相关产品推荐更多 >
万千商家帮你免费找货
0 人在求购买到急需产品
- 详细信息
- 技术资料
- 免疫原:
Recombinant fusion protein of human IRAK4 (NP_057207.2).
- 形态:
liquid
- 保存条件:
Store at -20˚C
- 克隆性:
Polyclonal
- 适应物种:
Human;Mouse;Rat
- 保质期:
12 months
- 抗原来源:
Rabbit
- 供应商:
南京赛戈巍生物科技有限公司
- 宿主:
Rabbit
- 应用范围:
WB,IHC,IF
- 靶点:
Uniprot:Q9NWZ3
- 抗体英文名:
IRAK4 antibody
- 规格:
50ul/100ul
配方:PBS with 0.02% sodium azide,50% glycerol,pH7.3.
应用详情:WB 1:500 - 1:2000
IHC 1:50 - 1:200
IF 1:50 - 1:200
图片:
![IRAK4 antibody[38750]](https://img1.dxycdn.com/p/s14/2025/0922/390/2557299527951899691.jpg)
Western blot analysis of extracts of Rat lung, using IRAK4 antibody.
,
![IRAK4 antibody[38750]](https://img1.dxycdn.com/p/s14/2025/0922/384/0821614601061899691.jpg)
Immunohistochemistry of paraffin-embedded rat spleen using IRAK4 Rabbit pAb.
,
![IRAK4 antibody[38750]](https://img1.dxycdn.com/p/s14/2025/0922/519/6378680758951899691.jpg)
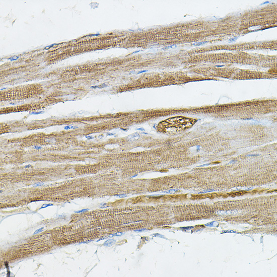
Immunohistochemistry of paraffin-embedded rat heart using IRAK4 Rabbit pAb.
,
![IRAK4 antibody[38750]](https://img1.dxycdn.com/p/s14/2025/0922/761/0291259858951899691.jpg)
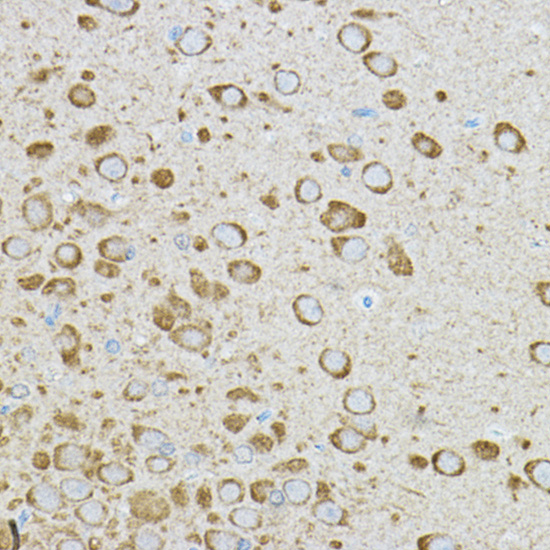
Immunohistochemistry of paraffin-embedded rat brain using IRAK4 Rabbit pAb.
,
![IRAK4 antibody[38750]](https://img1.dxycdn.com/p/s14/2025/0922/490/0067145780061899691.jpg)
Immunohistochemistry of paraffin-embedded rat heart using IRAK4 Rabbit pAb.
,
![IRAK4 antibody[38750]](https://img1.dxycdn.com/p/s14/2025/0922/221/8216507229951899691.jpg)
Immunohistochemistry of paraffin-embedded human lung cancer using IRAK4 Rabbit pAb.
,
![IRAK4 antibody[38750]](https://img1.dxycdn.com/p/s14/2025/0922/105/4494114868951899691.jpg)
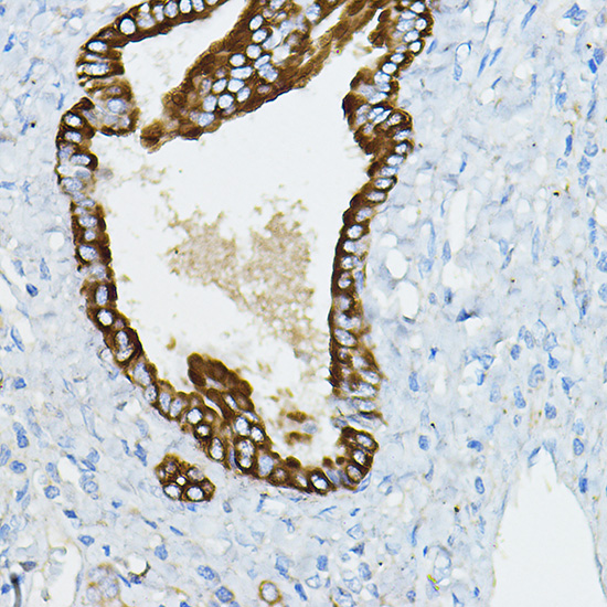
Immunohistochemistry of paraffin-embedded Human hepatobiliary duct using IRAK4 Rabbit pAb.
,
![IRAK4 antibody[38750]](https://img1.dxycdn.com/p/s14/2025/0922/912/4874508067951899691.jpg)
Immunofluorescence analysis of Jurkat cells using IRAK4 Rabbit pAb.
,
![IRAK4 antibody[38750]](https://img1.dxycdn.com/p/s14/2025/0922/909/6100740848951899691.jpg)
Immunofluorescence analysis of NIH/3T3 cells using IRAK4 Rabbit pAb.
,
![IRAK4 antibody[38750]](https://img1.dxycdn.com/p/s14/2025/0922/802/0671641828951899691.jpg)
Immunofluorescence analysis of PC-12 cells using IRAK4 Rabbit pAb.
,
![IRAK4 antibody[38750]](https://img1.dxycdn.com/p/s14/2025/0922/644/4878194659951899691.jpg)
Immunofluorescence analysis of RAW264.7 cells using IRAK4 Rabbit pAb.
,
![IRAK4 antibody[38750]](https://img1.dxycdn.com/p/s14/2025/0922/992/4222926200061899691.jpg)
Immunofluorescence analysis of THP-1 cells using IRAK4 Rabbit pAb.
风险提示:丁香通仅作为第三方平台,为商家信息发布提供平台空间。用户咨询产品时请注意保护个人信息及财产安全,合理判断,谨慎选购商品,商家和用户对交易行为负责。对于医疗器械类产品,请先查证核实企业经营资质和医疗器械产品注册证情况。
技术资料暂无技术资料 索取技术资料


![IRAK4 antibody[38750]](https://img1.dxycdn.com/p/s14/2025/0922/359/6146153295428599691.jpg)


![MEF2D Conjugated Antibody[C43752]](https://img1.dxycdn.com/p/s14/2025/0923/305/2150219664296040791.jpg!wh200)

![ATOH1 antibody[38983]](https://img1.dxycdn.com/p/s14/2025/0922/359/6146153295428599691.jpg!wh200)
![TUSC2 Conjugated Antibody[C40349]](https://img1.dxycdn.com/p/s14/2025/0923/278/4431488150116040791.jpg!wh200)
