相关产品推荐更多 >
万千商家帮你免费找货
0 人在求购买到急需产品
- 详细信息
- 技术资料
- 免疫原:
peptide
- 形态:
liquid
- 保存条件:
Store at -20˚C
- 克隆性:
Polyclonal
- 适应物种:
Human;Mouse;Rat
- 保质期:
12 months
- 抗原来源:
Rabbit
- 供应商:
南京赛戈巍生物科技有限公司
- 宿主:
Rabbit
- 应用范围:
WB, ICC, IHC
- 靶点:
Uniprot:Q15075
- 抗体英文名:
EEA1 Antibody
- 规格:
50ul/100ul
别名:Early endosome antigen 1 antibody
Early endosome antigen 1, 162kD antibody
Early endosome associated protein antibody
EEA 1 antibody
EEA1 antibody
EEA1_HUMAN antibody
Endosome associated protein p162 antibody
Endosome-associated protein p162 antibody
MST105 antibody
MSTP105 antibody
ZFYVE2 antibody
Zinc finger FYVE domain containing protein 2 antibody
Zinc finger FYVE domain-containing protein 2 antibody
计算分子量:162kDa
配方:1*TBS (pH7.4), 1%BSA, 40%Glycerol. Preservative: 0.05% Sodium Azide.
应用详情:WB: 1:1000
ICC: 1:100-1:200
图片:
Early endosome antigen 1, 162kD antibody
Early endosome associated protein antibody
EEA 1 antibody
EEA1 antibody
EEA1_HUMAN antibody
Endosome associated protein p162 antibody
Endosome-associated protein p162 antibody
MST105 antibody
MSTP105 antibody
ZFYVE2 antibody
Zinc finger FYVE domain containing protein 2 antibody
Zinc finger FYVE domain-containing protein 2 antibody
计算分子量:162kDa
配方:1*TBS (pH7.4), 1%BSA, 40%Glycerol. Preservative: 0.05% Sodium Azide.
应用详情:WB: 1:1000
ICC: 1:100-1:200
图片:
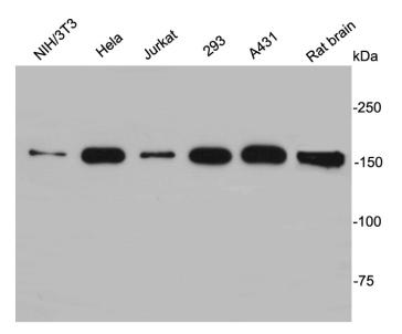
![EEA1 Antibody[48192]](https://img1.dxycdn.com/p/s14/2025/0923/295/0633682437723140791.jpg)
Western blot analysis on different cell lysates using anti-EEA1 rabbit polyclonal antibodies.
,
![EEA1 Antibody[48192]](https://img1.dxycdn.com/p/s14/2025/0923/966/0257430737723140791.jpg)
ICC staining EEA1 in NIH/3T3 cells (green). Cells were fixed in paraformaldehyde, permeabilised with 0.25% Triton X100/PBS.
风险提示:丁香通仅作为第三方平台,为商家信息发布提供平台空间。用户咨询产品时请注意保护个人信息及财产安全,合理判断,谨慎选购商品,商家和用户对交易行为负责。对于医疗器械类产品,请先查证核实企业经营资质和医疗器械产品注册证情况。
技术资料暂无技术资料 索取技术资料
EEA1 Antibody[48192]
询价


![EEA1 Antibody[48192]](https://img1.dxycdn.com/p/s14/2025/0923/496/0462304380155040791.jpg)


![LMNA Mouse mAb[63873]](https://img1.dxycdn.com/p/s14/2025/0922/632/2321321568067599691.jpg!wh200)
![MPC2 Rabbit Polyclonal Antibody[54651]](https://img1.dxycdn.com/p/s14/2025/0922/498/0460884283108299691.jpg!wh200)
![ARCN1 Antibody[46311]](https://img1.dxycdn.com/p/s14/2025/0923/496/0462304380155040791.jpg!wh200)
![CD137 Polyclonal Antibody[40694]](https://img1.dxycdn.com/p/s14/2025/0922/568/0046652811090600791.jpg!wh200)
