相关产品推荐更多 >
万千商家帮你免费找货
0 人在求购买到急需产品
- 详细信息
- 技术资料
- 免疫原:
Synthetic peptide corresponding to residues near the C terminal of human integrin, alpha M (complement component 3 receptor 3 subunit)
- 形态:
liquid
- 保存条件:
Store at -20˚C
- 克隆性:
Polyclonal
- 适应物种:
Human
- 保质期:
12 months
- 抗原来源:
Rabbit
- 供应商:
南京赛戈巍生物科技有限公司
- 宿主:
Rabbit
- 应用范围:
IHC
- 靶点:
Uniprot:P11215
- 抗体英文名:
ITGAM Antibody
- 规格:
50ul/100ul
别名:CR3A; MO1A; CD11B; MAC-1; MAC1A; SLEB6
配方:Rabbit IgG in pH7.3 PBS, 0.05% NaN3, 50% Glycerol.
应用详情:Immunohistochemistry: 1:25-1:100
图片:
配方:Rabbit IgG in pH7.3 PBS, 0.05% NaN3, 50% Glycerol.
应用详情:Immunohistochemistry: 1:25-1:100
图片:
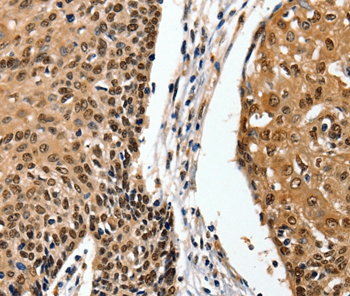
![ITGAM Antibody[36962]](https://img1.dxycdn.com/p/s14/2025/0922/034/4262444408995799691.jpg)
Immunohistochemical analysis of paraffin-embedded Human esophagus cancer tissue using #36962 at dilution 1/20.
,
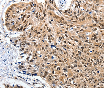
![ITGAM Antibody[36962]](https://img1.dxycdn.com/p/s14/2025/0922/754/6315951208995799691.jpg)
Immunohistochemical analysis of paraffin-embedded Human cervica cancer tissue using #36962 at dilution 1/20.
风险提示:丁香通仅作为第三方平台,为商家信息发布提供平台空间。用户咨询产品时请注意保护个人信息及财产安全,合理判断,谨慎选购商品,商家和用户对交易行为负责。对于医疗器械类产品,请先查证核实企业经营资质和医疗器械产品注册证情况。
技术资料暂无技术资料 索取技术资料
ITGAM Antibody[36962]
询价


![ITGAM Antibody[36962]](https://img1.dxycdn.com/p/s14/2025/0922/359/6146153295428599691.jpg)


![CD177 Mouse mAb[63271]](https://img1.dxycdn.com/p/s14/2025/0922/632/2321321568067599691.jpg!wh200)
![SLC8A3 Conjugated Antibody[C37178]](https://img1.dxycdn.com/p/s14/2025/0923/278/4431488150116040791.jpg!wh200)
![RGS10 Antibody[34980]](https://img1.dxycdn.com/p/s14/2025/0922/359/6146153295428599691.jpg!wh200)
