相关产品推荐更多 >
万千商家帮你免费找货
0 人在求购买到急需产品
- 详细信息
- 技术资料
- 免疫原:
Fusion protein of human RPS10
- 形态:
liquid
- 保存条件:
Store at -20˚C
- 克隆性:
Polyclonal
- 适应物种:
Human
- 保质期:
12 months
- 抗原来源:
Rabbit
- 供应商:
南京赛戈巍生物科技有限公司
- 宿主:
Rabbit
- 应用范围:
WB IHC
- 靶点:
Uniprot:P46783
- 抗体英文名:
RPS10 Antibody
- 规格:
50ul/100ul
别名:S10; DBA9
计算分子量:19kd
配方:Rabbit IgG in pH7.4 PBS, 0.05% NaN3, 40% Glycerol.
应用详情:Western blotting: 1:500-1:2000
Immunohistochemistry: 1:10-1:50
图片:
计算分子量:19kd
配方:Rabbit IgG in pH7.4 PBS, 0.05% NaN3, 40% Glycerol.
应用详情:Western blotting: 1:500-1:2000
Immunohistochemistry: 1:10-1:50
图片:
![RPS10 Antibody[43045]](https://img1.dxycdn.com/p/s14/2025/0922/666/6549963875298600791.jpg)
Gel: 12%SDS-PAGE
Lysate: 40 μg
Lane 1-3: Hela, raji and MCF7 cell
Primary antibody: 1/400 dilution
Secondary antibody: Goat anti rabbit IgG at 1/8000 dilution
Exposure time: 1 minute
,
![RPS10 Antibody[43045]](https://img1.dxycdn.com/p/s14/2025/0922/975/0217599286298600791.jpg)
Immunohistochemical analysis of paraffin-embedded Human liver cancer tissue using #43045 at dilution 1/20.
,
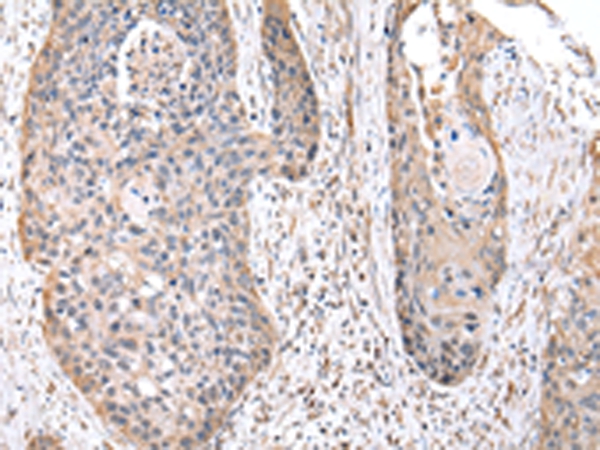
![RPS10 Antibody[43045]](https://img1.dxycdn.com/p/s14/2025/0922/081/4241514386298600791.jpg)
Immunohistochemical analysis of paraffin-embedded Human esophagus cancer tissue using #43045 at dilution 1/20.
风险提示:丁香通仅作为第三方平台,为商家信息发布提供平台空间。用户咨询产品时请注意保护个人信息及财产安全,合理判断,谨慎选购商品,商家和用户对交易行为负责。对于医疗器械类产品,请先查证核实企业经营资质和医疗器械产品注册证情况。
技术资料暂无技术资料 索取技术资料
RPS10 Antibody[43045]
询价


![RPS10 Antibody[43045]](https://img1.dxycdn.com/p/s14/2025/0922/568/0046652811090600791.jpg)


![PTAFR Antibody[37204]](https://img1.dxycdn.com/p/s14/2025/0922/359/6146153295428599691.jpg!wh200)
![ZC3H12D Conjugated Antibody[C30220]](https://img1.dxycdn.com/p/s14/2025/0923/305/2150219664296040791.jpg!wh200)
![PTGIS Antibody[43129]](https://img1.dxycdn.com/p/s14/2025/0922/568/0046652811090600791.jpg!wh200)
