相关产品推荐更多 >
万千商家帮你免费找货
0 人在求购买到急需产品
- 详细信息
- 文献和实验
- 技术资料
- 免疫原:
Recombinant protein of human SOX2.
- 形态:
liquid
- 保存条件:
Store at -20˚C
- 克隆性:
Polyclonal
- 适应物种:
Human;Mouse;Rat
- 保质期:
12 months
- 抗原来源:
Rabbit
- 供应商:
南京赛戈巍生物科技有限公司
- 宿主:
Rabbit
- 应用范围:
WB,IHC,IF
- 靶点:
Uniprot:P48431
- 抗体英文名:
SOX2 antibody
- 规格:
50ul/100ul
配方:Supplied at 1.0mg/mL in phosphate buffered saline (without Mg2+ and Ca2+), pH 7.4, 150mM NaCl, 0.02% sodium azide and 50% glycerol.
应用详情:WB 1:500 - 1:2000
IHC 1:50 - 1:200
IF 1:50 - 1:200
IP 1:50 - 1:200
图片:

Immunofluorescence analysis of A549 cells using SOX2 antibody.
,

Western blot analysis of extracts from normal (control) and SOX2 knockout (KO) 293T cells, using SOX2 antibody at 1:1000 dilution.
,

Western blot analysis of extracts of various cell lines, using SOX2 antibody at 1:1000 dilution.
,

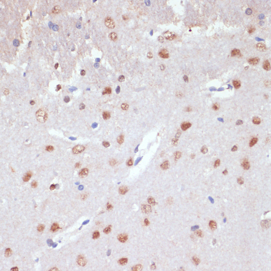
Immunohistochemistry of paraffin-embedded rat brain using SOX2 antibody at dilution of 1:200 (40x lens).
,

Immunohistochemistry of paraffin-embedded mouse brain using SOX2 antibody at dilution of 1:200 (40x lens).
风险提示:丁香通仅作为第三方平台,为商家信息发布提供平台空间。用户咨询产品时请注意保护个人信息及财产安全,合理判断,谨慎选购商品,商家和用户对交易行为负责。对于医疗器械类产品,请先查证核实企业经营资质和医疗器械产品注册证情况。
文献和实验Generation of Antibody Molecules Through Antibody Engineering
been overcome to a large extent using genetic-engineering techniques to produce chimeric mouse/human and completely human antibodies. Such an approach is particularly suitable because of the domain structure of the antibody molecule ( 2 ), where functional
Induced Pluripotent Stem Cells (iPSC) from Cord Blood CD133+ Cells Using Oct4 and Sox2
only two transcription factors OCT4 and SOX2. The methods for establishment and maintenance of CB-derived iPS (CB-iPS) cells are similar, with some modifications, to those for human iPSCs derived from fibroblasts. In particular, this protocol includes a detailed
The importance of antibody molecules was first recognized in the 1890s, when it was shown that immunity to tetanus and diphtheria was caused by antibodies against the bacterial exotoxins (1 ). Around the same time, it was shown that antisera
技术资料暂无技术资料 索取技术资料





![AREG Conjugated Antibody[C32476]](https://img1.dxycdn.com/p/s14/2025/0923/278/4431488150116040791.jpg!wh200)
![Histone H3K36me1Conjugated Antibody[CHW009]](https://img1.dxycdn.com/p/s14/2025/0923/305/2150219664296040791.jpg!wh200)
![CD79B Conjugated Antibody[C56362]](https://img1.dxycdn.com/p/s14/2025/0922/632/2321321568067599691.jpg!wh200)


