相关产品推荐更多 >
万千商家帮你免费找货
0 人在求购买到急需产品
- 详细信息
- 技术资料
- 免疫原:
peptide
- 形态:
liquid
- 保存条件:
Store at -20˚C
- 克隆性:
Polyclonal
- 适应物种:
Human;Mouse;Rat
- 保质期:
12 months
- 抗原来源:
Rabbit
- 供应商:
南京赛戈巍生物科技有限公司
- 宿主:
Rabbit
- 应用范围:
WB, ICC, IHC
- 靶点:
Uniprot:P26599
- 抗体英文名:
PTBP1 Antibody
- 规格:
50ul/100ul
别名:57 kDa RNA binding protein PPTB 1 antibody
57 kDa RNA-binding protein PPTB-1 antibody
Heterogeneous nuclear ribonucleoprotein I antibody
Heterogeneous Nuclear Ribonucleoprotein Polypeptide I antibody
hnRNP I antibody
HNRNP-I antibody
HNRNPI antibody
HNRPI antibody
MGC10830 antibody
MGC8461 antibody
Polypyrimidine tract binding protein (heterogeneous nuclear ribonucleoprotein I) antibody
Polypyrimidine Tract Binding Protein 1 antibody
Polypyrimidine tract binding protein antibody
Polypyrimidine tract-binding protein 1 antibody
pPTB antibody
PTB 1 antibody
PTB 2 antibody
PTB 3 antibody
PTB 4 antibody
PTB antibody
PTB T antibody
PTB1 antibody
PTB2 antibody
PTB3 antibody
PTB4 antibody
PTBP 1 antibody
PTBP1 antibody
PTBP1_HUMAN antibody
PTBT antibody
RNA Binding Protein antibody
计算分子量:57 kDa
配方:1*TBS (pH7.4), 1%BSA, 40%Glycerol. Preservative: 0.05% Sodium Azide.
应用详情:WB: 1:1000-1:2,000
IHC: 1:200
ICC: 1:200
图片:
57 kDa RNA-binding protein PPTB-1 antibody
Heterogeneous nuclear ribonucleoprotein I antibody
Heterogeneous Nuclear Ribonucleoprotein Polypeptide I antibody
hnRNP I antibody
HNRNP-I antibody
HNRNPI antibody
HNRPI antibody
MGC10830 antibody
MGC8461 antibody
Polypyrimidine tract binding protein (heterogeneous nuclear ribonucleoprotein I) antibody
Polypyrimidine Tract Binding Protein 1 antibody
Polypyrimidine tract binding protein antibody
Polypyrimidine tract-binding protein 1 antibody
pPTB antibody
PTB 1 antibody
PTB 2 antibody
PTB 3 antibody
PTB 4 antibody
PTB antibody
PTB T antibody
PTB1 antibody
PTB2 antibody
PTB3 antibody
PTB4 antibody
PTBP 1 antibody
PTBP1 antibody
PTBP1_HUMAN antibody
PTBT antibody
RNA Binding Protein antibody
计算分子量:57 kDa
配方:1*TBS (pH7.4), 1%BSA, 40%Glycerol. Preservative: 0.05% Sodium Azide.
应用详情:WB: 1:1000-1:2,000
IHC: 1:200
ICC: 1:200
图片:
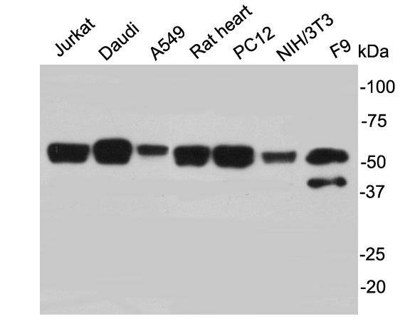
![PTBP1 Antibody[48201]](https://img1.dxycdn.com/p/s14/2025/0923/508/6528001999823140791.jpg)
Western blot analysis on cell lysates using anti- PTBP1 rabbit polyclonal antibodies.
,
![PTBP1 Antibody[48201]](https://img1.dxycdn.com/p/s14/2025/0923/376/2766706621923140791.jpg)
Immunohistochemical analysis of paraffin-embedded mouse testis tissue using anti- PTBP1 rabbit polyclonal antibody.
,
![PTBP1 Antibody[48201]](https://img1.dxycdn.com/p/s14/2025/0923/967/0259523599823140791.jpg)
ICC staining PTBP1 in Hela cells (green). Cells were fixed in paraformaldehyde.
风险提示:丁香通仅作为第三方平台,为商家信息发布提供平台空间。用户咨询产品时请注意保护个人信息及财产安全,合理判断,谨慎选购商品,商家和用户对交易行为负责。对于医疗器械类产品,请先查证核实企业经营资质和医疗器械产品注册证情况。
技术资料暂无技术资料 索取技术资料
PTBP1 Antibody[48201]
询价


![PTBP1 Antibody[48201]](https://img1.dxycdn.com/p/s14/2025/0923/496/0462304380155040791.jpg)


![CD300F Mouse mAb[63338]](https://img1.dxycdn.com/p/s14/2025/0922/632/2321321568067599691.jpg!wh200)
![Histone H2A.x Polyclonal Antibody HRP Conjugated[C91763HRP]](https://img1.dxycdn.com/p/s14/2025/0922/498/0460884283108299691.jpg!wh200)

