相关产品推荐更多 >
万千商家帮你免费找货
0 人在求购买到急需产品
- 详细信息
- 技术资料
- 免疫原:
Recombinant protein of human HSPH1.
- 形态:
liquid
- 保存条件:
Store at -20˚C
- 克隆性:
Polyclonal
- 适应物种:
Human;Mouse;Rat
- 保质期:
12 months
- 抗原来源:
Rabbit
- 供应商:
南京赛戈巍生物科技有限公司
- 宿主:
Rabbit
- 应用范围:
WB,IHC
- 靶点:
Uniprot:Q92598
- 抗体英文名:
HSPH1 antibody
- 规格:
50ul/100ul
配方:Supplied at 1.0mg/mL in phosphate buffered saline (without Mg2+ and Ca2+), pH 7.4, 150mM NaCl, 0.02% sodium azide and 50% glycerol.
应用详情:Western blotting: 1:500 - 1:2000
图片:
![HSPH1 antibody[39052]](https://img1.dxycdn.com/p/s14/2025/0922/904/6148413389042899691.jpg)
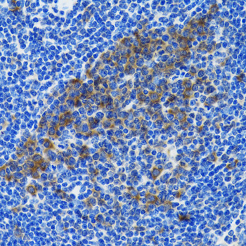
Immunohistochemistry of paraffin-embedded rat spleen using HSPH1 antibody at dilution of 1:100 (40x lens).
,
![HSPH1 antibody[39052]](https://img1.dxycdn.com/p/s14/2025/0922/546/2743518929042899691.jpg)
Immunohistochemistry of paraffin-embedded rat fallopian tube using HSPH1 antibody at dilution of 1:100 (40x lens).
,
![HSPH1 antibody[39052]](https://img1.dxycdn.com/p/s14/2025/0922/191/8465727979042899691.jpg)
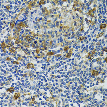
Immunohistochemistry of paraffin-embedded human tonsil using HSPH1 antibody at dilution of 1:100 (40x lens).
,
![HSPH1 antibody[39052]](https://img1.dxycdn.com/p/s14/2025/0922/933/6735468202142899691.jpg)
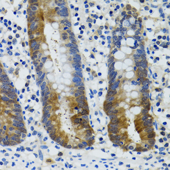
Immunohistochemistry of paraffin-embedded human vermiform appendix using HSPH1 antibody at dilution of 1:100 (40x lens).
,
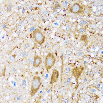
![HSPH1 antibody[39052]](https://img1.dxycdn.com/p/s14/2025/0922/729/0274503139042899691.jpg)
Immunohistochemistry of paraffin-embedded mouse spinal cord using HSPH1 antibody at dilution of 1:100 (40x lens).
,
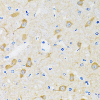
![HSPH1 antibody[39052]](https://img1.dxycdn.com/p/s14/2025/0922/398/6779508778042899691.jpg)
Immunohistochemistry of paraffin-embedded mouse brain using HSPH1 antibody at dilution of 1:100 (40x lens).
,
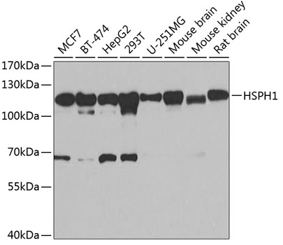
![HSPH1 antibody[39052]](https://img1.dxycdn.com/p/s14/2025/0922/874/0025977678042899691.jpg)
Western blot analysis of extracts of various cell lines, using HSPH1 antibody at 1:1000 dilution.
风险提示:丁香通仅作为第三方平台,为商家信息发布提供平台空间。用户咨询产品时请注意保护个人信息及财产安全,合理判断,谨慎选购商品,商家和用户对交易行为负责。对于医疗器械类产品,请先查证核实企业经营资质和医疗器械产品注册证情况。
技术资料暂无技术资料 索取技术资料


![HSPH1 antibody[39052]](https://img1.dxycdn.com/p/s14/2025/0922/359/6146153295428599691.jpg)


![LGALS13 Antibody[39876]](https://img1.dxycdn.com/p/s14/2025/0922/568/0046652811090600791.jpg!wh200)
![FAK (Phospho-Ser732) Polyclonal Antibody[13872]](https://img1.dxycdn.com/p/s14/2025/0922/498/0460884283108299691.jpg!wh200)
