相关产品推荐更多 >
万千商家帮你免费找货
0 人在求购买到急需产品
- 详细信息
- 技术资料
- 免疫原:
Full length fusion protein
- 形态:
liquid
- 保存条件:
Store at -20˚C
- 克隆性:
Polyclonal
- 适应物种:
Human
- 保质期:
12 months
- 抗原来源:
Rabbit
- 供应商:
南京赛戈巍生物科技有限公司
- 宿主:
Rabbit
- 应用范围:
WB IHC
- 靶点:
Uniprot:O00161
- 抗体英文名:
SNAP23 Antibody
- 规格:
50ul/100ul
配方:Rabbit IgG in pH7.4 PBS, 0.05% NaN3, 40% Glycerol.
应用详情:Western blotting: 1:500-1:2000
Immunohistochemistry:1:25-1:100
图片:
![SNAP23 Antibody[40111]](https://img1.dxycdn.com/p/s14/2025/0922/218/4287111934781600791.jpg)
Gel: 12%SDS-PAGE
Lysates (from left to right): Human placenta tissue and hela cell, hepg2 cell and human fetal liver tissue, A549 cell and human normal kidney tissue
Amount of lysate: 40ug per lane
Primary antibody: 1/400 dilution
Secondary antibody dilution: 1/8000
Exposure time: 15 seconds
,
![SNAP23 Antibody[40111]](https://img1.dxycdn.com/p/s14/2025/0922/070/6908817934781600791.jpg)
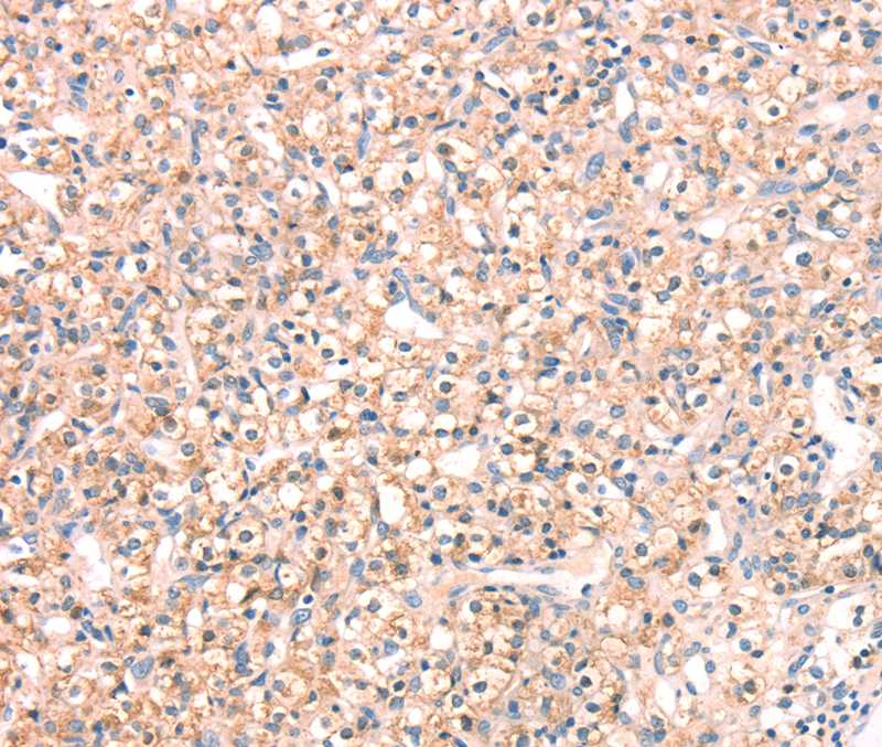
Immunohistochemical analysis of paraffin-embedded Human prostate cancer tissue using #40111 at dilution 1/25.
,
![SNAP23 Antibody[40111]](https://img1.dxycdn.com/p/s14/2025/0922/056/8028919744781600791.jpg)
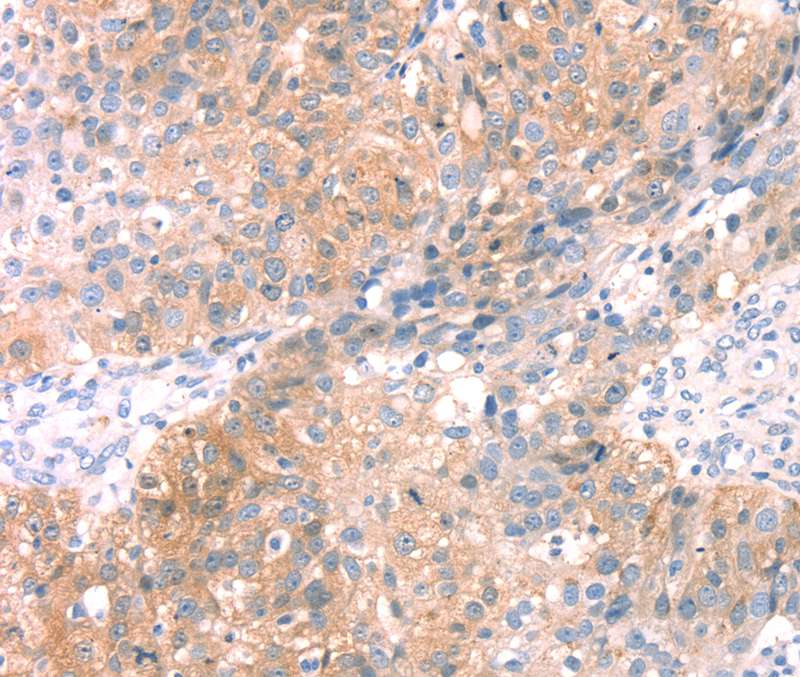
Immunohistochemical analysis of paraffin-embedded Human breast cancer tissue using #40111 at dilution 1/25.
风险提示:丁香通仅作为第三方平台,为商家信息发布提供平台空间。用户咨询产品时请注意保护个人信息及财产安全,合理判断,谨慎选购商品,商家和用户对交易行为负责。对于医疗器械类产品,请先查证核实企业经营资质和医疗器械产品注册证情况。
技术资料暂无技术资料 索取技术资料


![SNAP23 Antibody[40111]](https://img1.dxycdn.com/p/s14/2025/0922/568/0046652811090600791.jpg)


![Interferon beta Rabbit mAb[56135]](https://img1.dxycdn.com/p/s14/2025/0922/632/2321321568067599691.jpg!wh200)
![CLECSF6 Polyclonal Conjugated Antibody[C46747]](https://img1.dxycdn.com/p/s14/2025/0923/305/2150219664296040791.jpg!wh200)
![Sarcoglycan-β Antibody[45387]](https://img1.dxycdn.com/p/s14/2025/0922/568/0046652811090600791.jpg!wh200)
![STAT3(Phospho-Tyr705) Conjugated Antibody[C13344]](https://img1.dxycdn.com/p/s14/2025/0923/278/4431488150116040791.jpg!wh200)
