相关产品推荐更多 >
万千商家帮你免费找货
0 人在求购买到急需产品
- 详细信息
- 技术资料
- 免疫原:
Synthetic peptide of human UBE2I
- 形态:
liquid
- 保存条件:
Store at -20˚C
- 克隆性:
Polyclonal
- 适应物种:
Human;Mouse;Rat
- 保质期:
12 months
- 抗原来源:
Rabbit
- 供应商:
南京赛戈巍生物科技有限公司
- 宿主:
Rabbit
- 应用范围:
WB IHC
- 靶点:
Uniprot:P63279
- 抗体英文名:
UBE2I Antibody
- 规格:
50ul/100ul
别名:P18; UBC9; C358B7.1
计算分子量:18kd
配方:Rabbit IgG in pH7.4 PBS, 0.05% NaN3, 40% Glycerol.
应用详情: Western blotting: 1:200-1:1000
Immunohistochemistry: 1:100-1:200
图片:
计算分子量:18kd
配方:Rabbit IgG in pH7.4 PBS, 0.05% NaN3, 40% Glycerol.
应用详情: Western blotting: 1:200-1:1000
Immunohistochemistry: 1:100-1:200
图片:
![UBE2I Antibody[43252]](https://img1.dxycdn.com/p/s14/2025/0922/435/8461106240169600791.jpg)
Gel: 12%SDS-PAGE
Lysate: 40 μg
Lane 1-3: TM4, hela and 293T cell
Primary antibody: 1/500 dilution
Secondary antibody: Goat anti rabbit IgG at 1/8000 dilution
Exposure time: 10 seconds
,
![UBE2I Antibody[43252]](https://img1.dxycdn.com/p/s14/2025/0922/372/0401191490169600791.jpg)
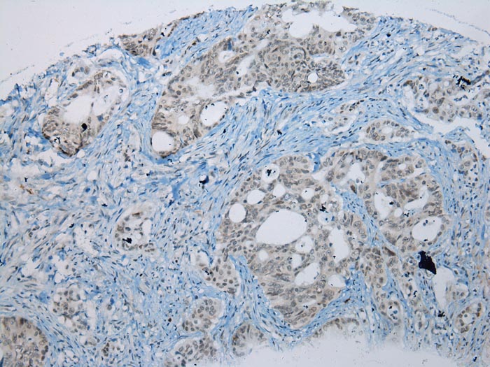
Immunohistochemical analysis of paraffin-embedded Human Colorectal tissue using #43252 at dilution 1/200.
,
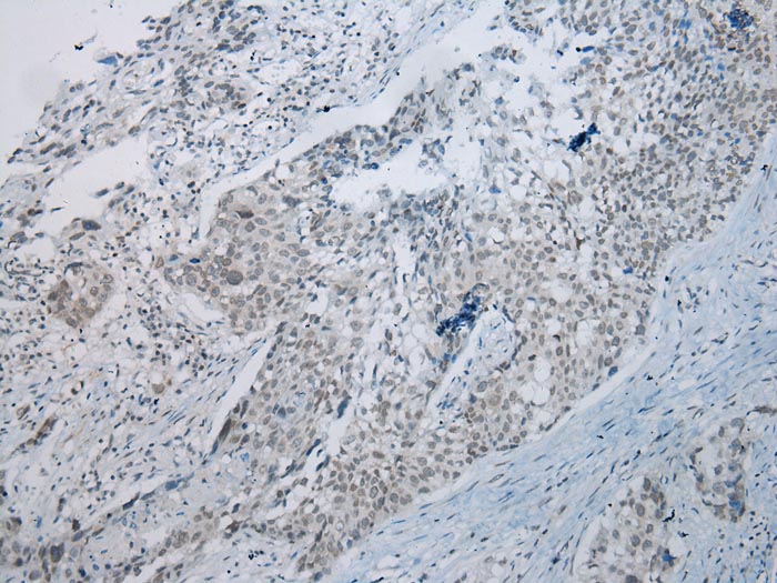
![UBE2I Antibody[43252]](https://img1.dxycdn.com/p/s14/2025/0922/363/4435016490169600791.jpg)
Immunohistochemical analysis of paraffin-embedded Human Lung tissue using #43252 at dilution 1/200.
风险提示:丁香通仅作为第三方平台,为商家信息发布提供平台空间。用户咨询产品时请注意保护个人信息及财产安全,合理判断,谨慎选购商品,商家和用户对交易行为负责。对于医疗器械类产品,请先查证核实企业经营资质和医疗器械产品注册证情况。
技术资料暂无技术资料 索取技术资料
UBE2I Antibody[43252]
询价


![UBE2I Antibody[43252]](https://img1.dxycdn.com/p/s14/2025/0922/568/0046652811090600791.jpg)


![TRPV3 Polyclonal Antibody[48836]](https://img1.dxycdn.com/p/s14/2025/0922/632/2321321568067599691.jpg!wh200)
![PRKACG Conjugated Antibody[C35881]](https://img1.dxycdn.com/p/s14/2025/0923/278/4431488150116040791.jpg!wh200)
![ATP5S Antibody[34455]](https://img1.dxycdn.com/p/s14/2025/0922/359/6146153295428599691.jpg!wh200)
![ATG4C Rabbit mAb[52163]](https://img1.dxycdn.com/p/s14/2025/0922/498/0460884283108299691.jpg!wh200)
