB) is a key effector molecule in cell-mediated immunity, released by cytotoxic lymphocytes (CLs) to induce cell death in neoplastic or virus-infected cells. The ability to detect and measure GrB activity
技术资料暂无技术资料 索取技术资料





![Cytochrome P450 2C19 Antibody[47915]](https://img1.dxycdn.com/p/s14/2025/0923/278/4431488150116040791.jpg!wh200)
![KCNK17 Antibody[36566]](https://img1.dxycdn.com/p/s14/2025/0922/359/6146153295428599691.jpg!wh200)
![LYVE1 Conjugated Antibody[C49343]](https://img1.dxycdn.com/p/s14/2025/0922/498/0460884283108299691.jpg!wh200)
![CLUL1 Conjugated Antibody[C46957]](https://img1.dxycdn.com/p/s14/2025/0923/305/2150219664296040791.jpg!wh200)

