相关产品推荐更多 >
万千商家帮你免费找货
0 人在求购买到急需产品
- 详细信息
- 文献和实验
- 技术资料
- 免疫原:
Peptide
- 形态:
liquid
- 保存条件:
Store at -20˚C
- 克隆性:
Polyclonal
- 适应物种:
Human;Mouse
- 保质期:
12 months
- 抗原来源:
Rabbit
- 供应商:
南京赛戈巍生物科技有限公司
- 宿主:
Rabbit
- 应用范围:
WB, ICC, IHC
- 靶点:
Uniprot:P05181
- 抗体英文名:
Cytochrome P450 2E1 Antibody
- 规格:
50ul/100ul
CP2E1_HUMAN antibody
CPE1 antibody
CYP2E antibody
Cyp2e1 antibody
CYPIIE1 antibody
Cytochrome P450 2E1 antibody
Cytochrome P450 isozyme 3A antibody
Cytochrome P450 LM3A antibody
Cytochrome P450, family 2, subfamily e, polypeptide 1 antibody
cytochrome P450, subfamily IIE (ethanol-inducible), polypeptide 1 antibody
Cytochrome P450, subfamily IIE antibody
Cytochrome P450-ALC antibody
Cytochrome P450-J antibody
Cytochrome P450RLM6 antibody
EC 1.14.13.- antibody
EC 1.14.13.n7 antibody
Ethanol-inducible P450 antibody
Flavoprotein-linked monooxygenase antibody
MGC133529 antibody
Microsomal monooxygenase antibody
OTTHUMP00000020813 antibody
OTTHUMP00000046571 antibody
P450 ALC antibody
P450-J antibody
P450C2E antibody
P450J antibody
P450RLM6 antibody
Xenobiotic monooxygenase antibody
计算分子量:57 kDa
配方:1*TBS (pH7.4), 1%BSA, 40%Glycerol. Preservative: 0.05% Sodium Azide.
应用详情:WB: 1:1000
IHC: 1:50-1:200
ICC: 1:50-1:200
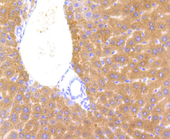
图片:

Western blot analysis of Cytochrome P450 2E1 on different lysates using anti-Cytochrome P450 2E1 antibody at 1/1000 dilution.
Positive control?? Lane 1: MCF-7 Lane 2: NIH-3T3 Lane 3: Mouse kidney tissue Lane 4: siHa
,

Immunohistochemical analysis of paraffin-embedded mouse liver tissue using anti-Cytochrome P450 2E1 antibody. Counter stained with hematoxylin.
,

ICC staining Cytochrome P450 2E1 in C2C12 cells (green). The nuclear counter stain is DAPI (blue). Cells were fixed in paraformaldehyde, permeabilised with 0.25% Triton X100/PBS.
,

ICC staining Cytochrome P450 2E1 in HepG2 cells (green). The nuclear counter stain is DAPI (blue). Cells were fixed in paraformaldehyde, permeabilised with 0.25% Triton X100/PBS.
风险提示:丁香通仅作为第三方平台,为商家信息发布提供平台空间。用户咨询产品时请注意保护个人信息及财产安全,合理判断,谨慎选购商品,商家和用户对交易行为负责。对于医疗器械类产品,请先查证核实企业经营资质和医疗器械产品注册证情况。
文献和实验Cytochrome P450 Reconstitution Systems
Human liver microsomes contain multiple forms of cytochrome P450 (CYP or P450) that catalyze oxidation of a number of xenobiotic and endobiotic chemicals. Individual P450 forms have unique, but overlapping, substrate specificities
Genotyping for Cytochrome P450 Polymorphisms
Protocols for the extraction of DNA from human blood and for genotyping for a number of common cytochrome P450 polymorphisms using either polymerase chain reaction (PCR)-restriction fragment length polymorphism or PCR-single-strand
With genome projects spewing forth DNA sequence at tens of Megabases per year, the problem of genetic nomenclature becomes daunting. In the field of cytochrome P450 (P450), there are more than 750 sequences and they are accumulating rapidly
技术资料暂无技术资料 索取技术资料





![Stat5(Phospho-Y694) Conjugated Antibody[C13386]](https://img1.dxycdn.com/p/s14/2025/0923/278/4431488150116040791.jpg!wh200)
![PITRM1 Antibody[39736]](https://img1.dxycdn.com/p/s14/2025/0922/359/6146153295428599691.jpg!wh200)
![Cytochrome c Polyclonal Antibody[29153]](https://img1.dxycdn.com/p/s14/2025/0922/498/0460884283108299691.jpg!wh200)
