相关产品推荐更多 >
万千商家帮你免费找货
0 人在求购买到急需产品
- 详细信息
- 技术资料
- 免疫原:
Recombinant fusion protein of human RGS2 (NP_002914.1).
- 形态:
liquid
- 保存条件:
Store at -20˚C
- 克隆性:
Polyclonal
- 适应物种:
Human
- 保质期:
12 months
- 抗原来源:
Rabbit
- 供应商:
南京赛戈巍生物科技有限公司
- 宿主:
Rabbit
- 应用范围:
WB,IHC
- 靶点:
Uniprot:P41220
- 抗体英文名:
RGS2 antibody
- 规格:
50ul/100ul
别名:RGS2;G0S8
配方:PBS with 0.02% sodium azide,50% glycerol,pH7.3.
应用详情:WB 1:500 - 1:2000
IHC 1:50 - 1:200
图片:
配方:PBS with 0.02% sodium azide,50% glycerol,pH7.3.
应用详情:WB 1:500 - 1:2000
IHC 1:50 - 1:200
图片:
![RGS2 antibody[38301]](https://img1.dxycdn.com/p/s14/2025/0922/358/8849957140040899691.jpg)
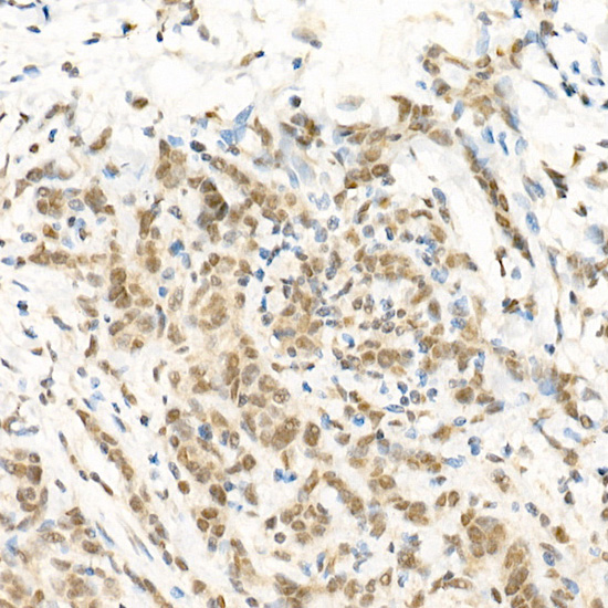
Immunohistochemistry of paraffin-embedded human breast cancer using RGS2 Rabbit pAb.
,
![RGS2 antibody[38301]](https://img1.dxycdn.com/p/s14/2025/0922/493/6796440440040899691.jpg)
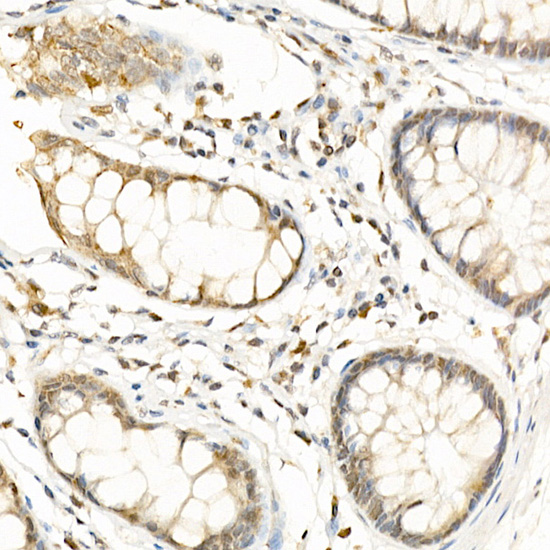
Immunohistochemistry of paraffin-embedded human colon using RGS2 Rabbit pAb.
,
![RGS2 antibody[38301]](https://img1.dxycdn.com/p/s14/2025/0922/627/6161762299930899691.jpg)
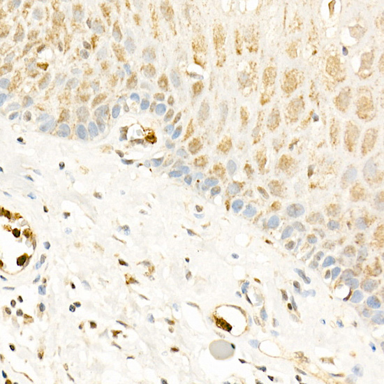
Immunohistochemistry of paraffin-embedded human esophagus using RGS2 Rabbit pAb.
风险提示:丁香通仅作为第三方平台,为商家信息发布提供平台空间。用户咨询产品时请注意保护个人信息及财产安全,合理判断,谨慎选购商品,商家和用户对交易行为负责。对于医疗器械类产品,请先查证核实企业经营资质和医疗器械产品注册证情况。
技术资料暂无技术资料 索取技术资料
RGS2 antibody[38301]
询价


![RGS2 antibody[38301]](https://img1.dxycdn.com/p/s14/2025/0922/359/6146153295428599691.jpg)


![HisRS Polyclonal Conjugated Antibody[C41006]](https://img1.dxycdn.com/p/s14/2025/0923/278/4431488150116040791.jpg!wh200)
![BECN1 Antibody[36768]](https://img1.dxycdn.com/p/s14/2025/0922/359/6146153295428599691.jpg!wh200)
![SYNPO Antibody[43151]](https://img1.dxycdn.com/p/s14/2025/0922/568/0046652811090600791.jpg!wh200)

