相关产品推荐更多 >
万千商家帮你免费找货
0 人在求购买到急需产品
- 详细信息
- 文献和实验
- 技术资料
- 免疫原:
Synthetic peptide of human DOCK11
- 形态:
liquid
- 保存条件:
Store at -20˚C
- 克隆性:
Polyclonal
- 适应物种:
Human
- 保质期:
12 months
- 抗原来源:
Rabbit
- 供应商:
南京赛戈巍生物科技有限公司
- 宿主:
Rabbit
- 应用范围:
IHC
- 靶点:
Uniprot:Q5JSL3
- 抗体英文名:
DOCK11 Antibody
- 规格:
50ul/100ul
配方:Rabbit IgG in pH7.4 PBS, 0.05% NaN3, 40% Glycerol.
应用详情:
Immunofluorescence:1: 20-100
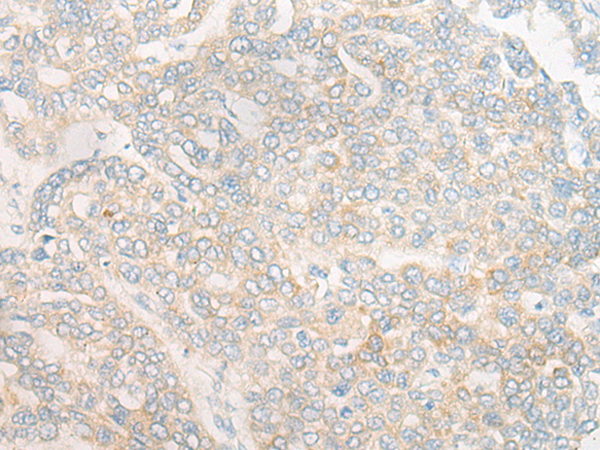
图片:

The image is immunohistochemistry of paraffin-embedded Human liver cancer tissue using 47074(DOCK11 Antibody) at dilution 1/35. (Original magnification: ?00)
,

The image is immunohistochemistry of paraffin-embedded Human gastric cancer tissue using 47074(DOCK11 Antibody) at dilution 1/35. (Original magnification: ?00)
风险提示:丁香通仅作为第三方平台,为商家信息发布提供平台空间。用户咨询产品时请注意保护个人信息及财产安全,合理判断,谨慎选购商品,商家和用户对交易行为负责。对于医疗器械类产品,请先查证核实企业经营资质和医疗器械产品注册证情况。
文献和实验11-脱氧皮质〔甾〕酮 11-deoxycorticosterone
C21 H30 O3 , 21-羟基孕烯 -4-二酮 -3, 20。也单称脱氧皮质〔甾〕酮,或缩写 DOC。是副肾皮质激素的一种,具有糖代谢作用。由副肾皮质细胞的微粒体的 21-羟化酶的作用,从黄体酮进行生物合成的。其乙酸酯缩写为 DOCA,应用于临床。由于在副肾皮质细胞的线粒体中的 11β -羟化酶的作用可生成皮质酮,所以通常也认为是一种中间体。
A Dock and Lock Approach to Preparation of Targeted Liposomes
We developed a strategy for covalent coupling of targeting proteins to liposomes decorated with a standard adapter protein. This strategy is based on “dock and lock” the interactions between two mutated fragments of human RNase I, a 1–15-aa
IMMUNOSCREENING OF LAMBDA-GT11 BACTERIOPHAGE LIBRARIES WITH ANTIBODY PROBES
dishes of lysed E. coli to reduce anti-E. coli antibody background. These antibodies are present in all human sera, rabbit sera, and rodent sera. For each Petri dish containing solidified LB agar, mix 0.6ml of the Y1090 overnight-saturated culture with 30
技术资料暂无技术资料 索取技术资料





![Integrin Alpha V / Beta 1 Polyclonal Antibody PE-Cy7 Conjugated[C91440PE-Cy7]](https://img1.dxycdn.com/p/s14/2025/0922/498/0460884283108299691.jpg!wh200)
![OLFML3 Antibody[47173]](https://img1.dxycdn.com/p/s14/2025/0923/496/0462304380155040791.jpg!wh200)
![TOPRS Antibody[44788]](https://img1.dxycdn.com/p/s14/2025/0922/568/0046652811090600791.jpg!wh200)
![PKNOX1 Polyclonal Antibody[28905]](https://img1.dxycdn.com/p/s14/2025/0923/305/2150219664296040791.jpg!wh200)

